Dr. Tatiana Pestova is an experienced general dentist with over 8 years of clinical practice, known for her precision in aesthetic restorations and her gentle approach to treating anxious patients — including children from an early age. She offers modern, patient-centered care with a focus on both function and natural beauty.
Professional Profile
General dentist with advanced skills in:
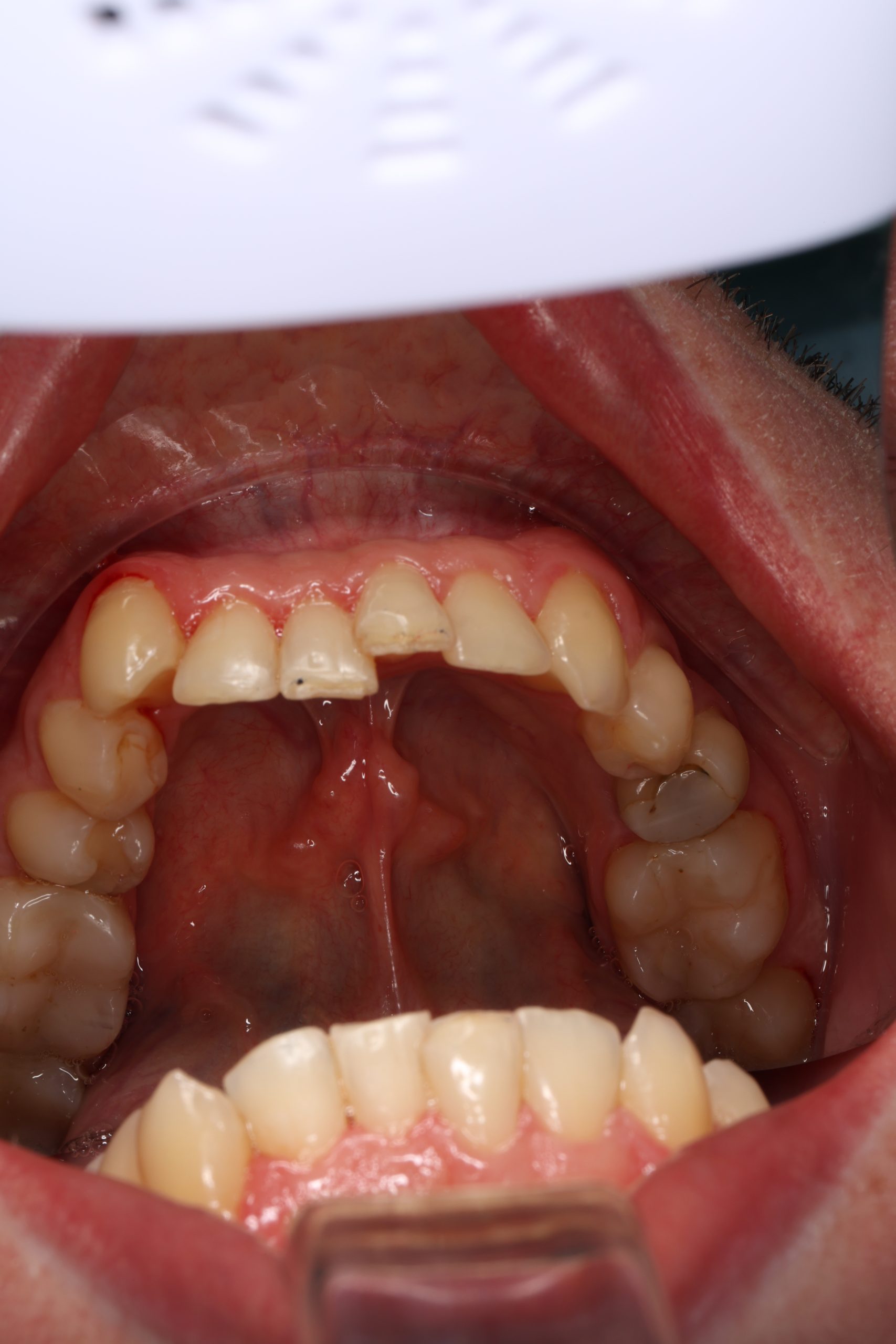
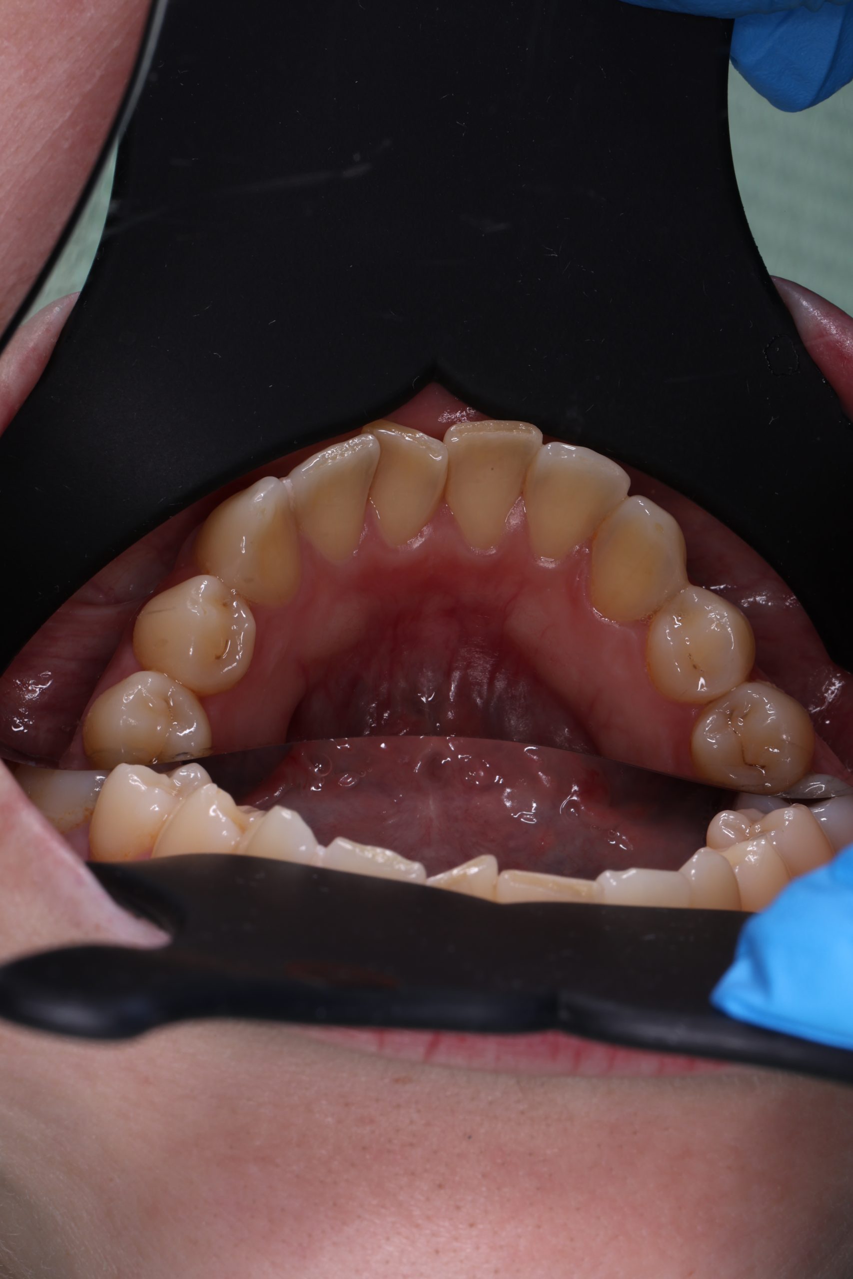
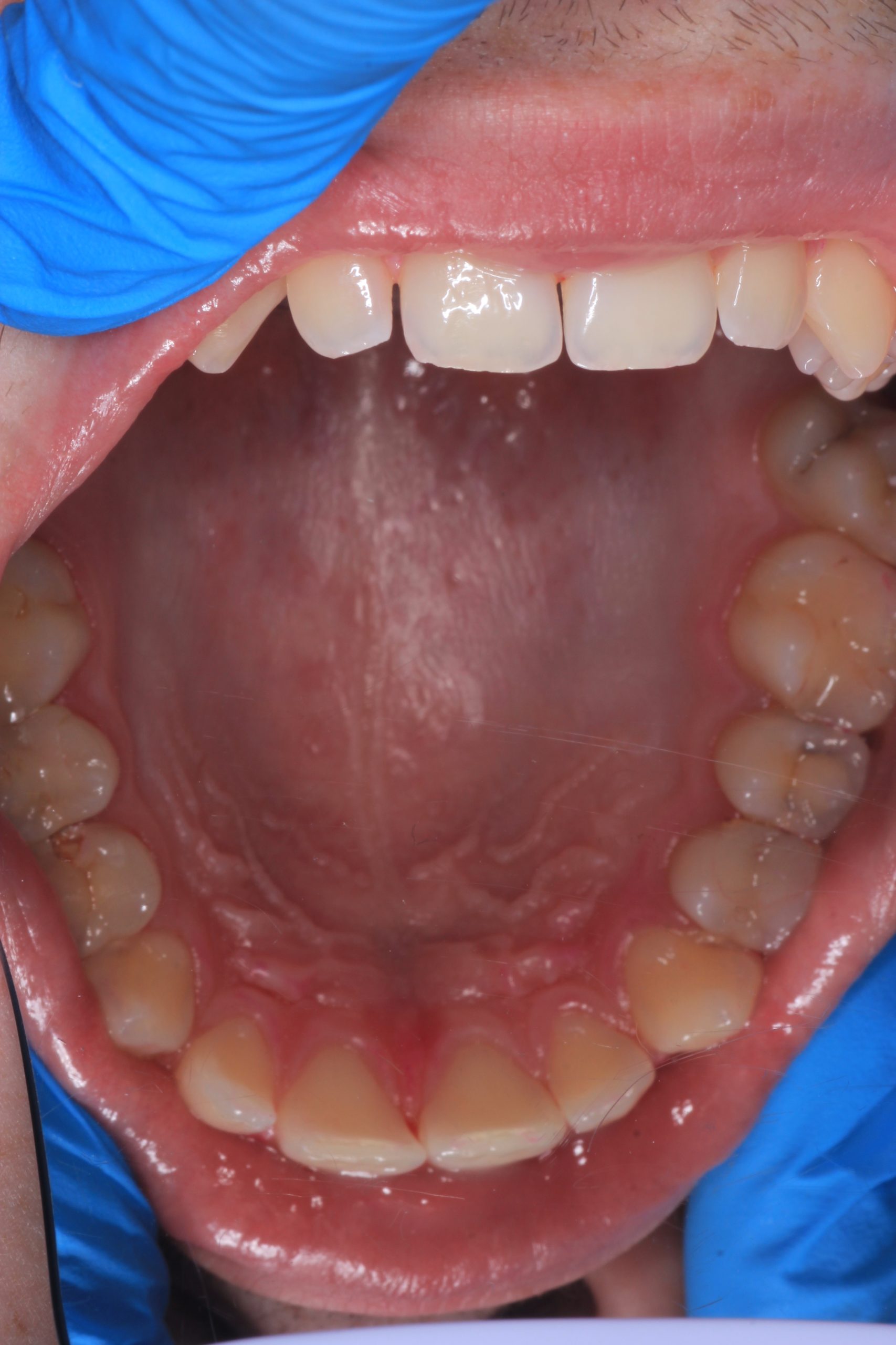
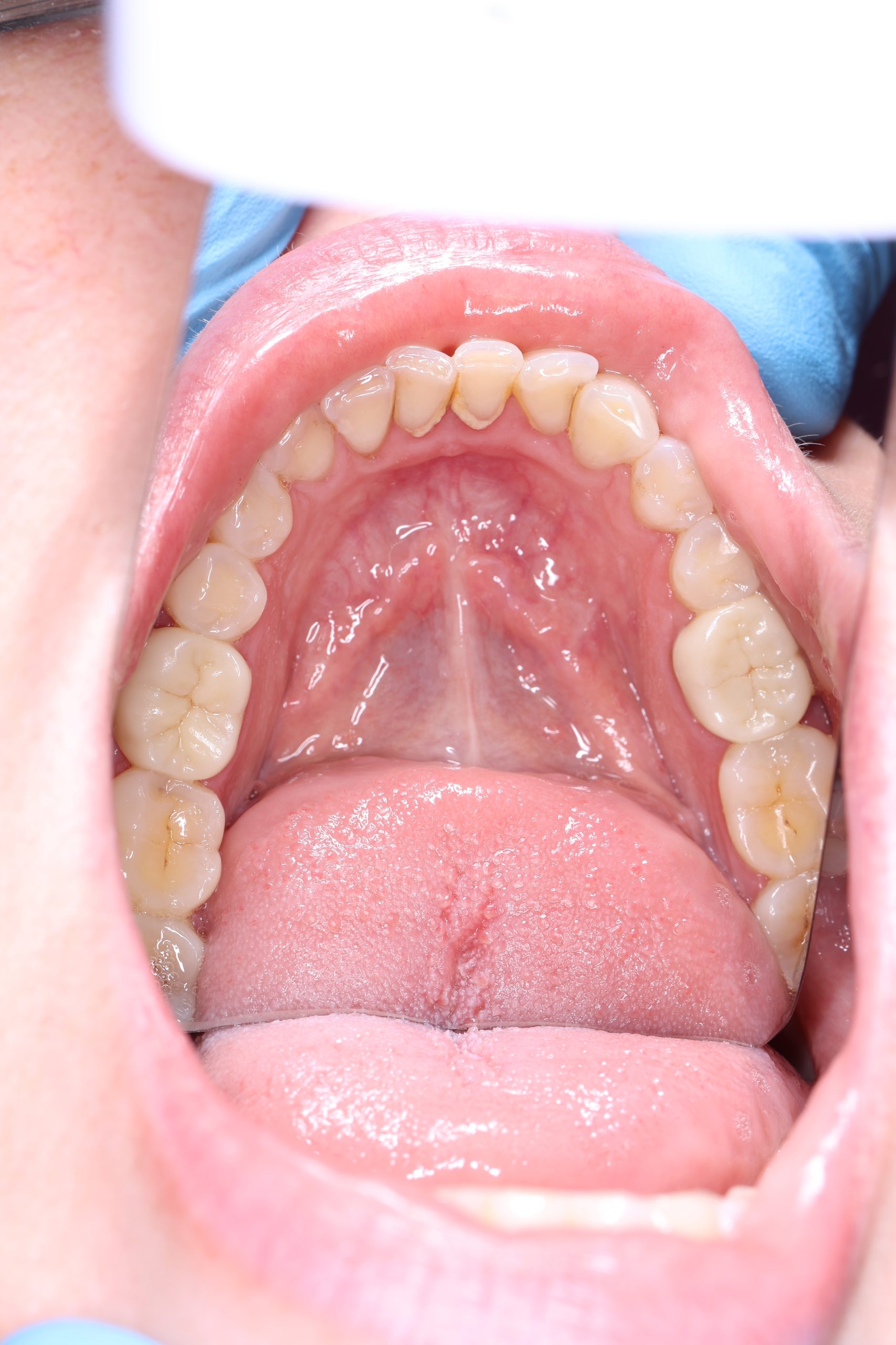
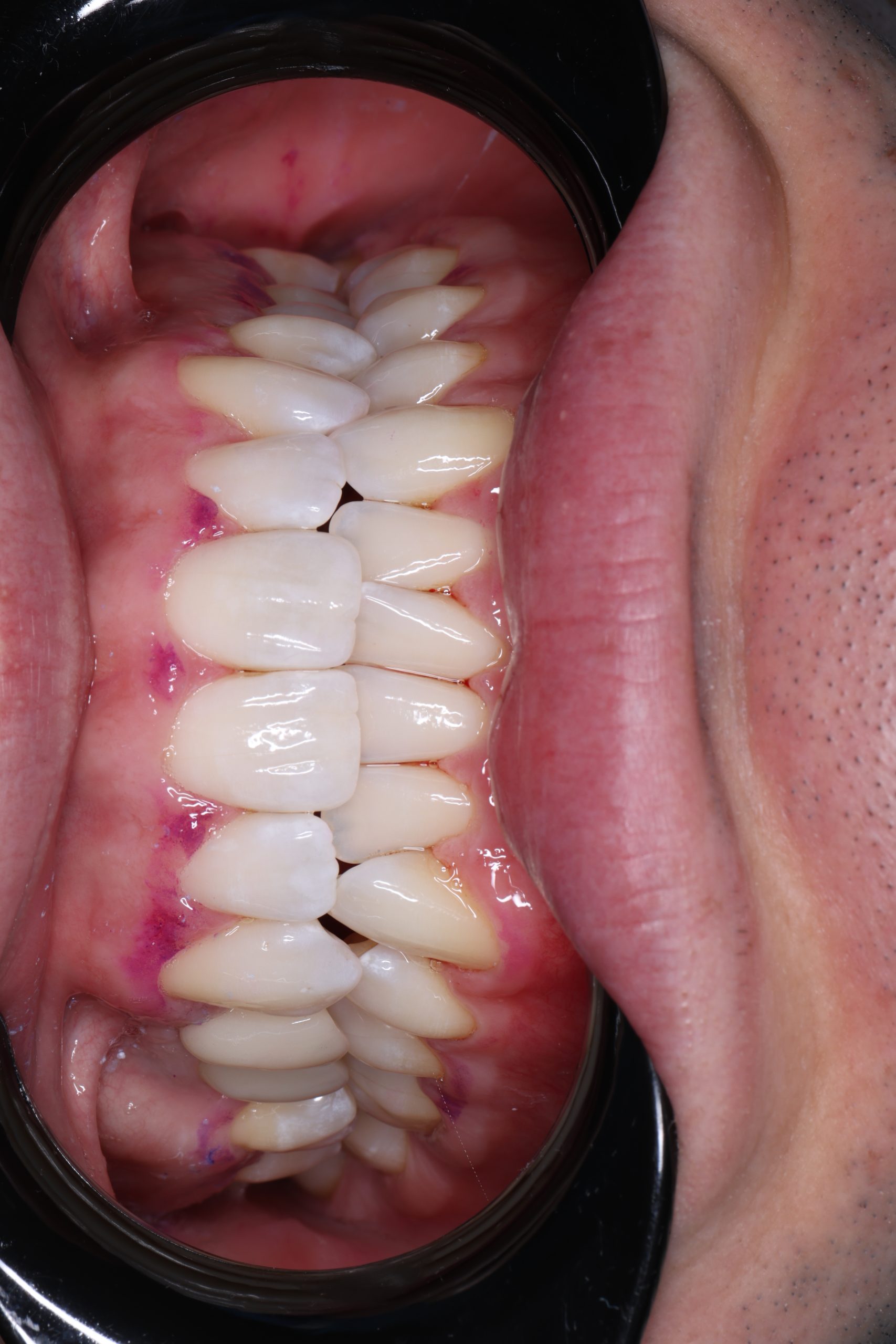
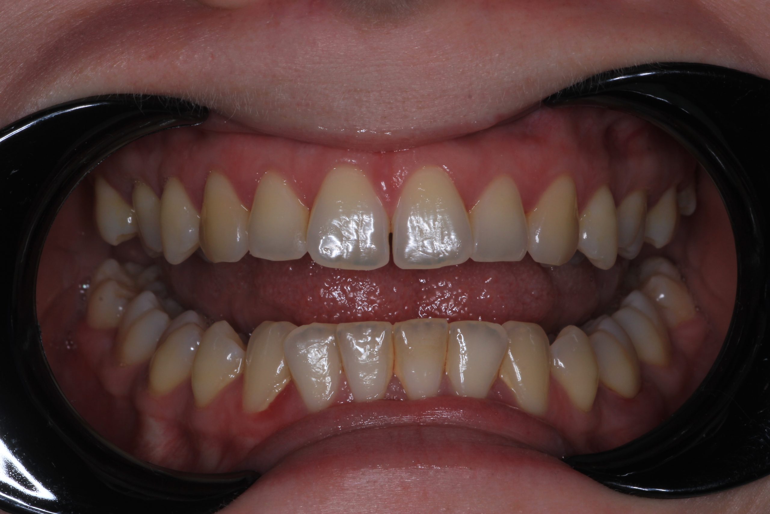
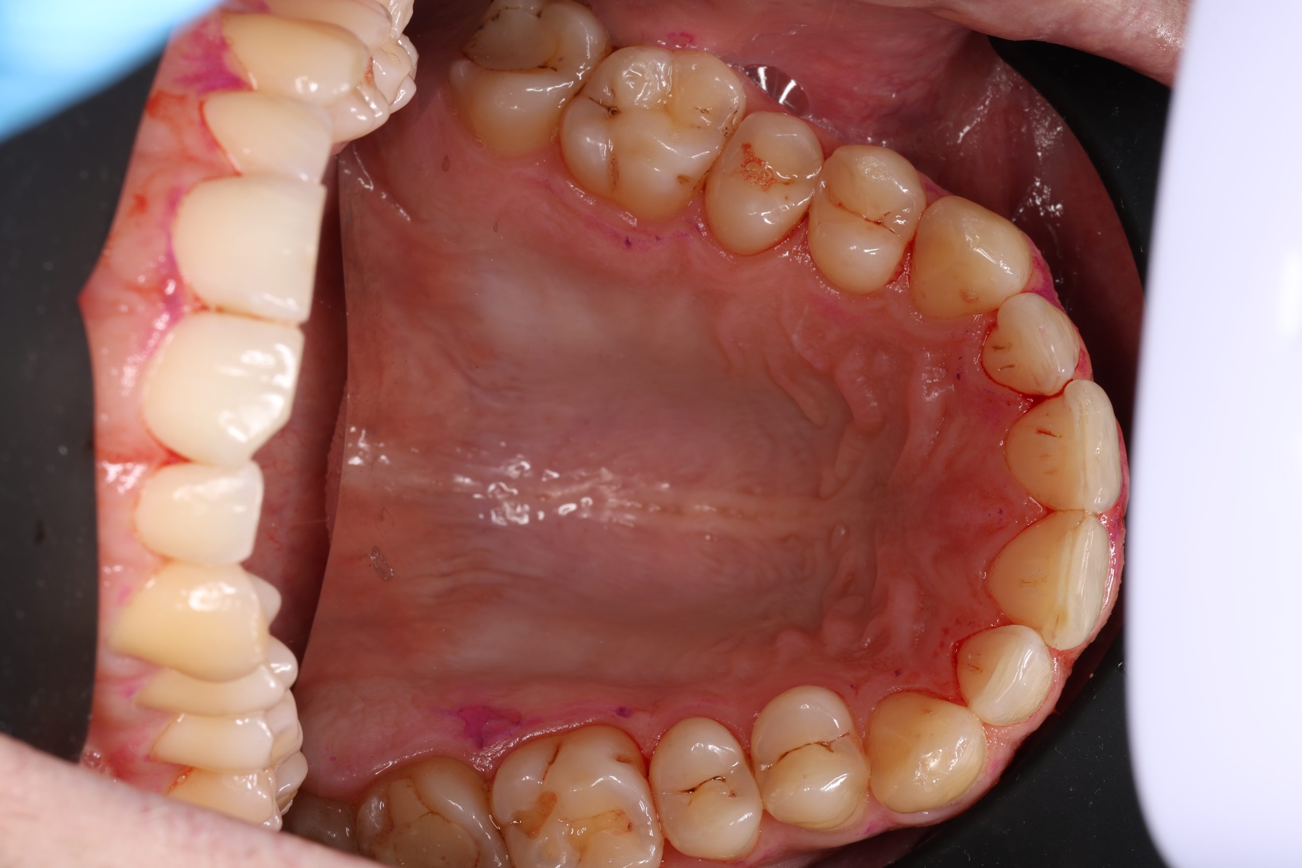
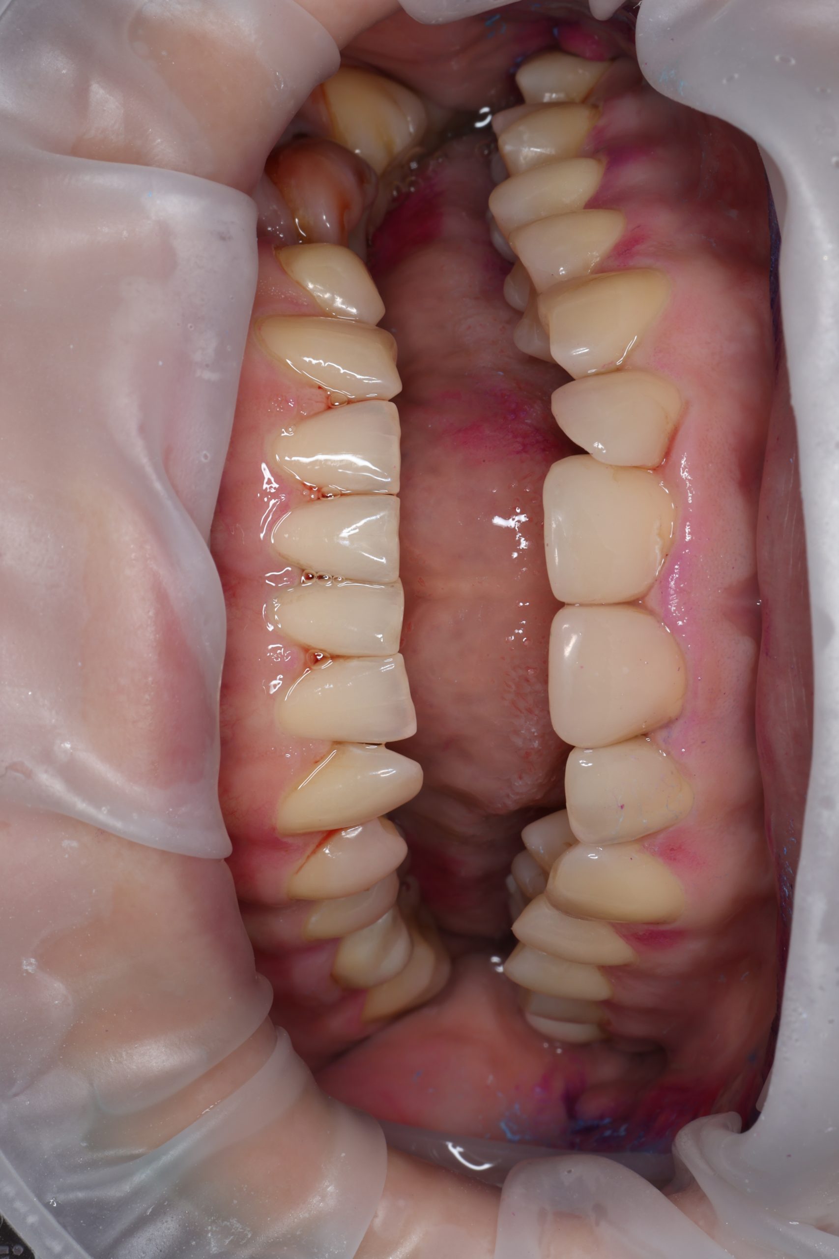
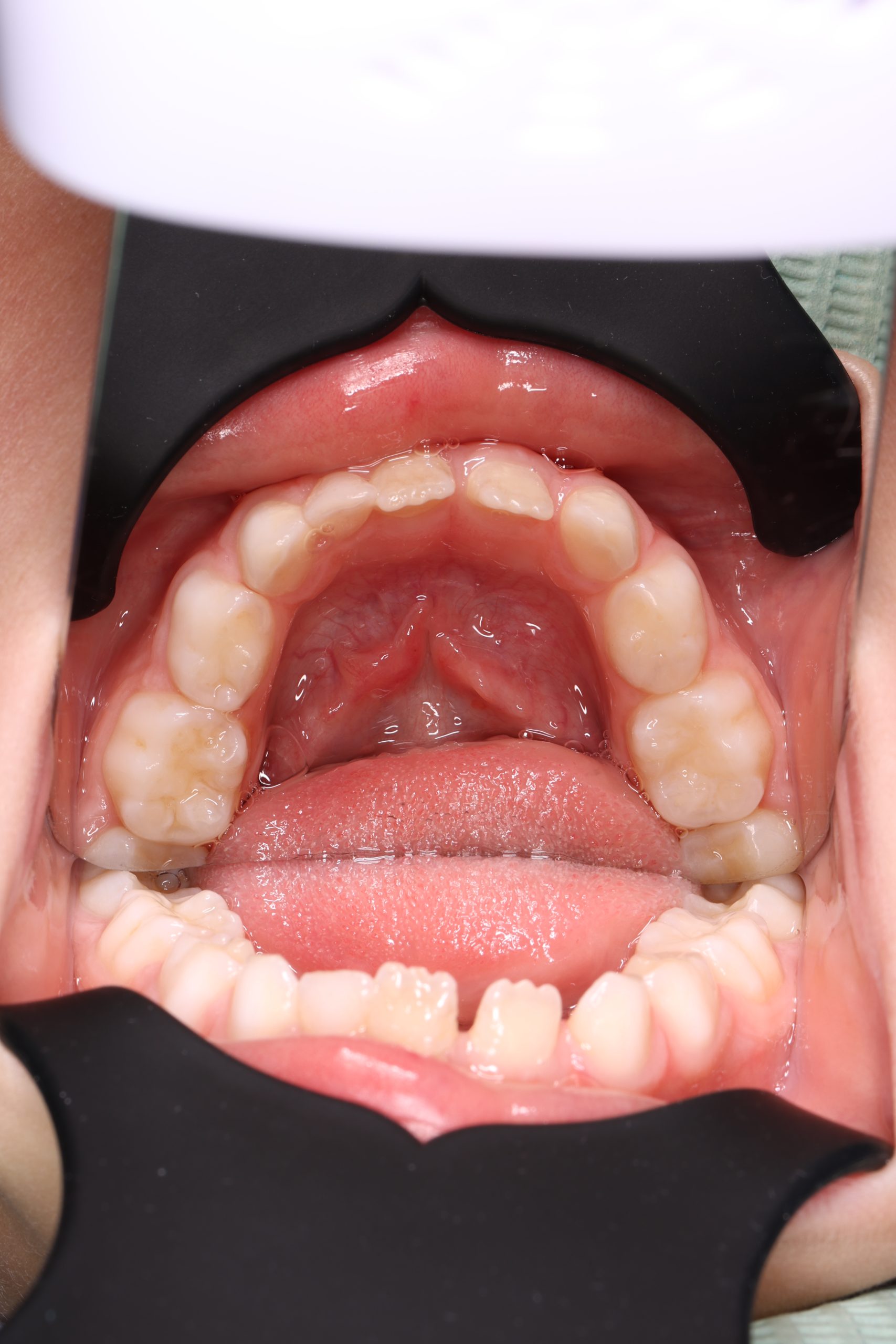
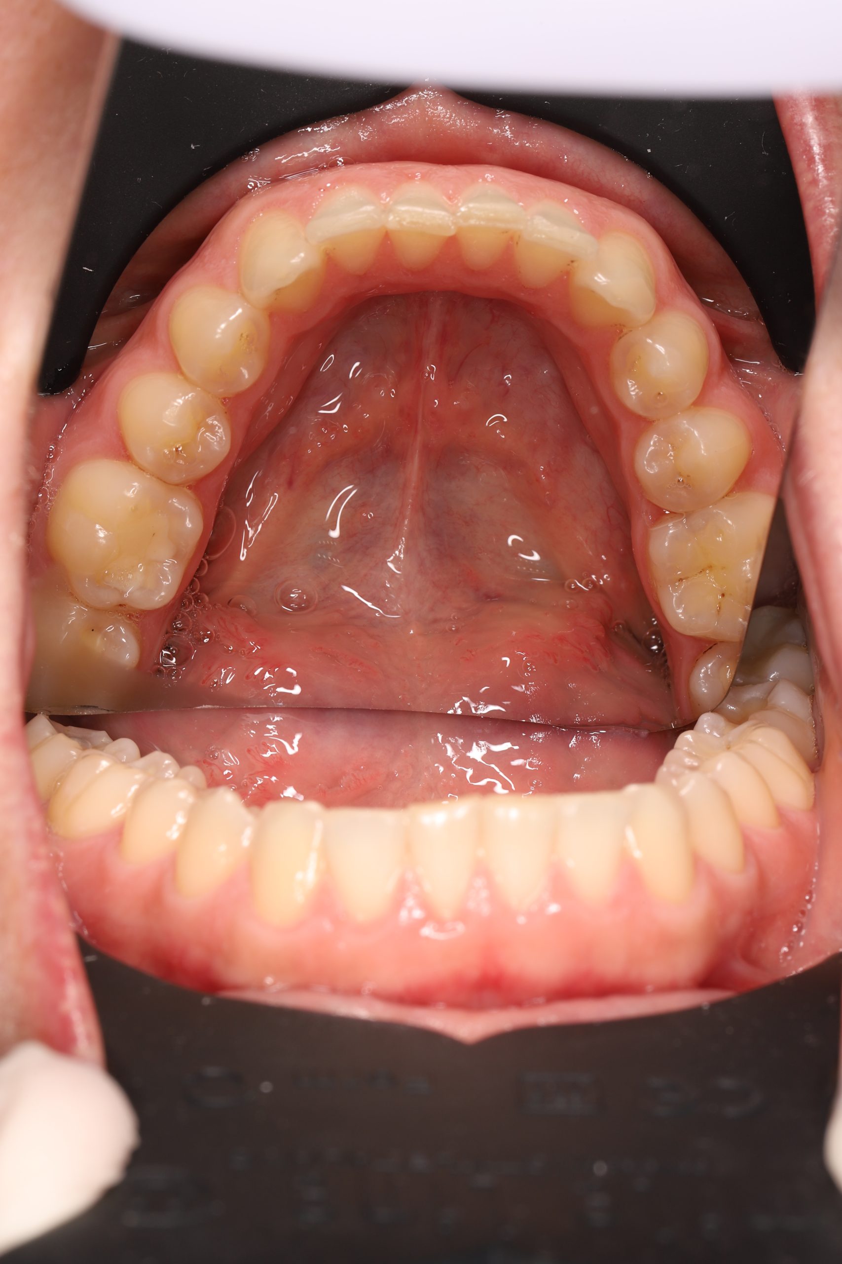
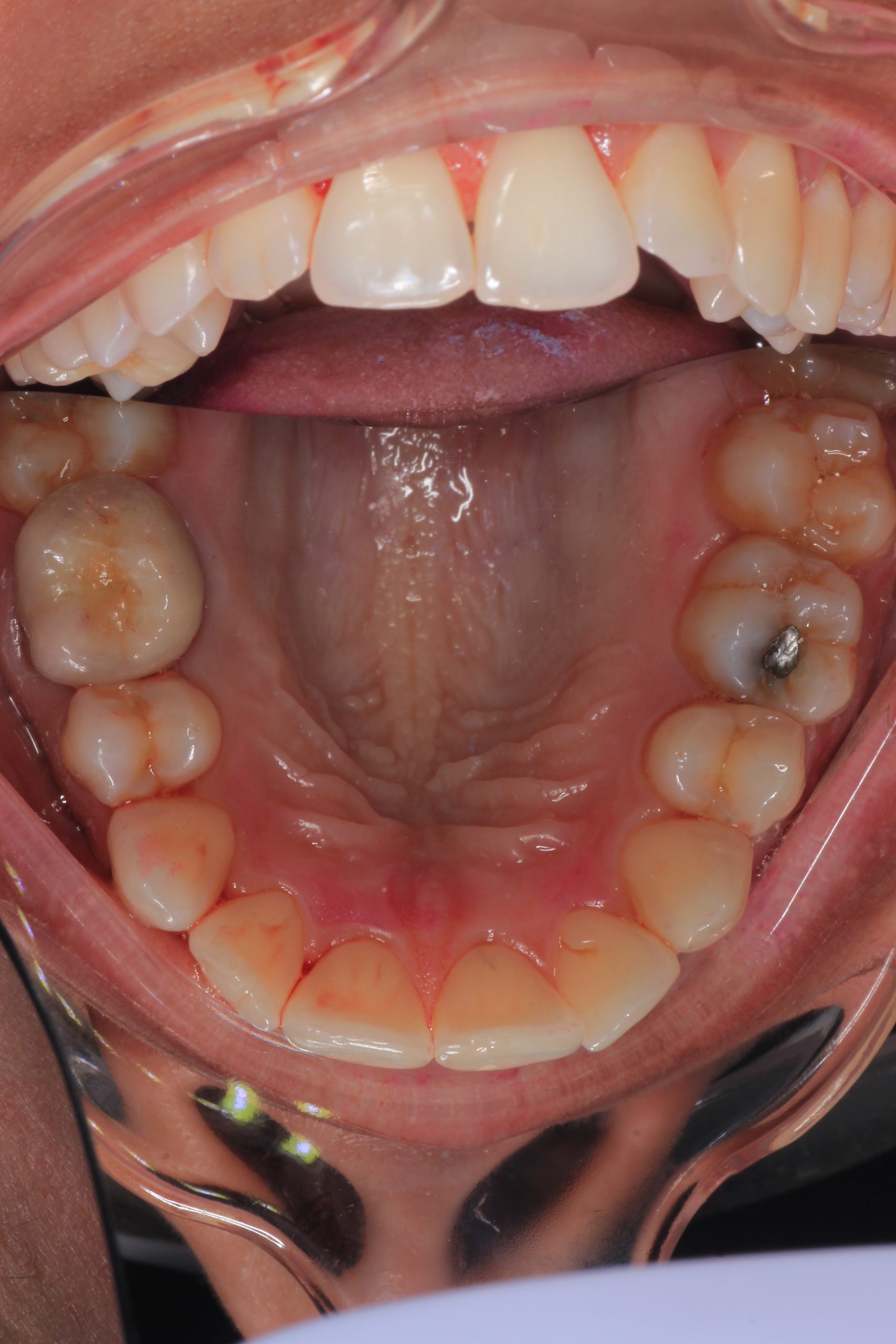
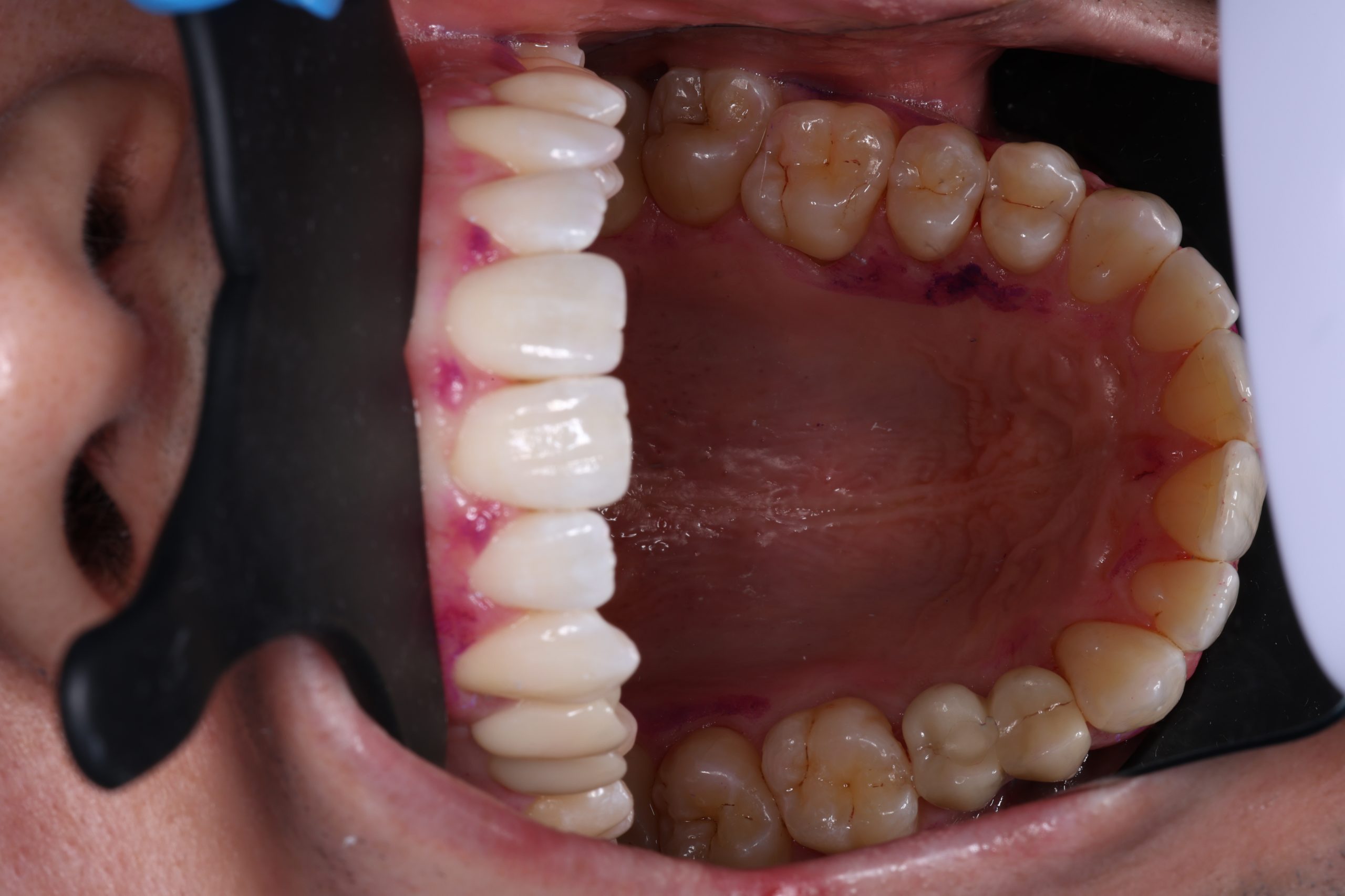
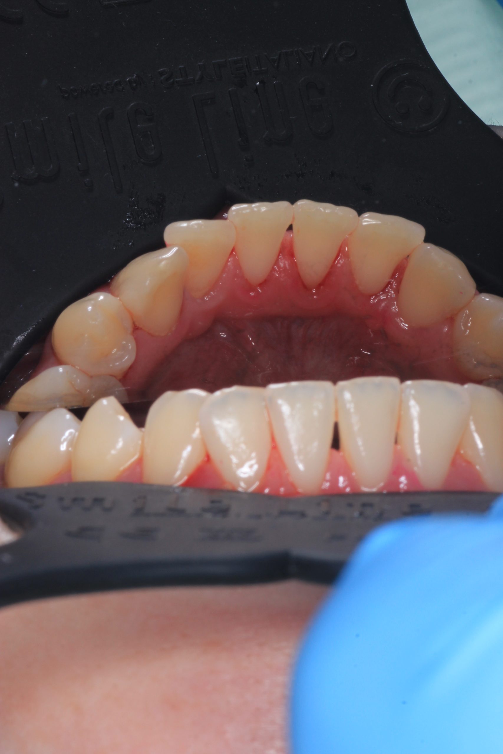
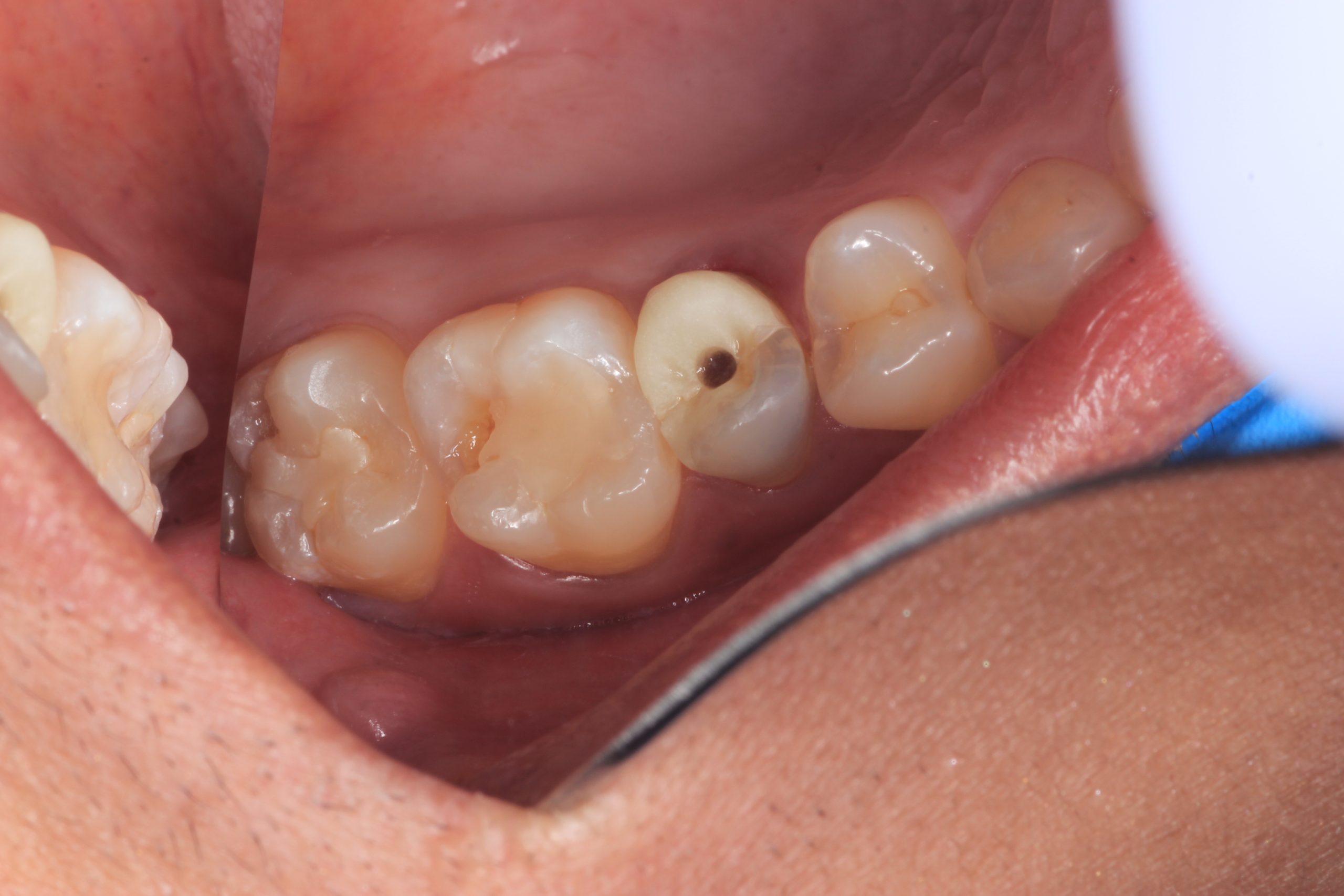
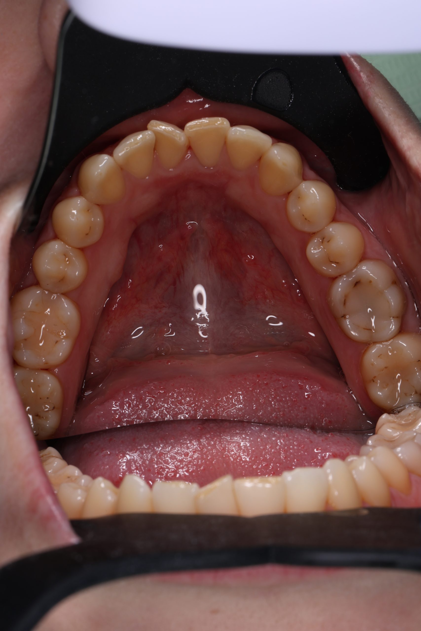
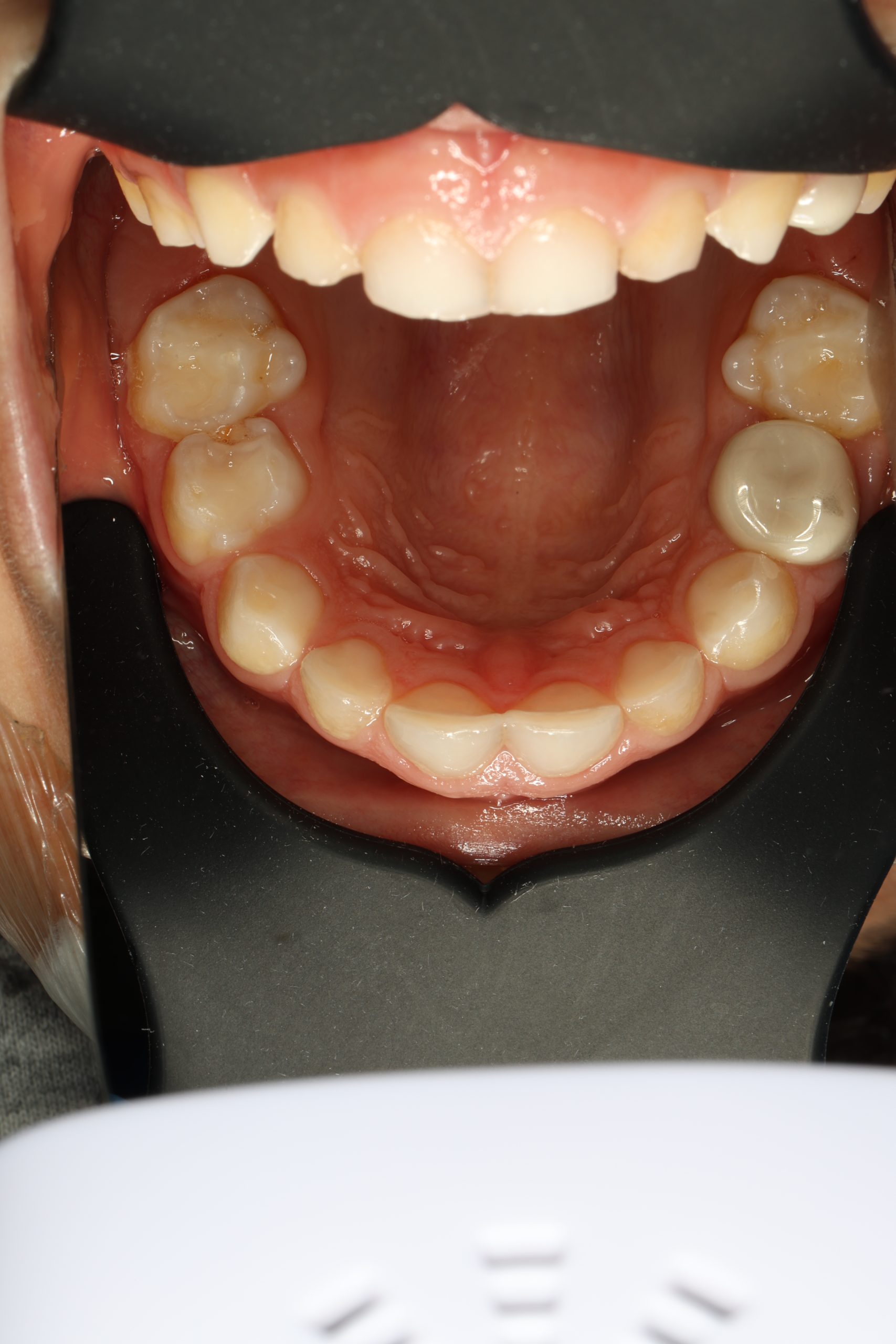
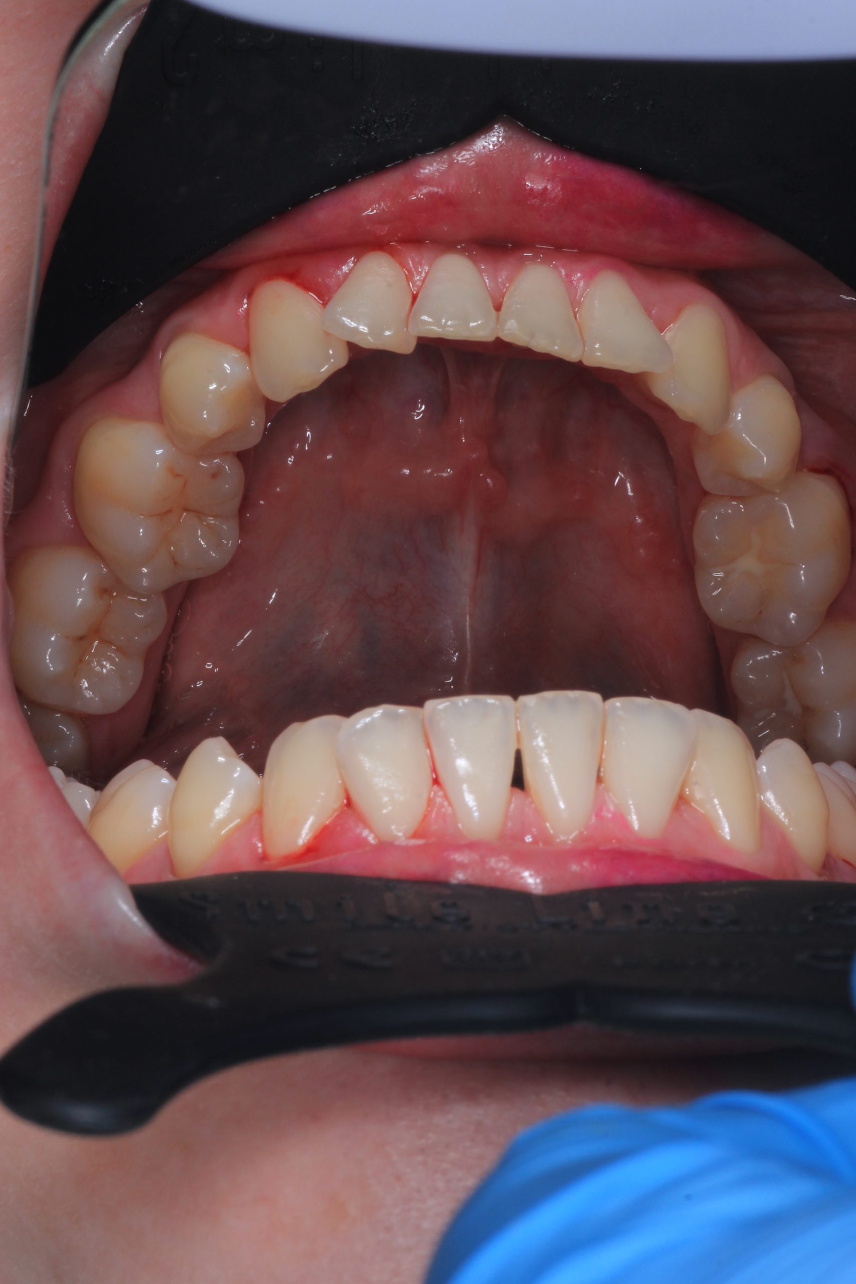
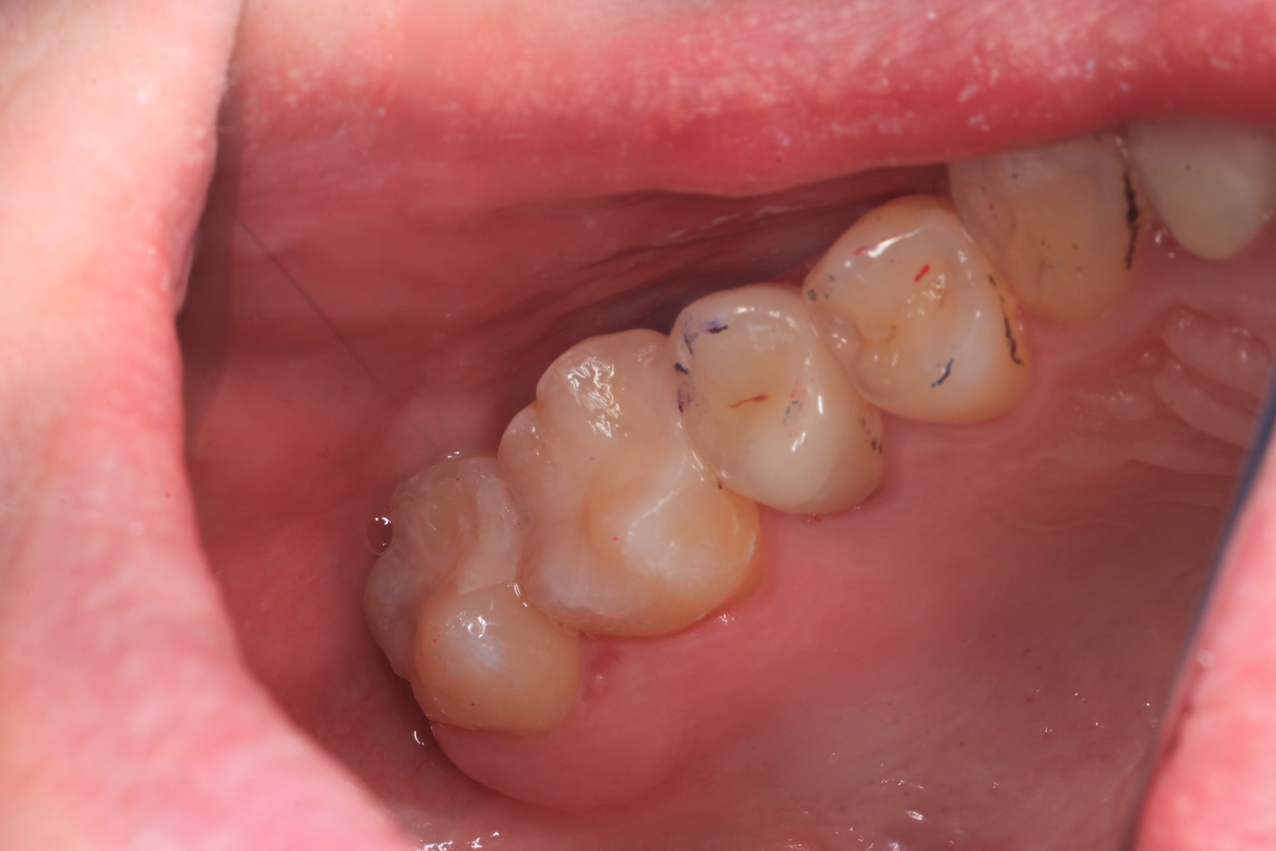
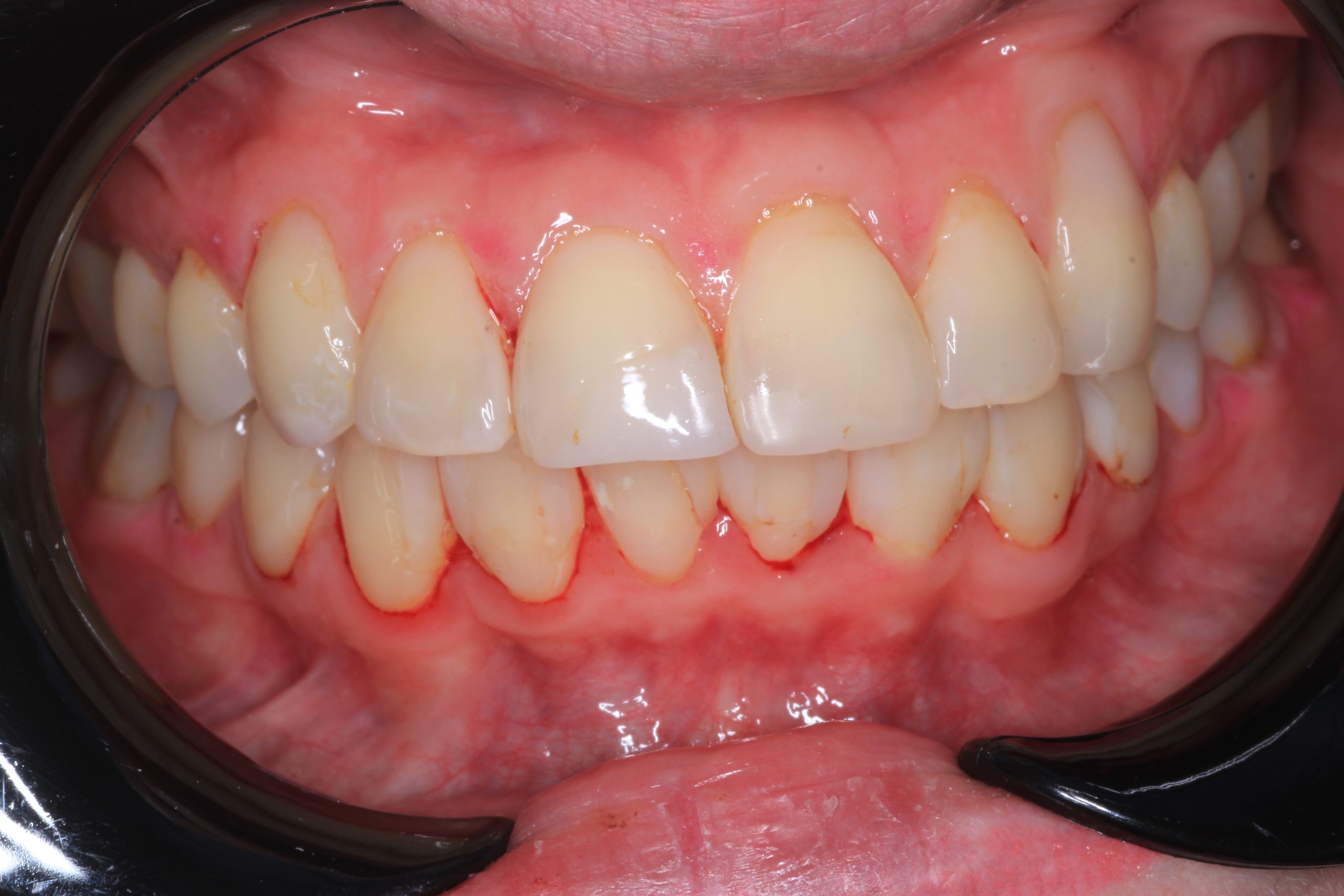
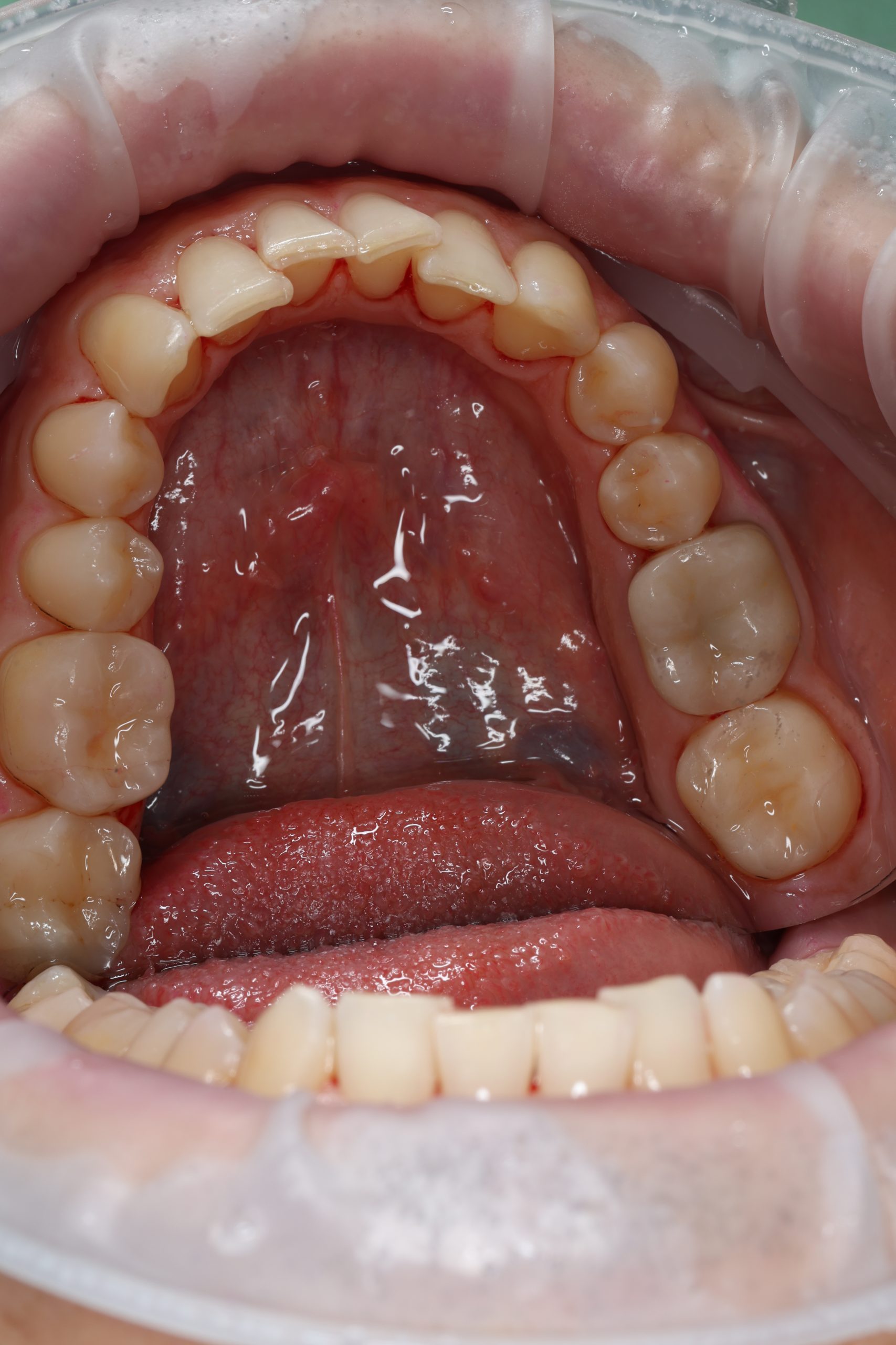
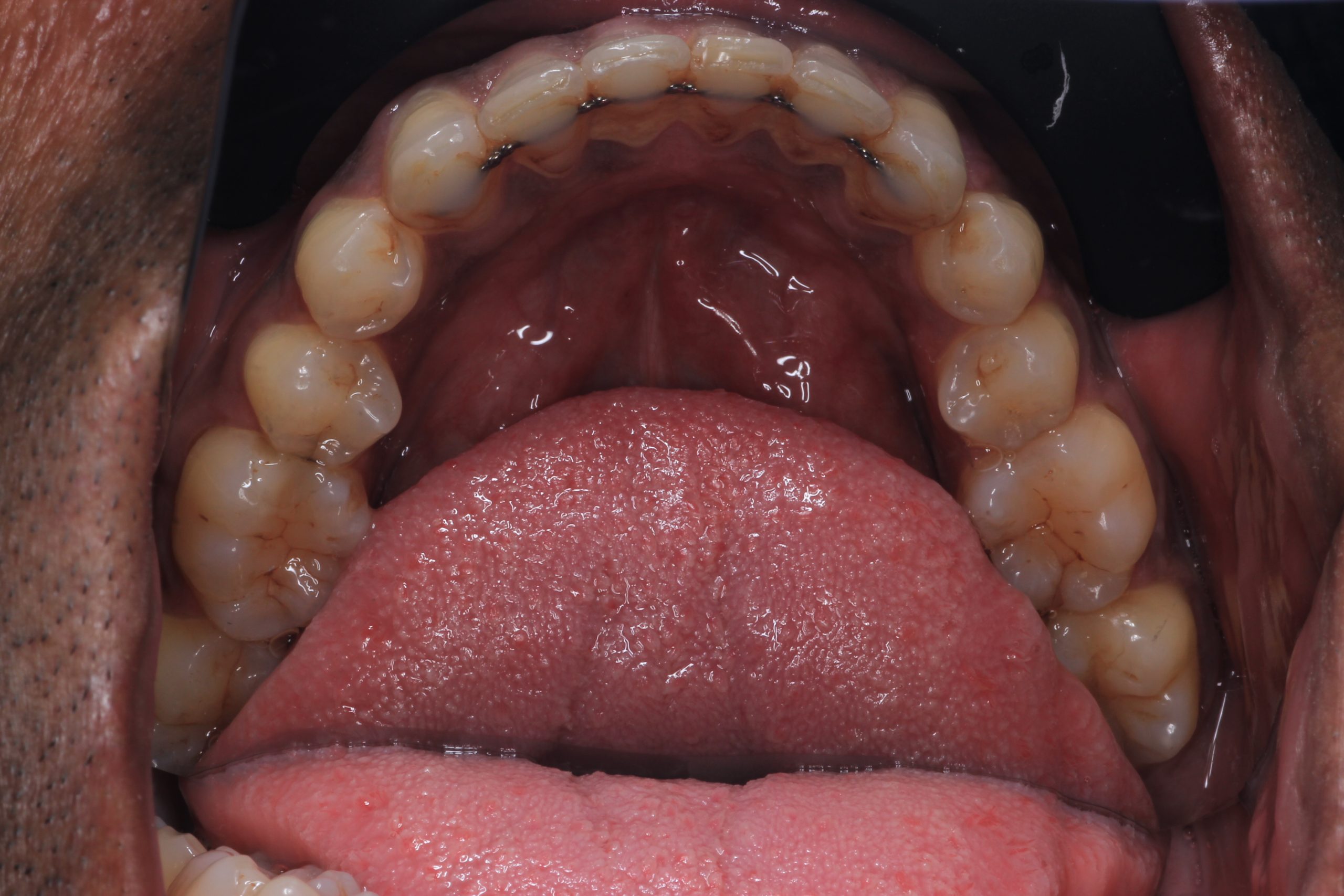
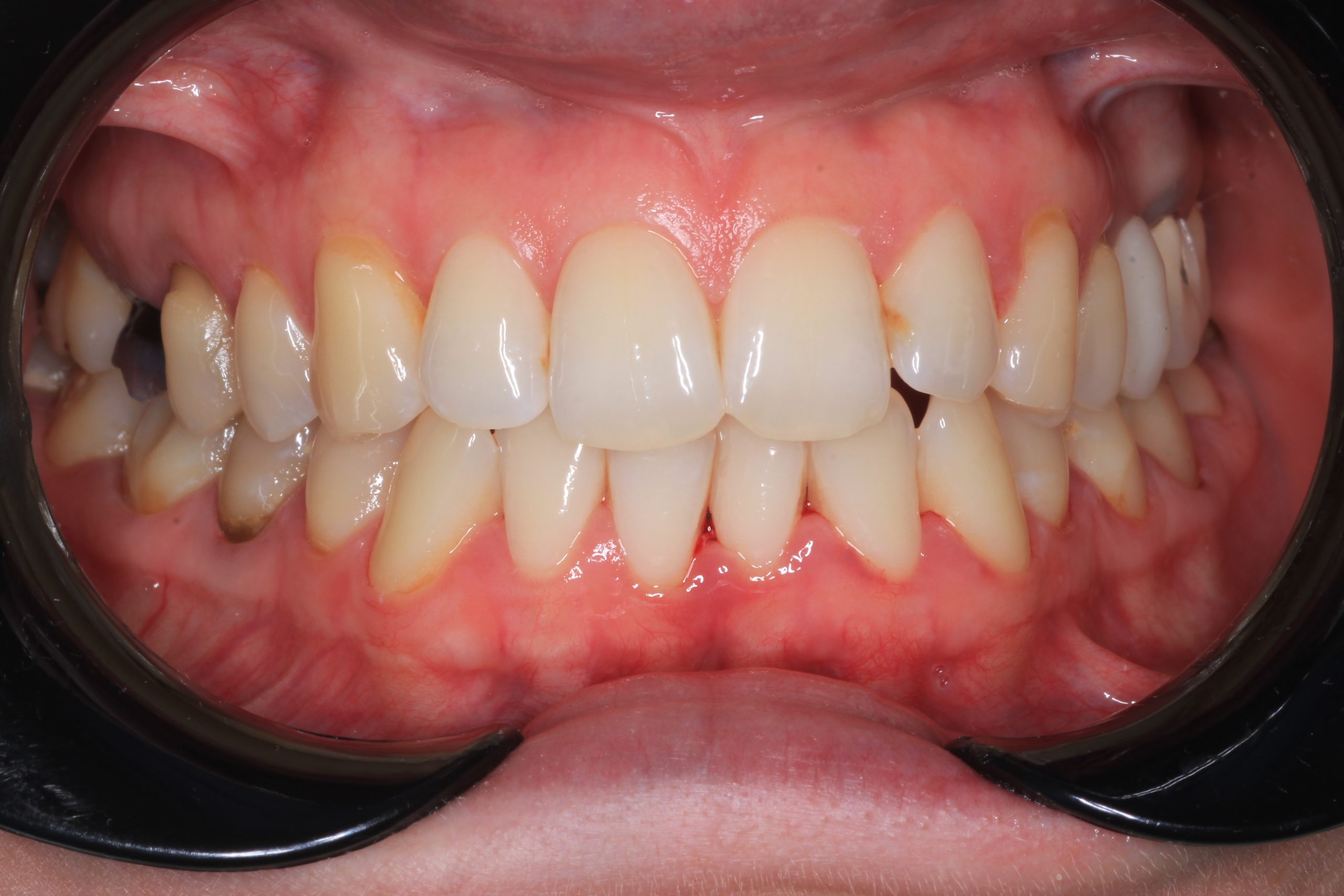
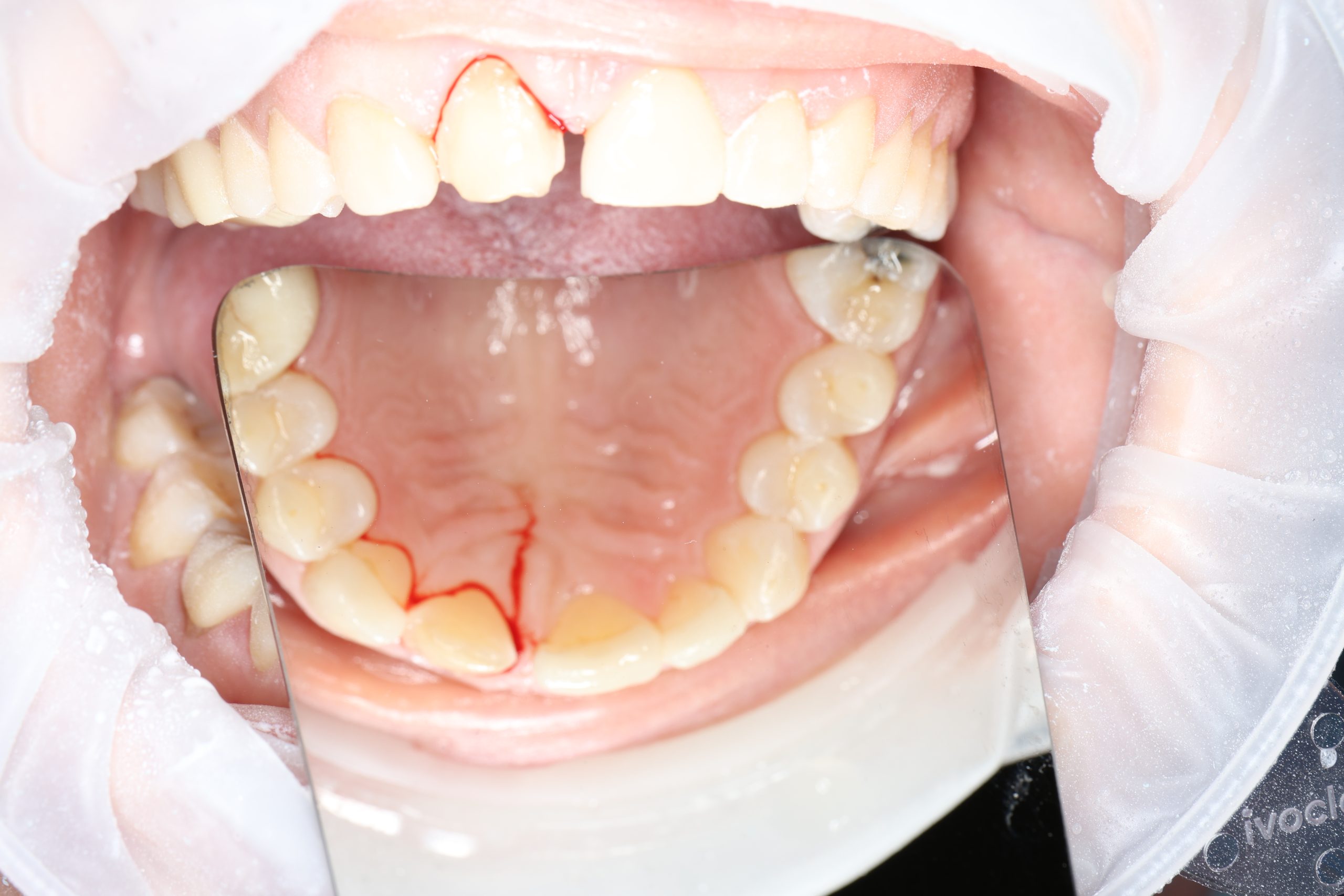
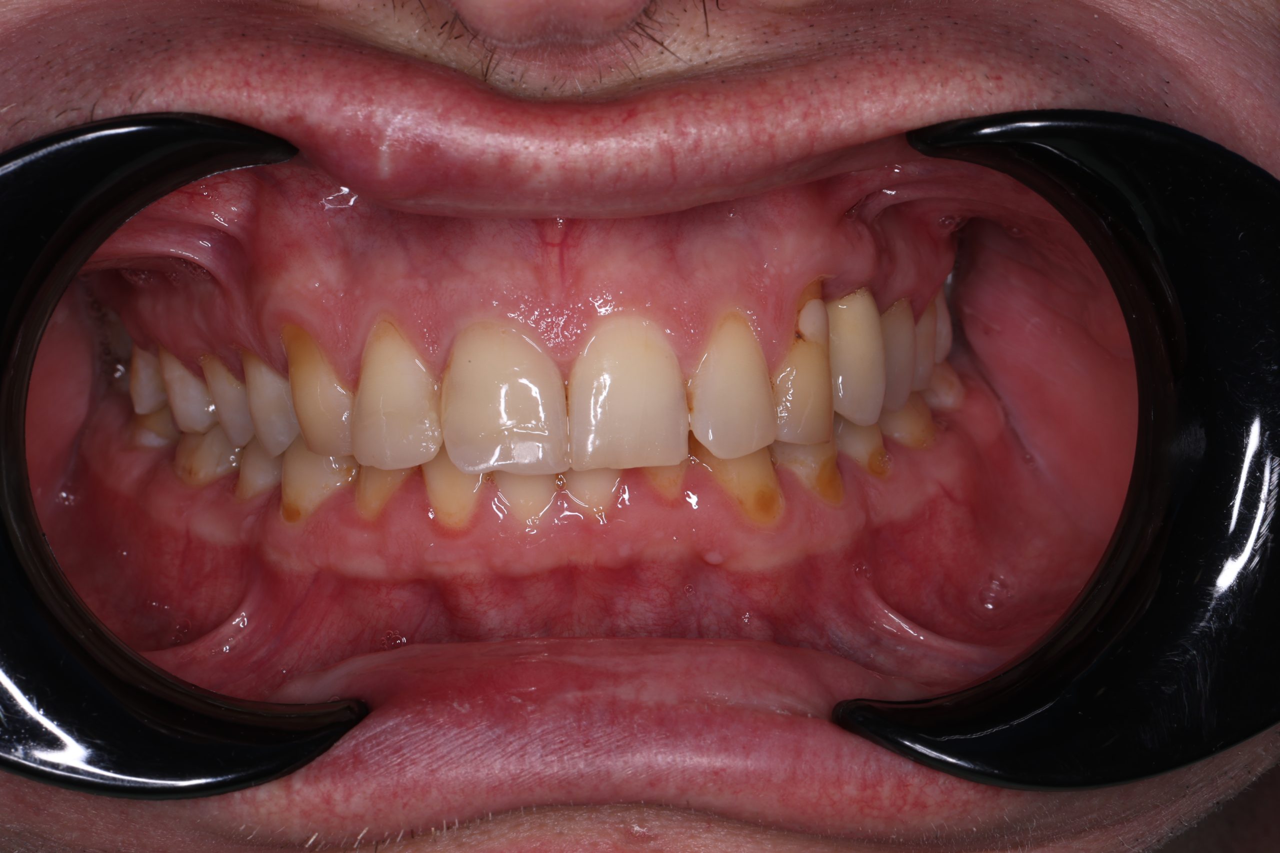
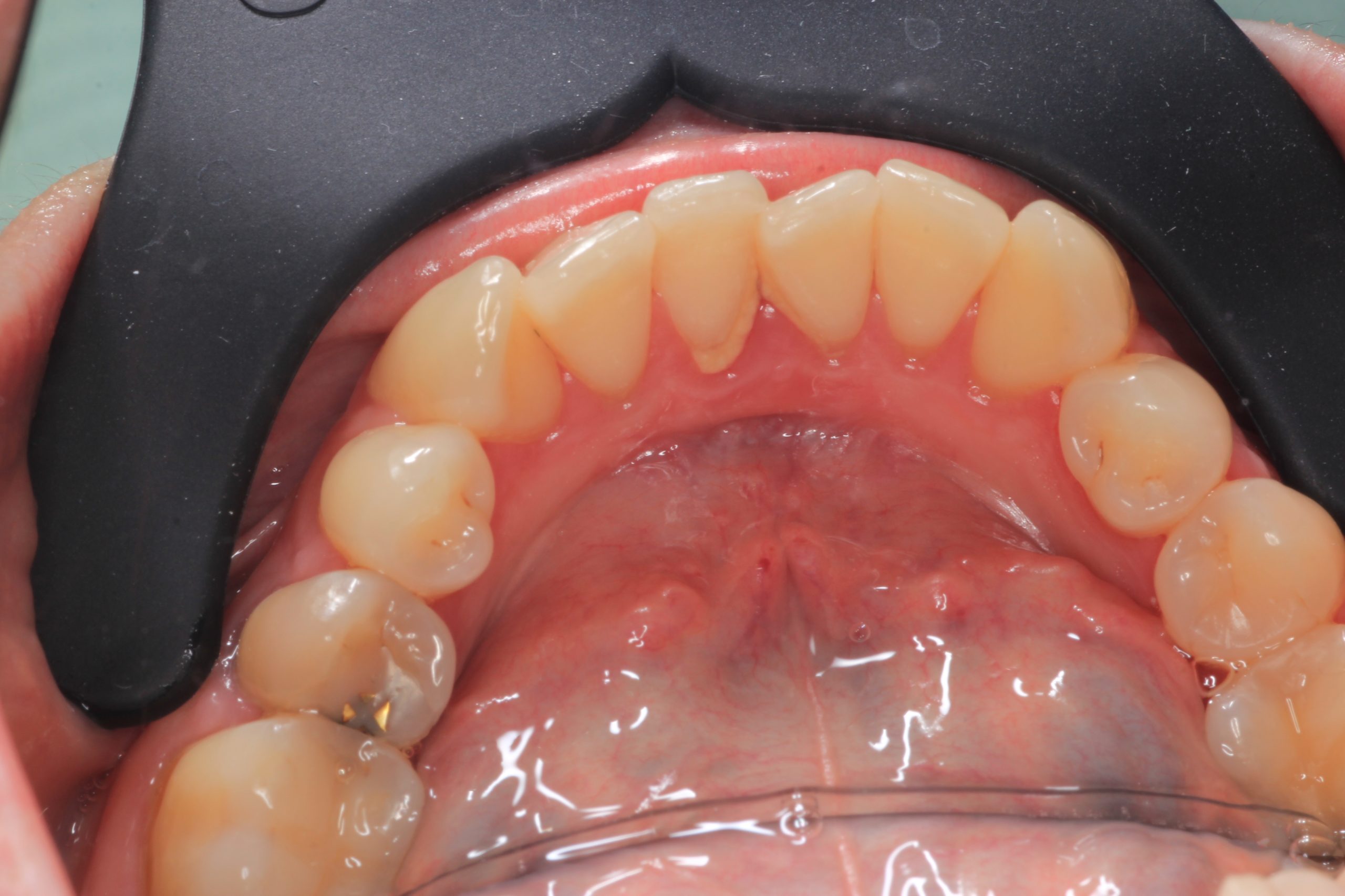
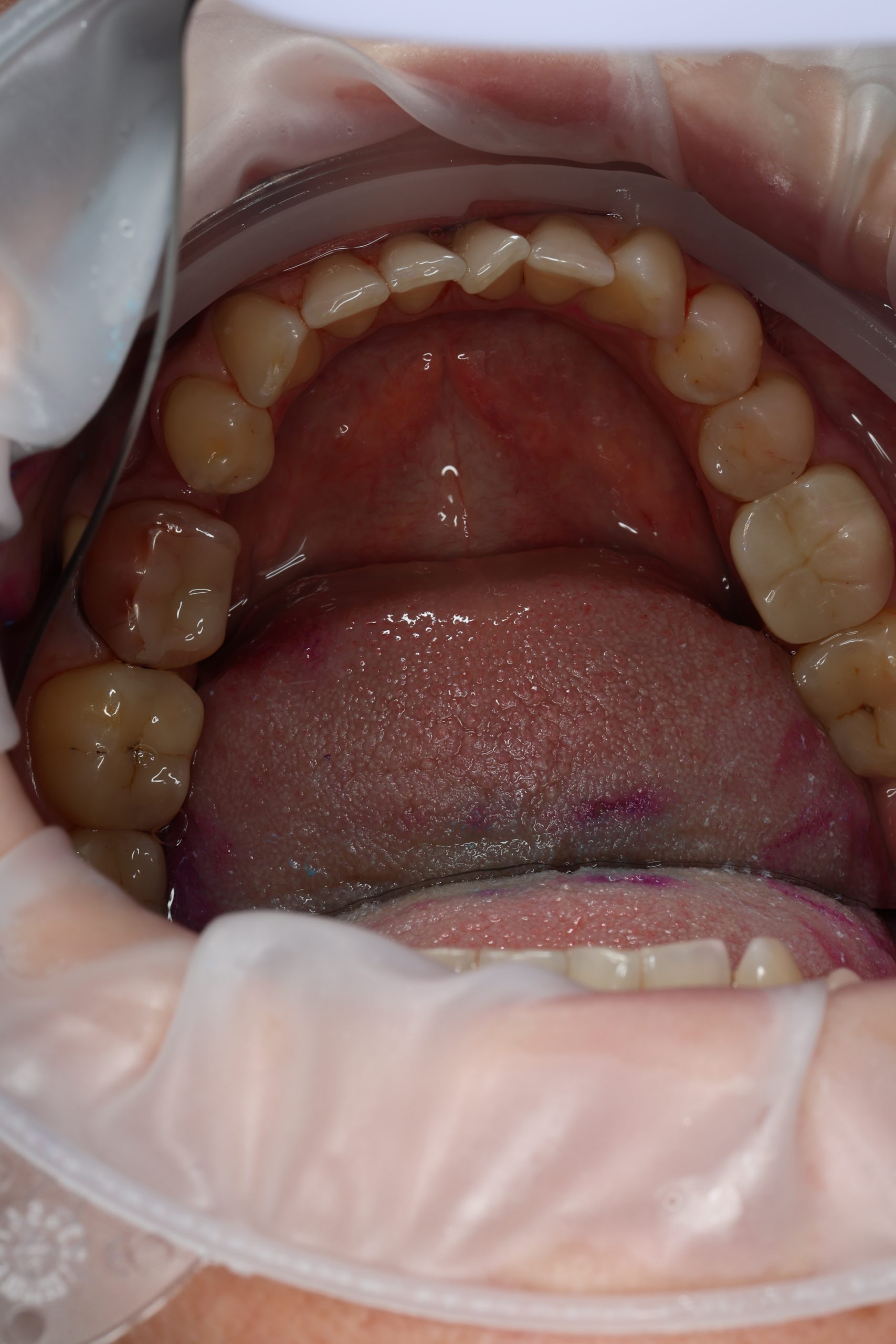
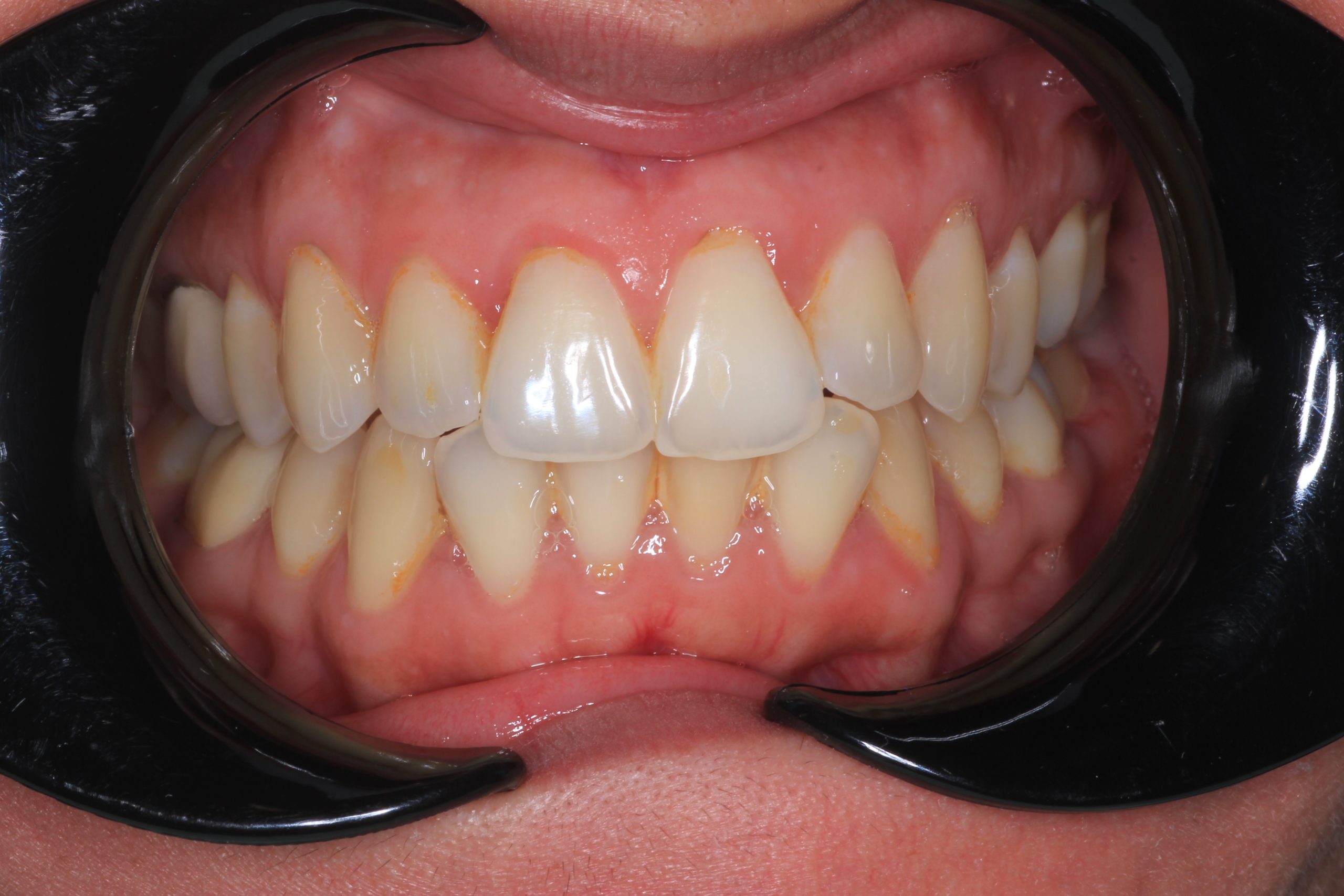
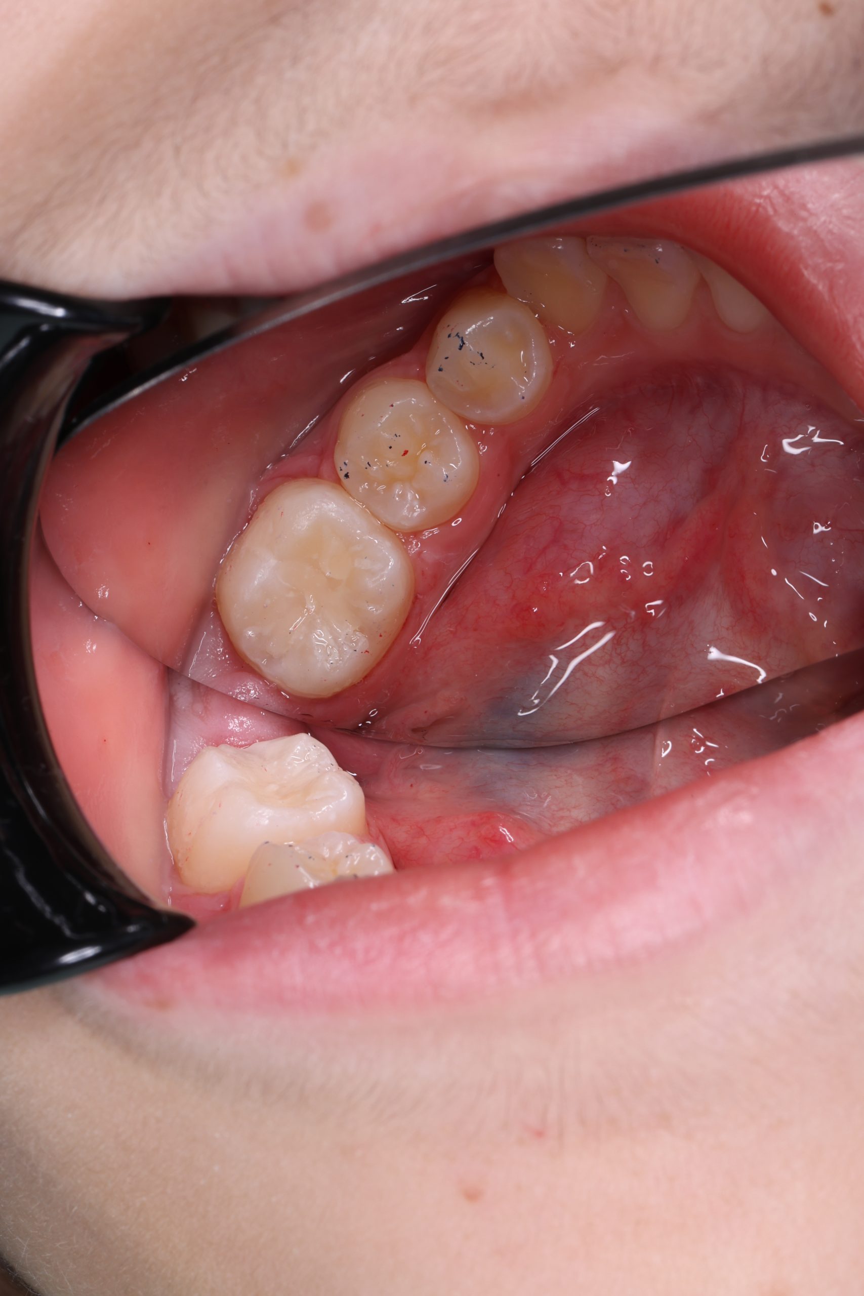
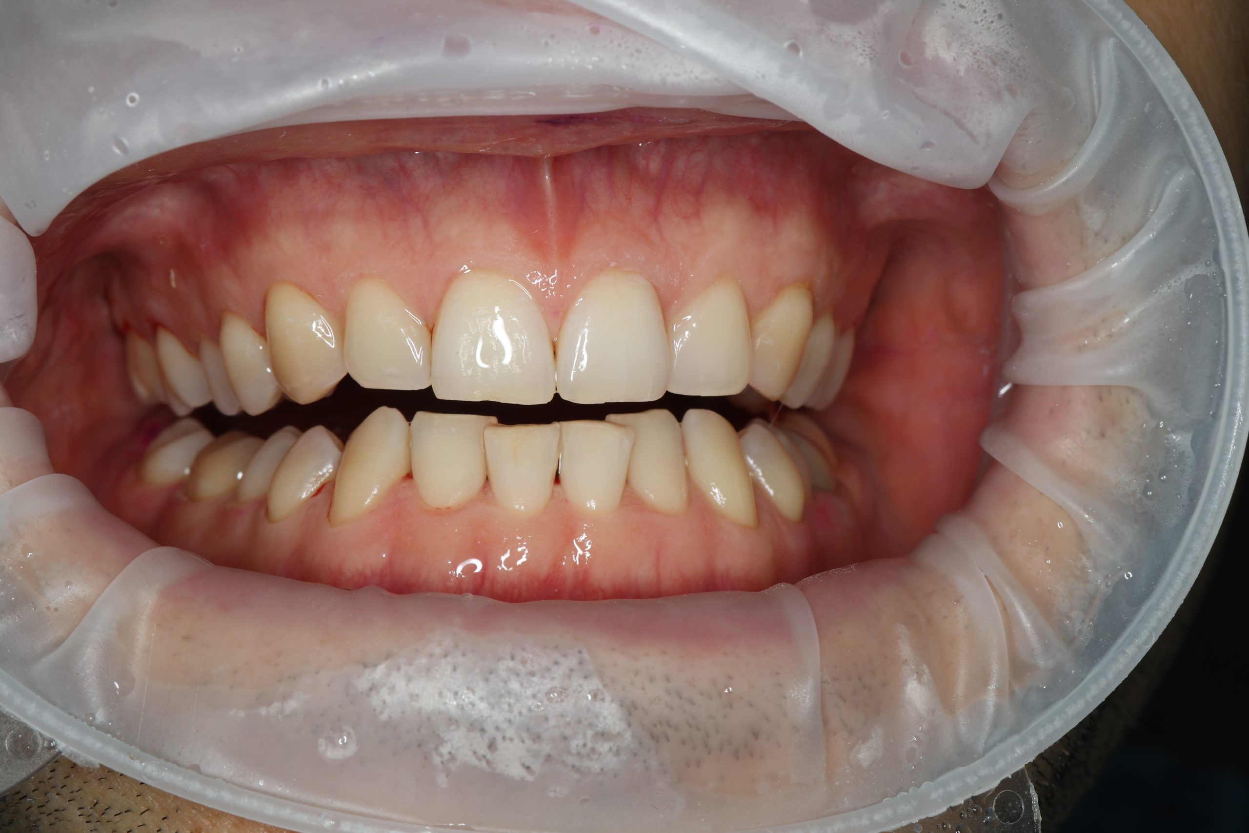
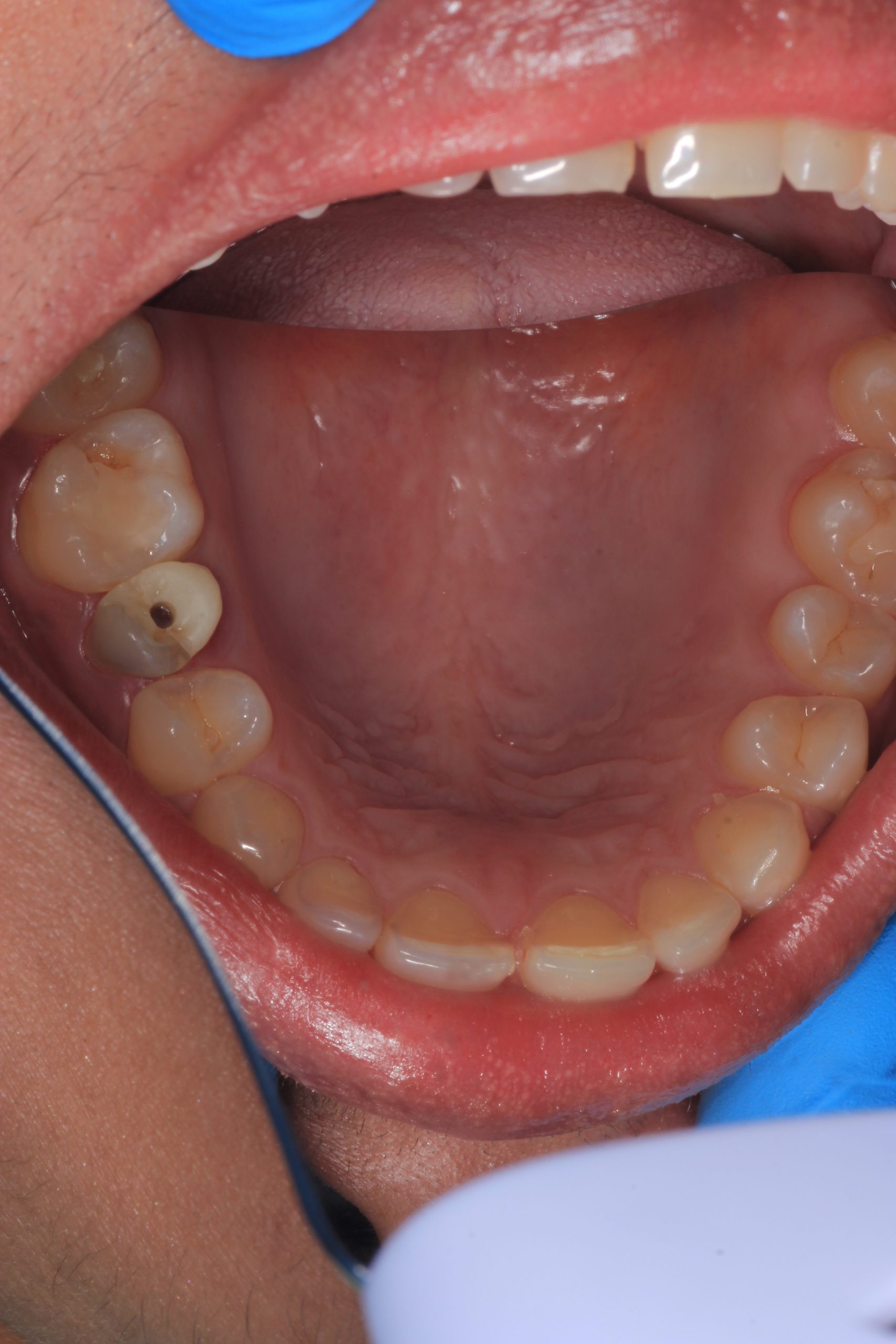
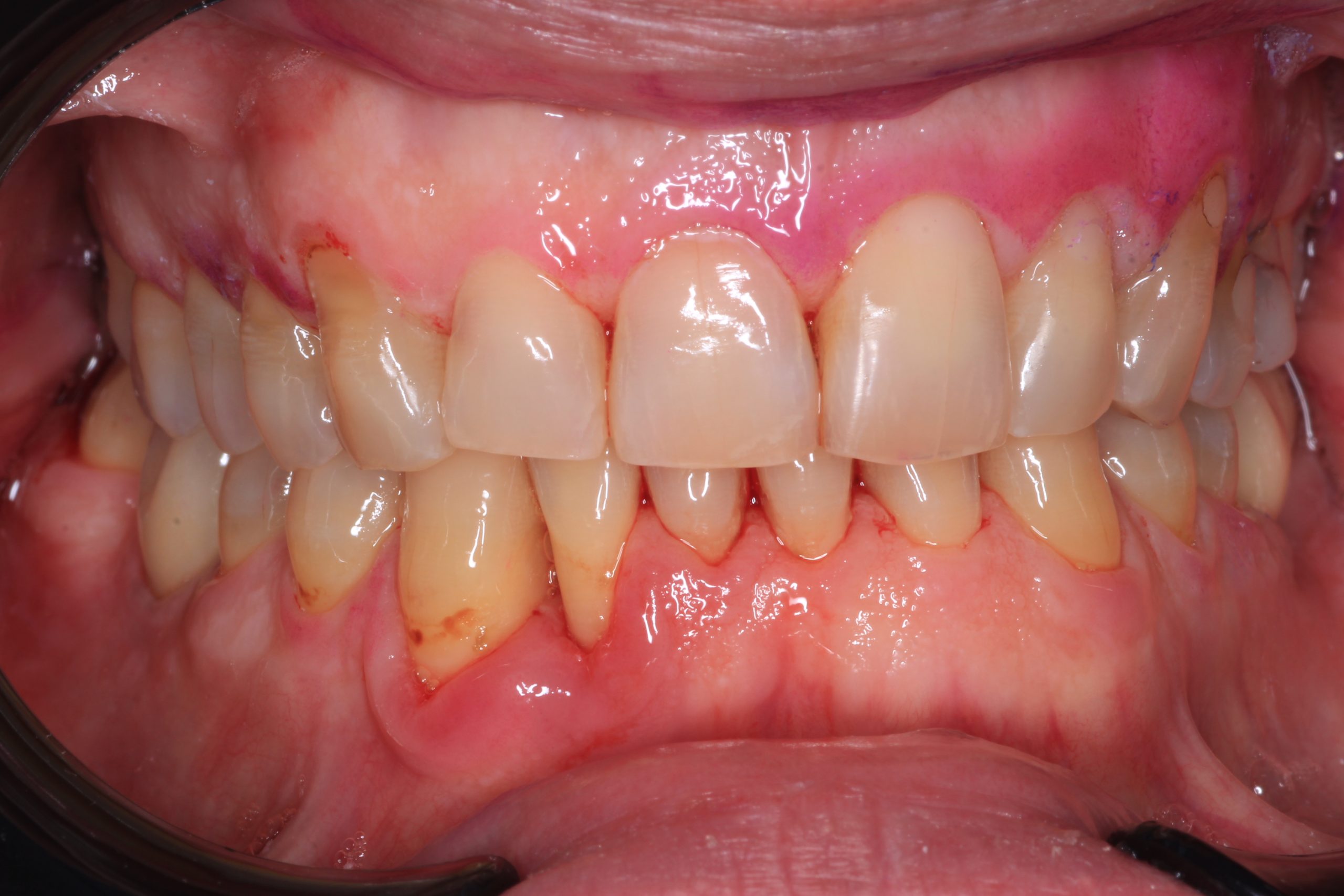
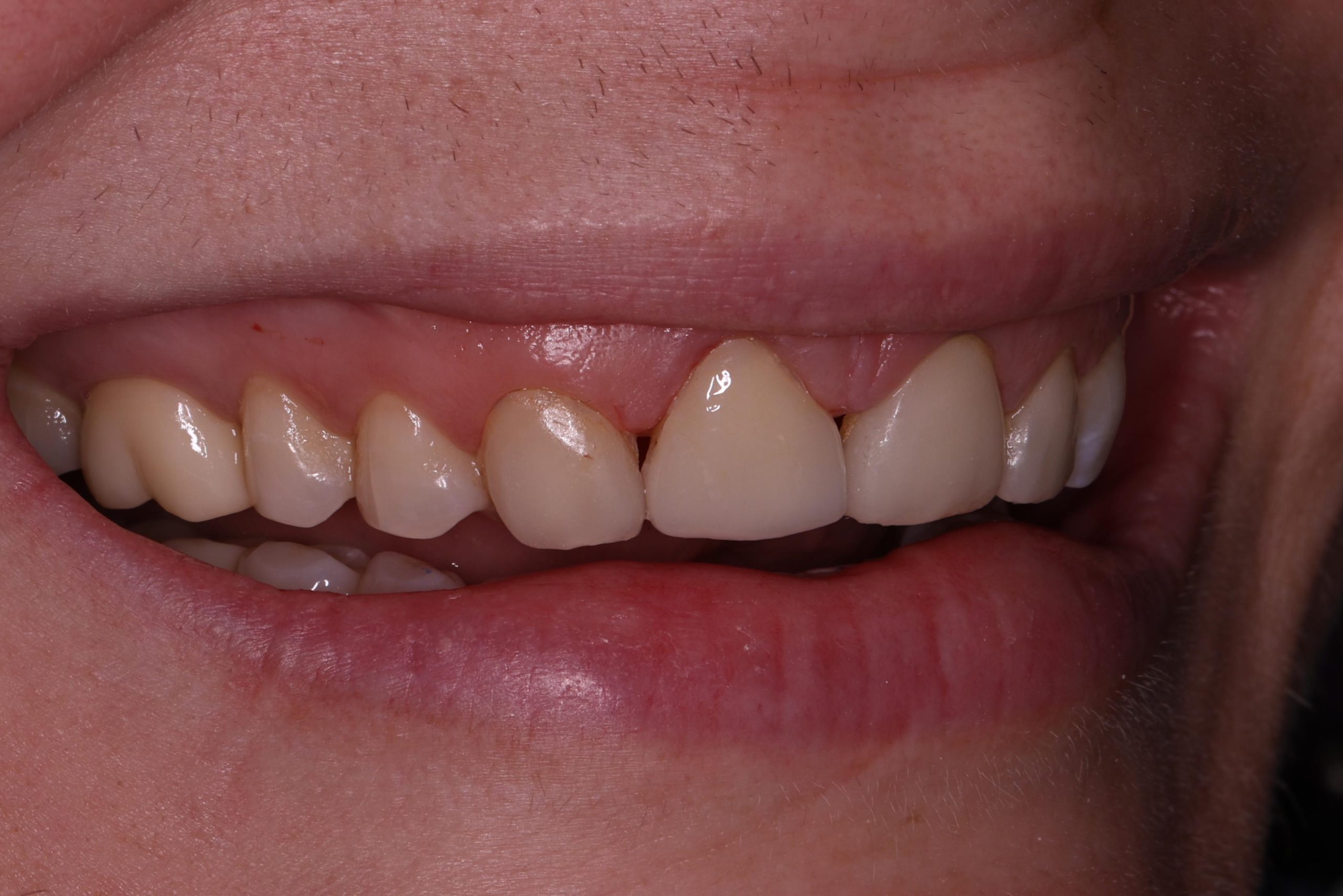
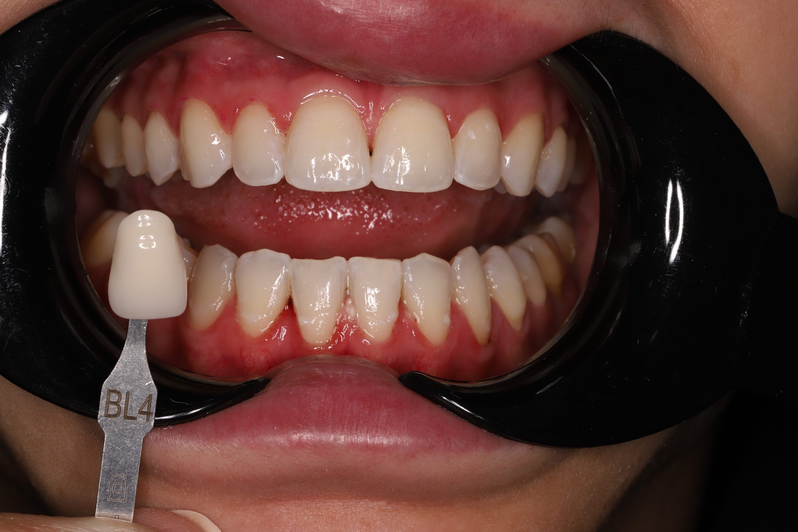
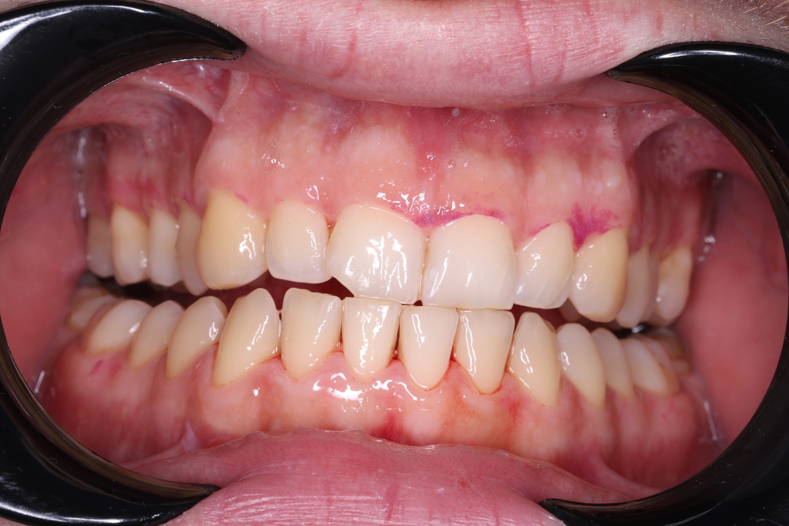
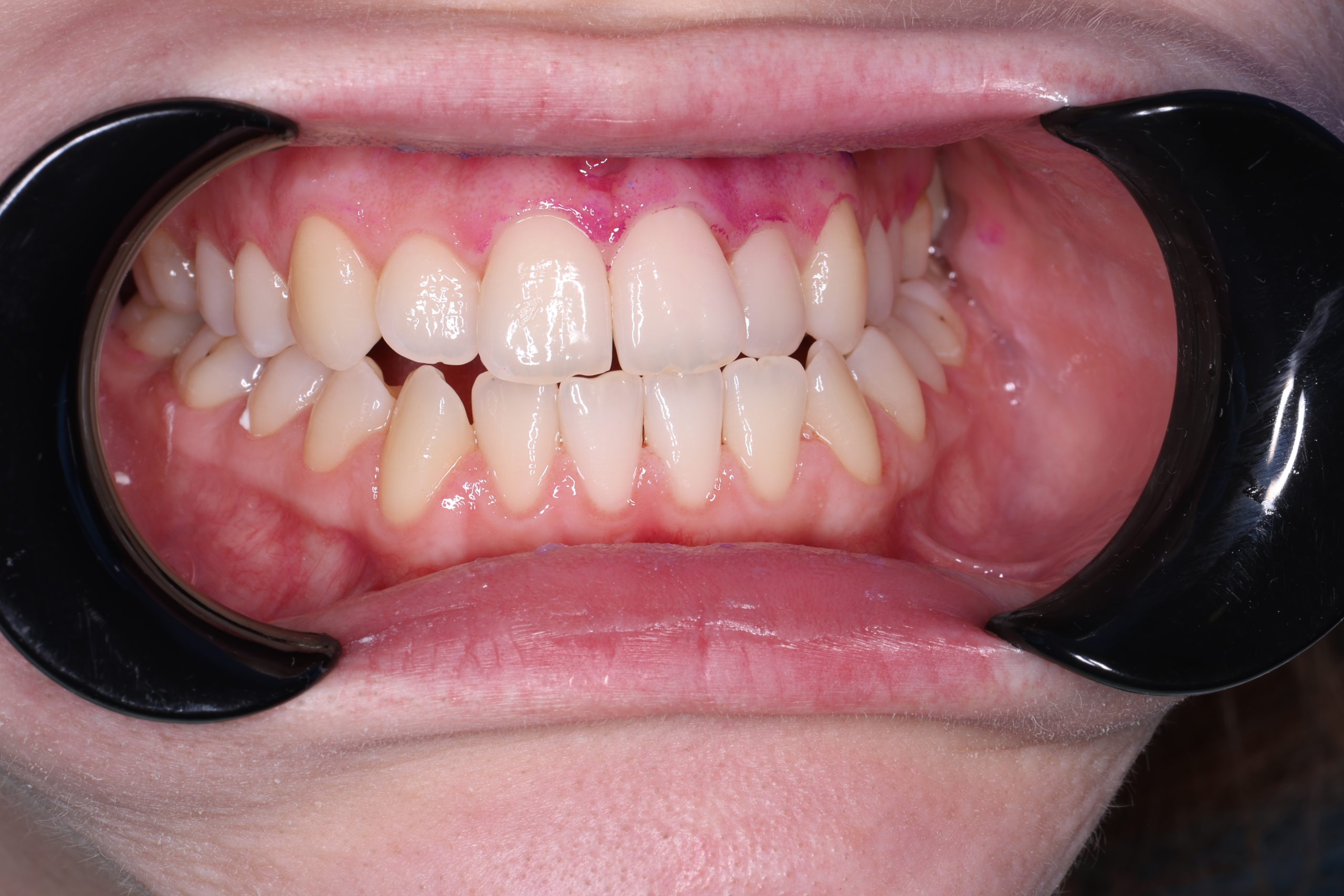
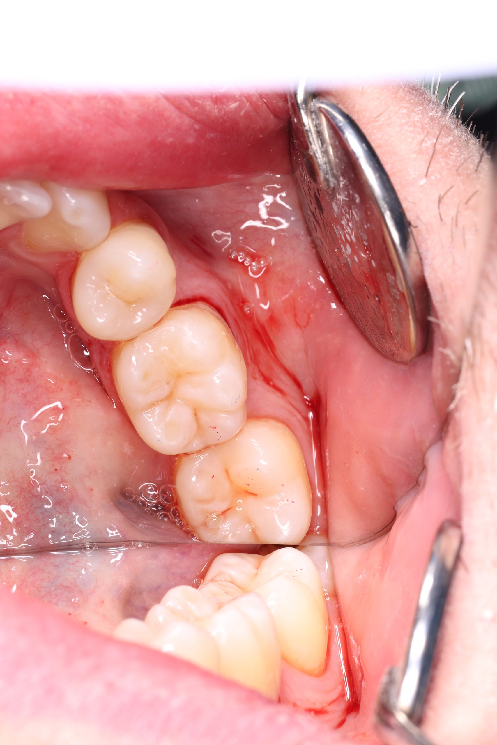
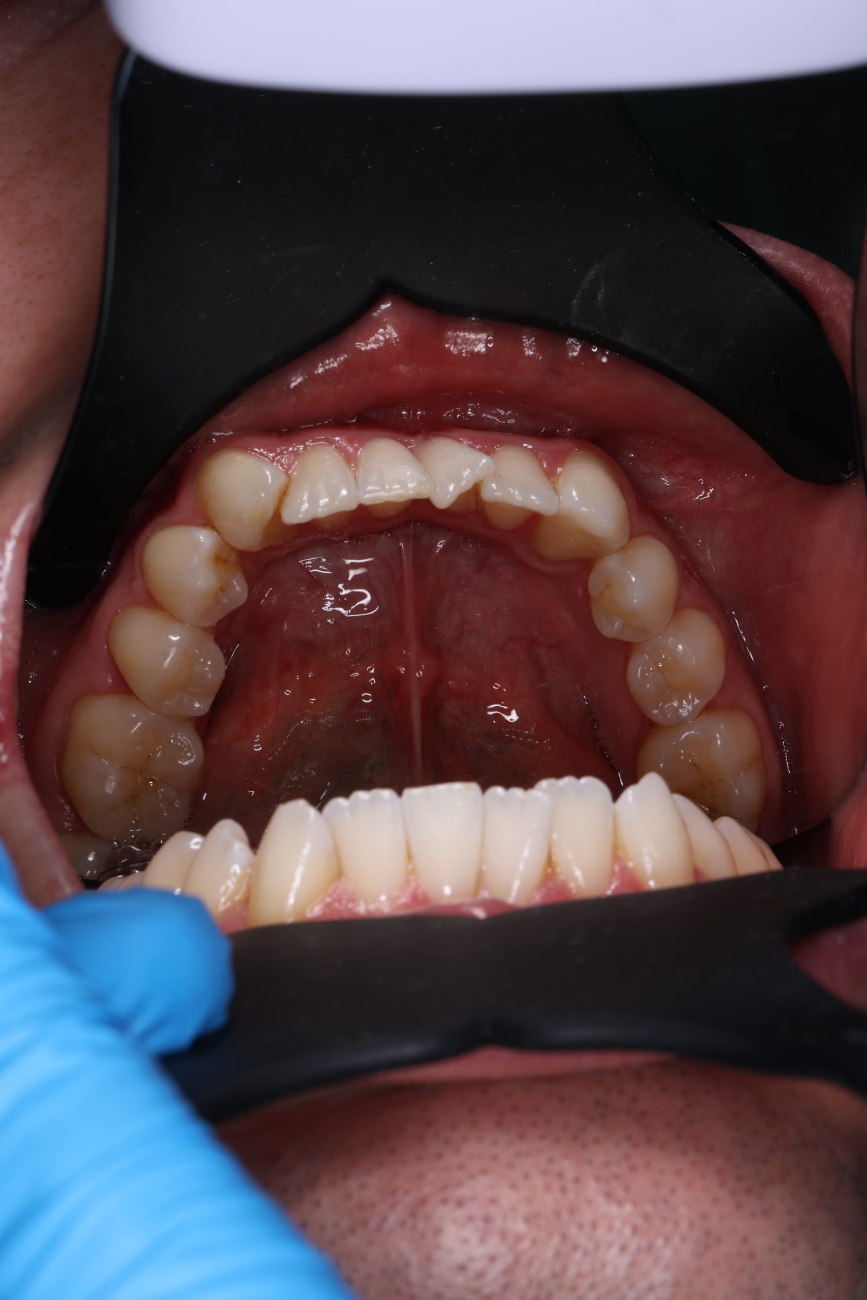
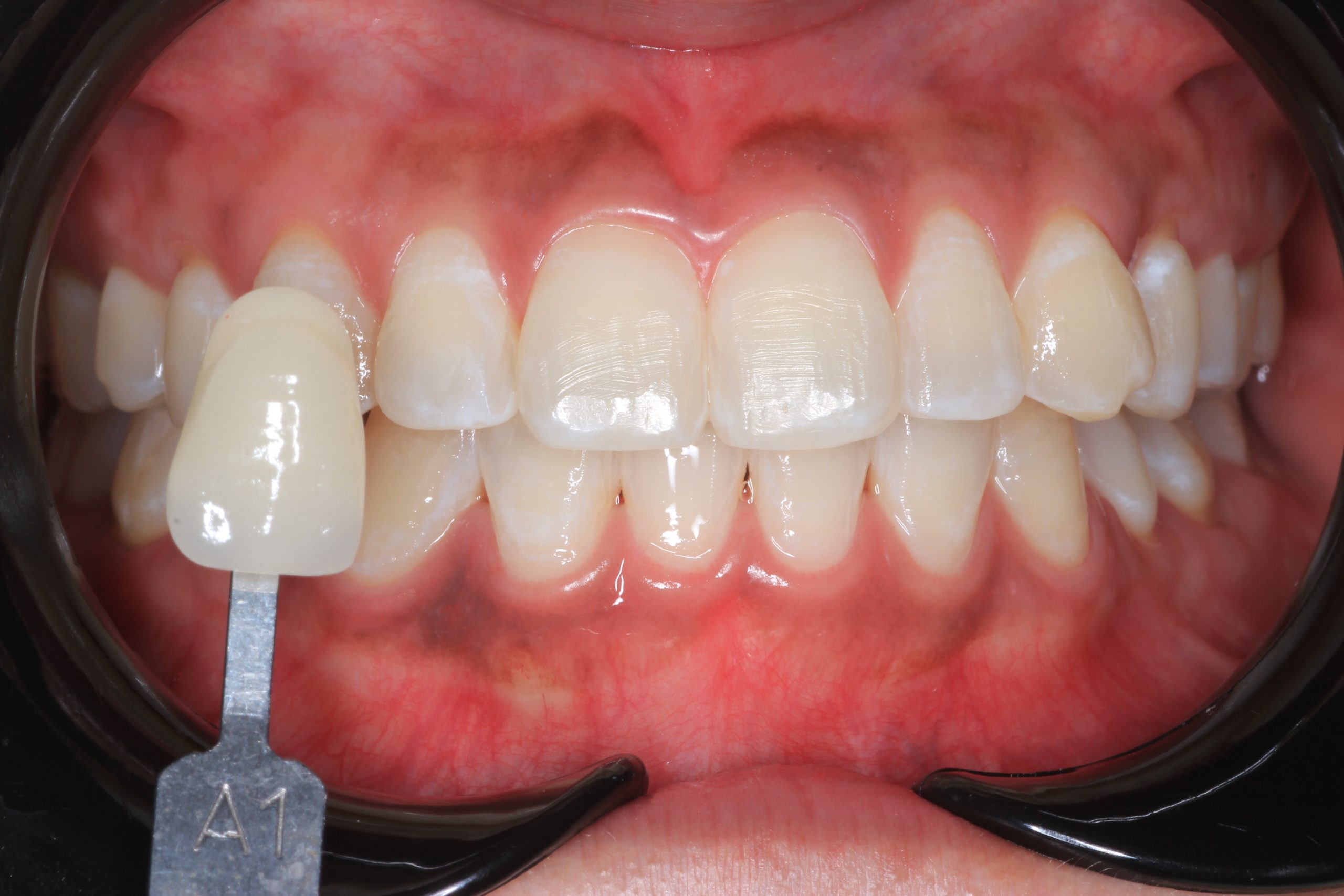
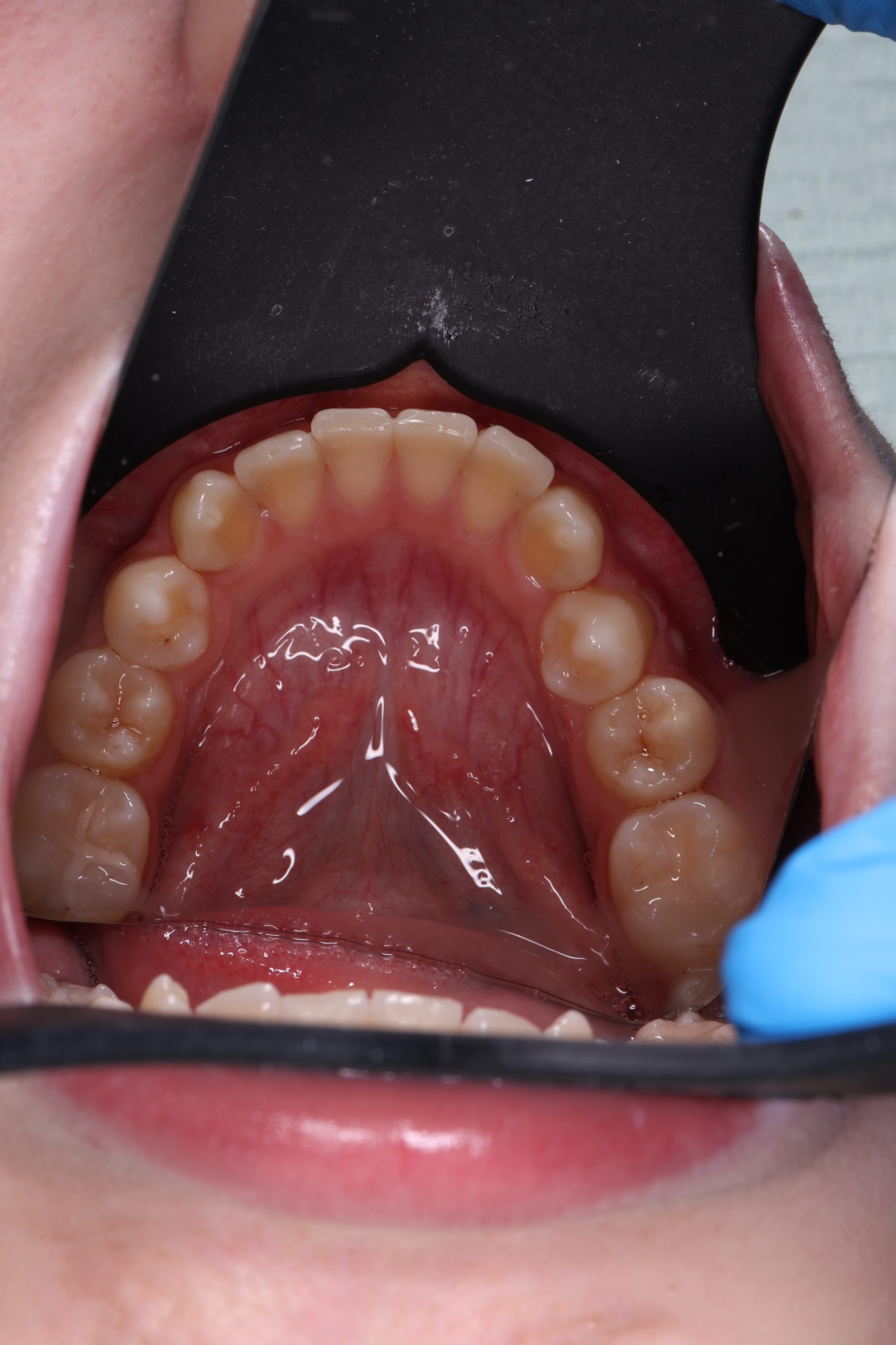
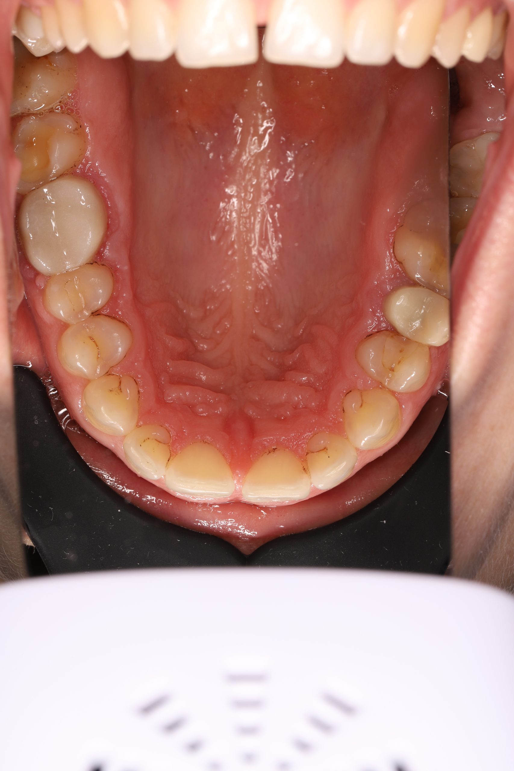
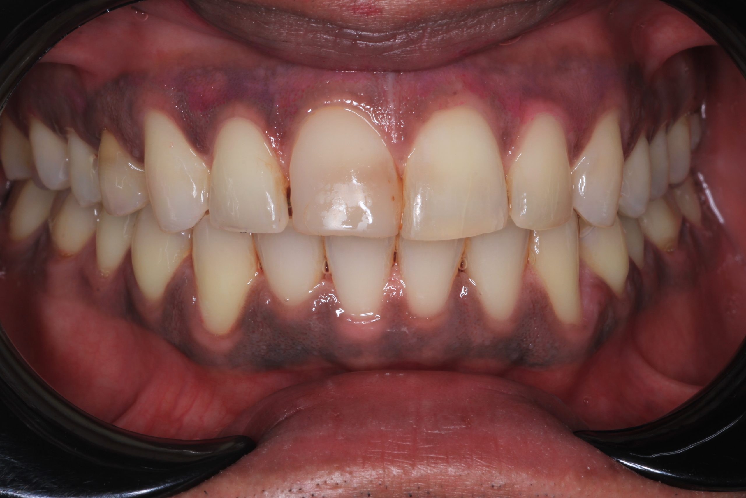
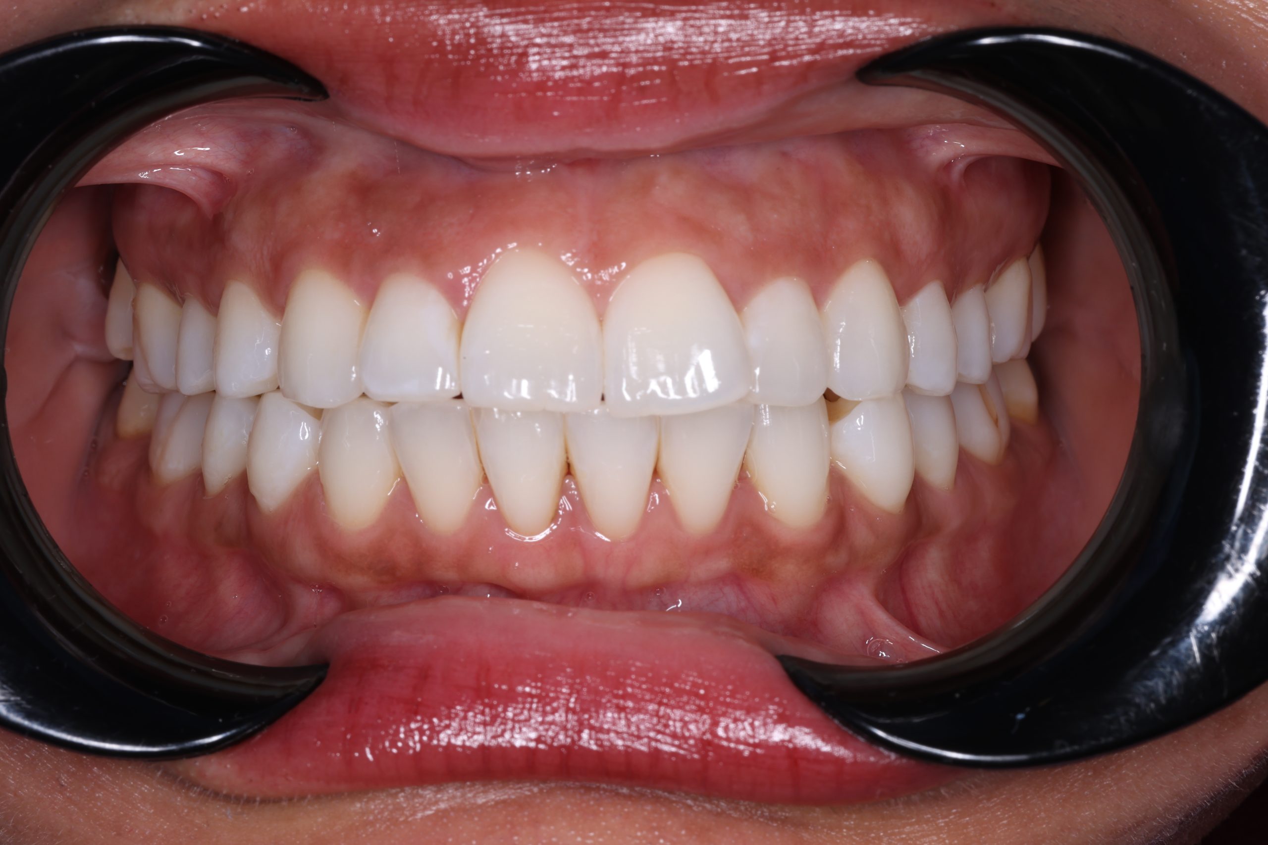
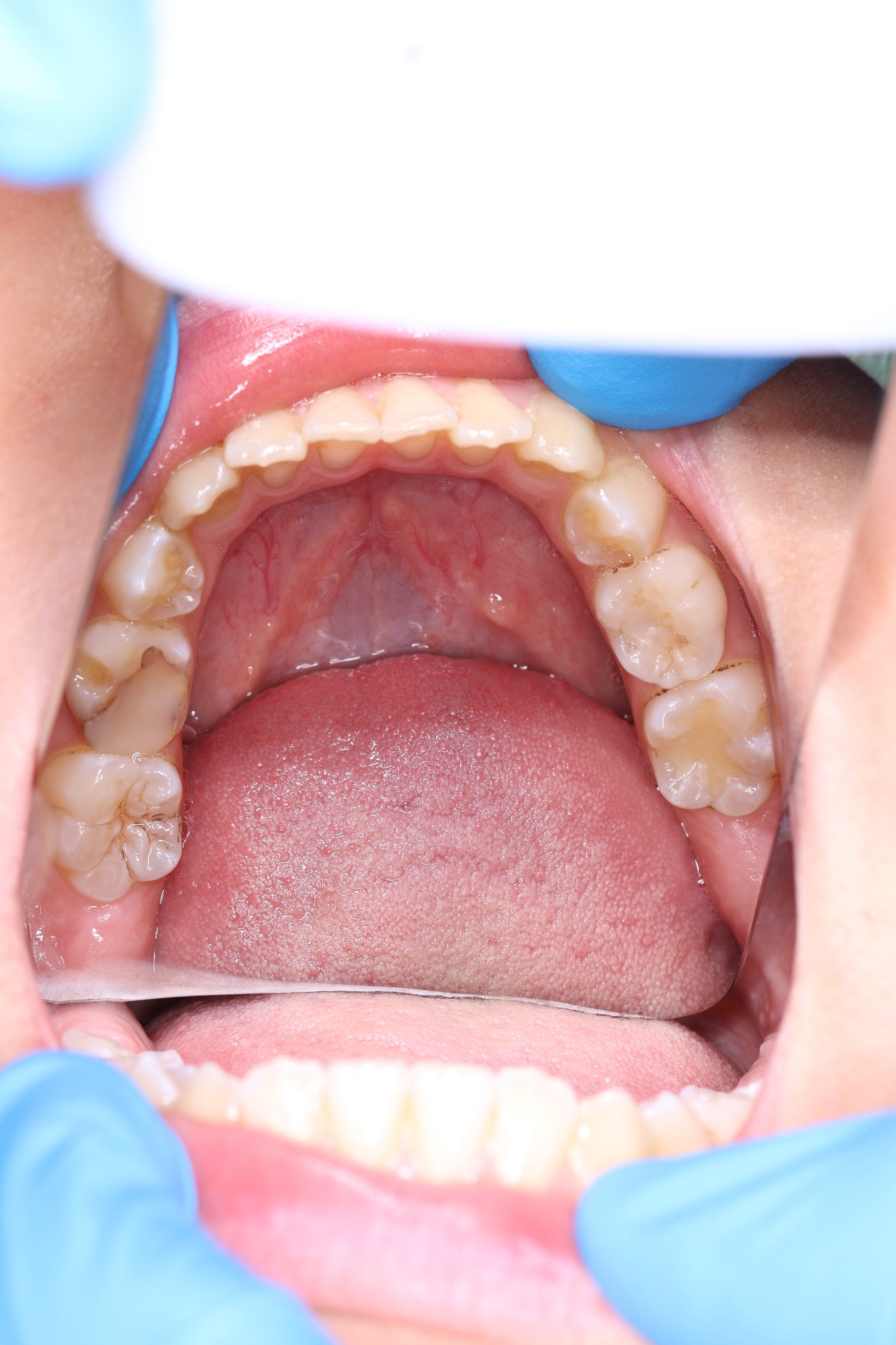
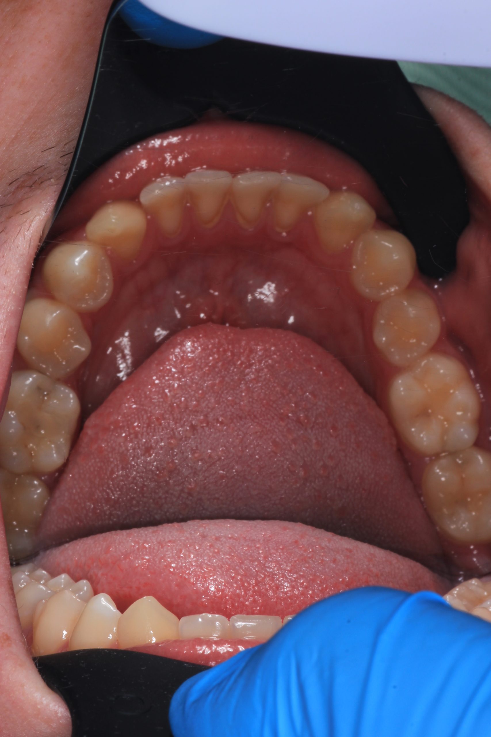
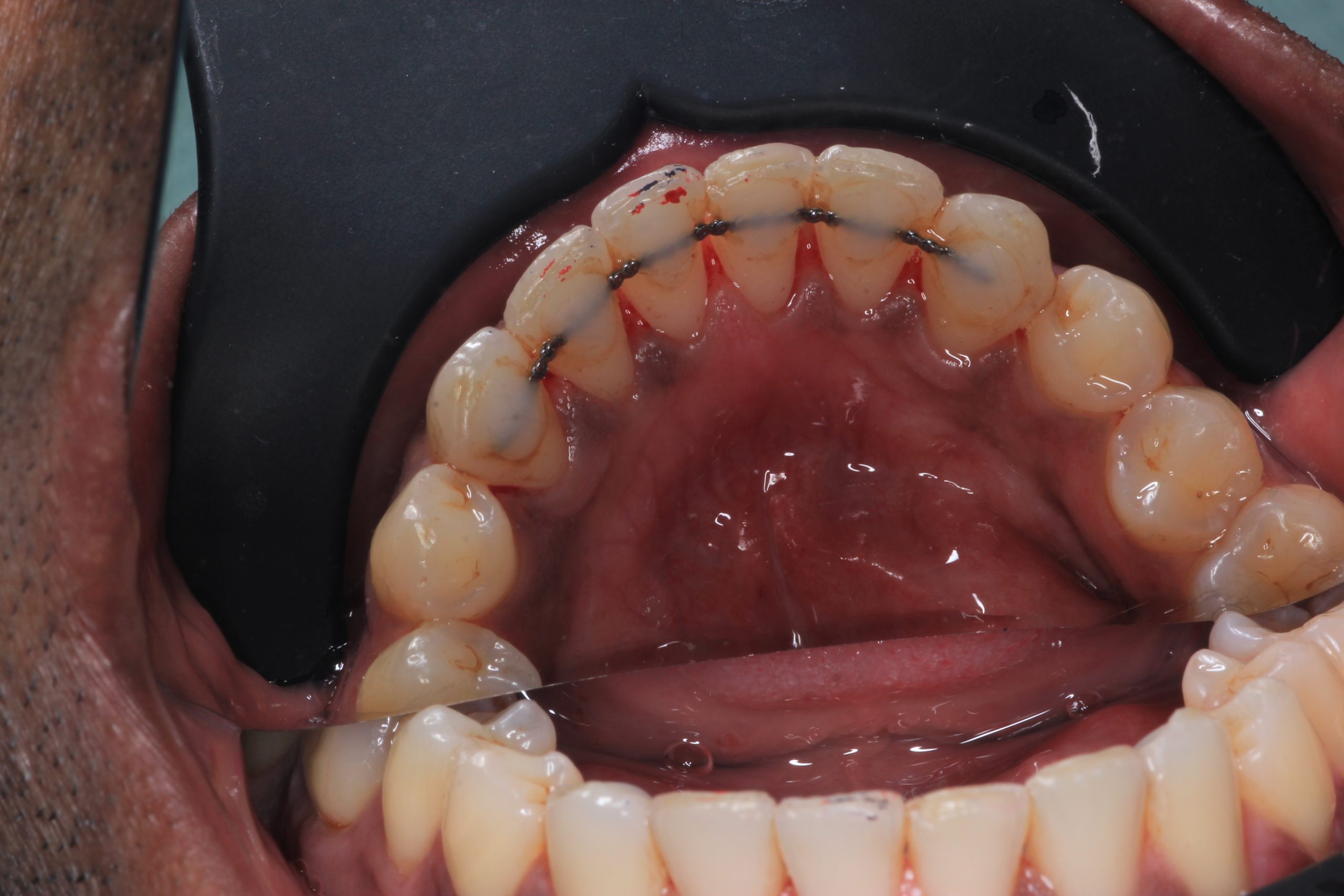
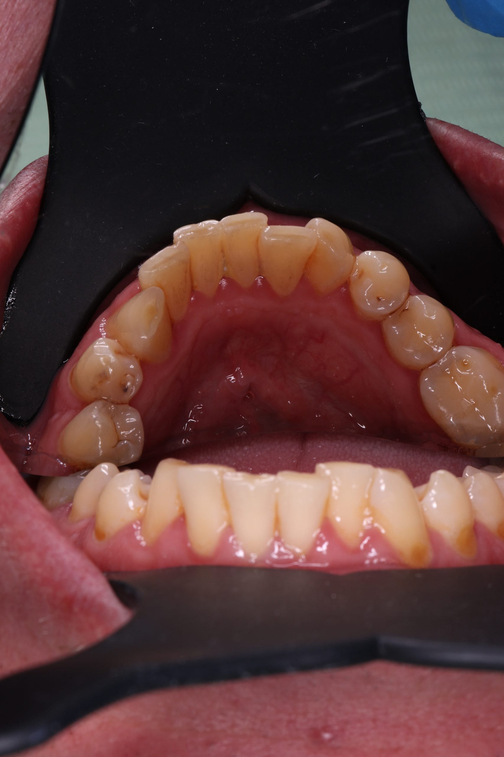
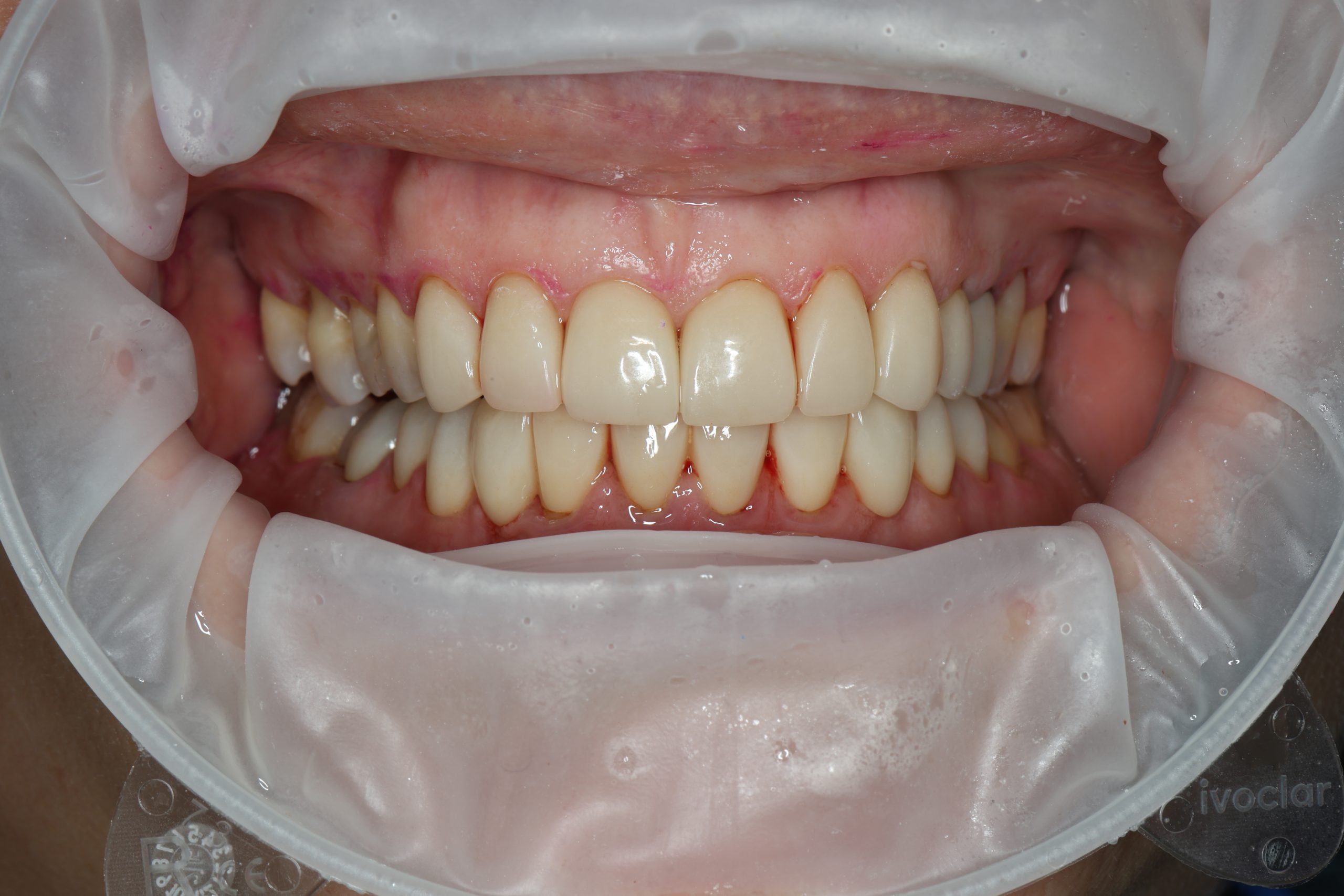
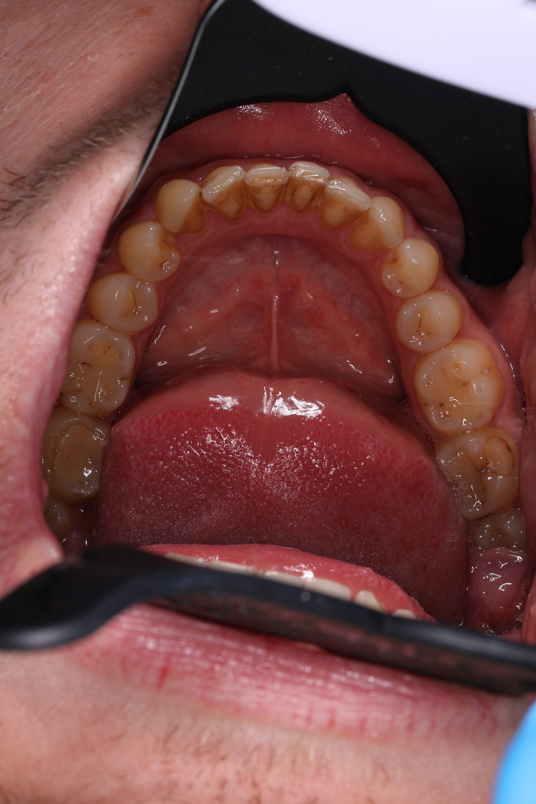
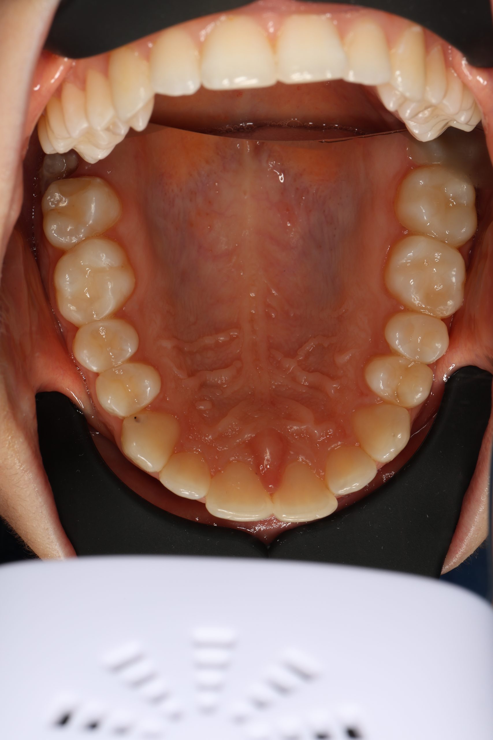
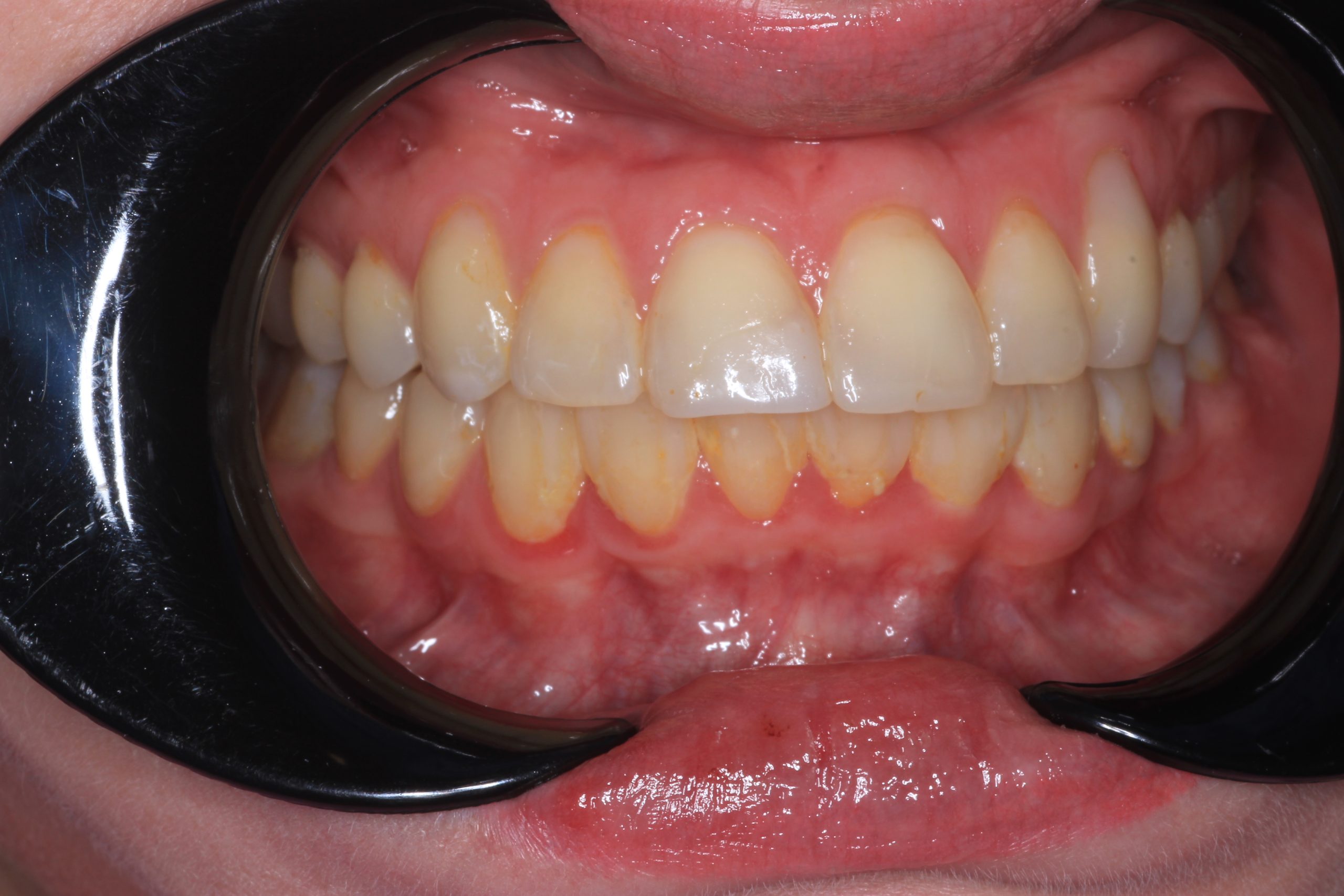
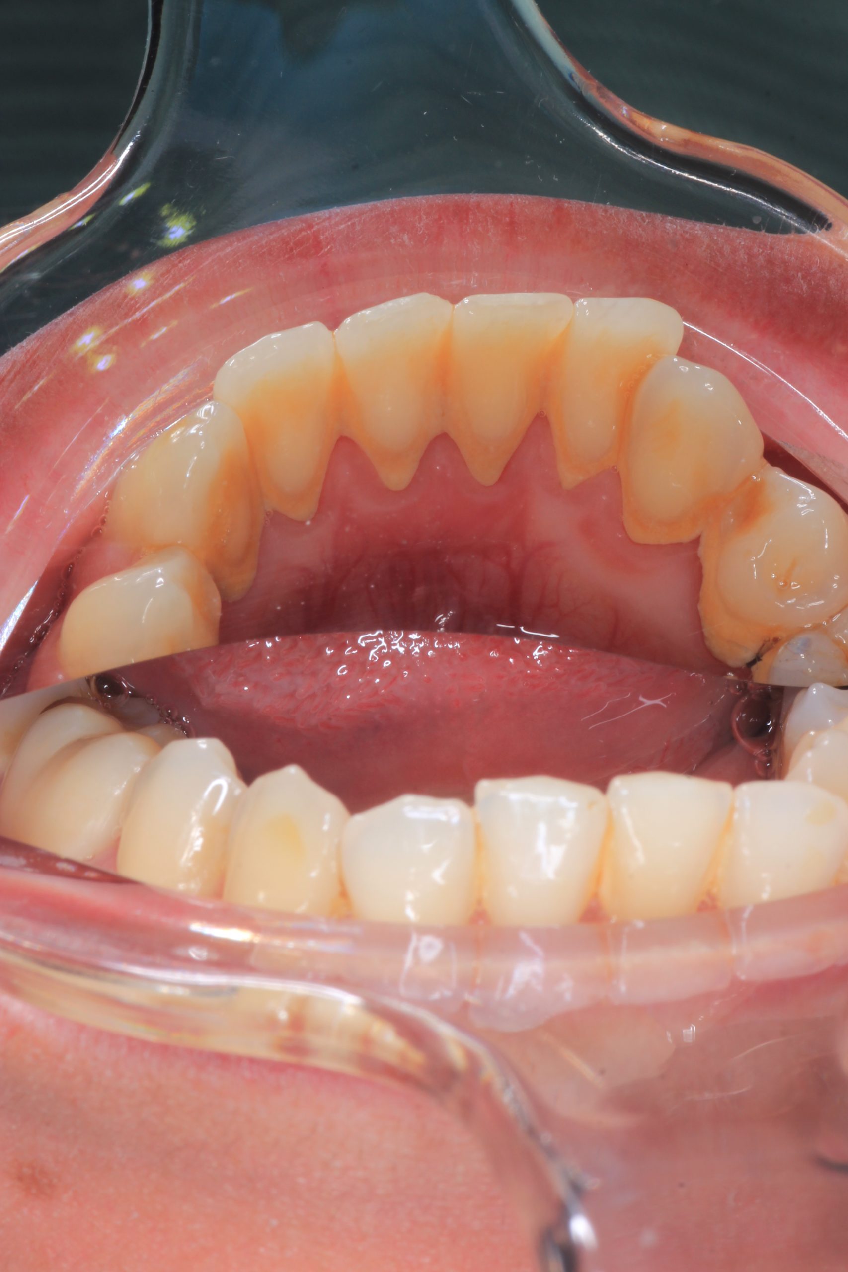
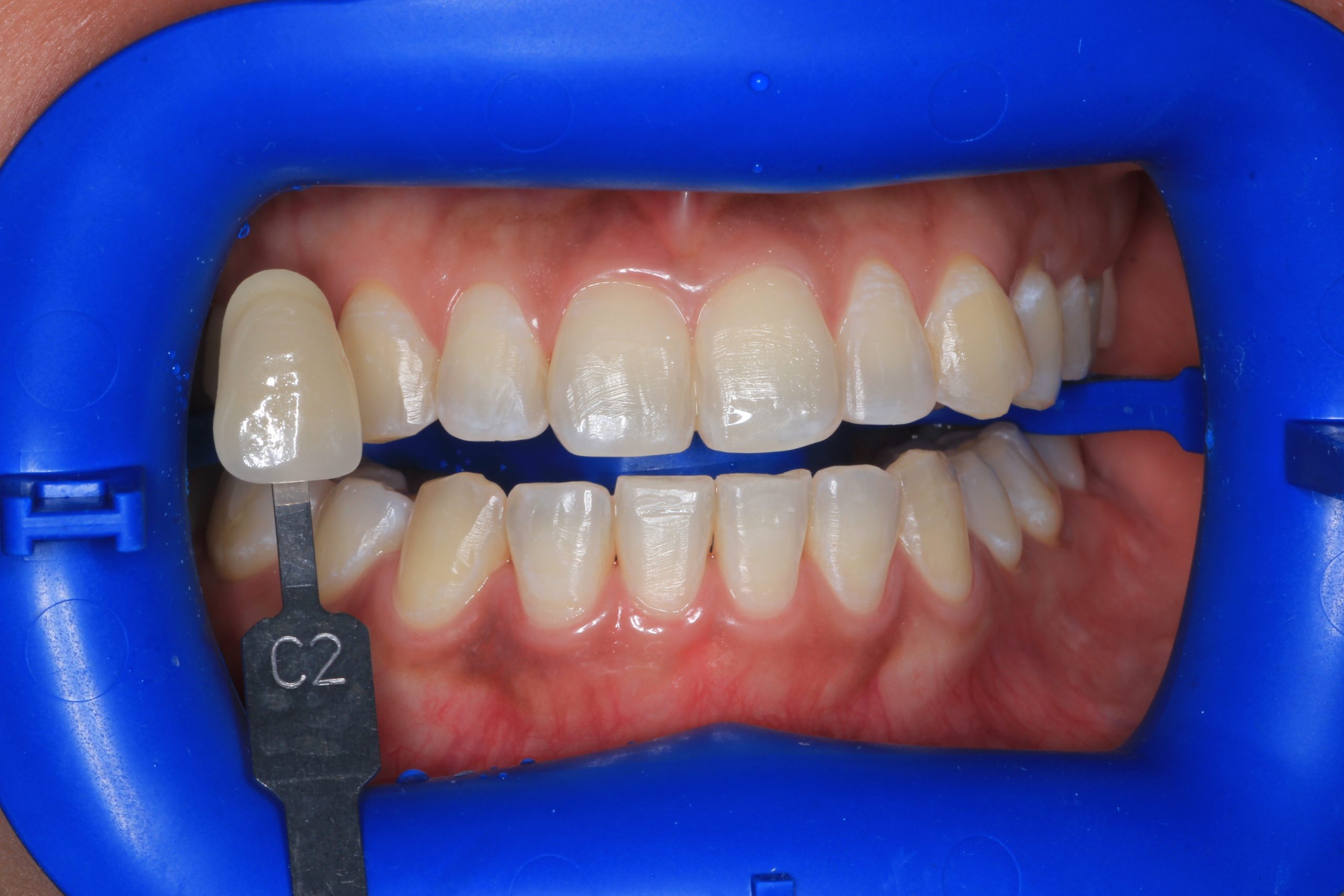
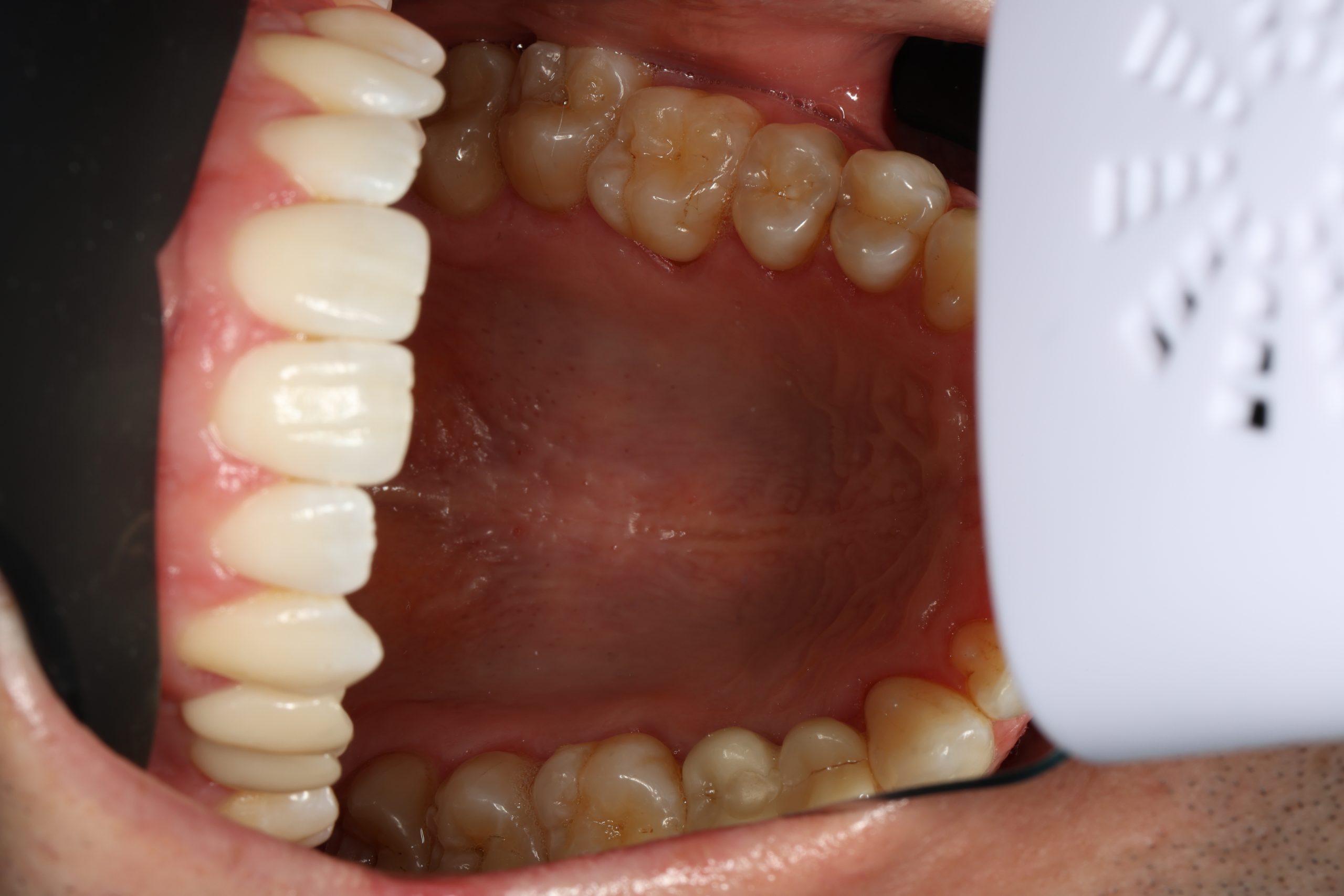
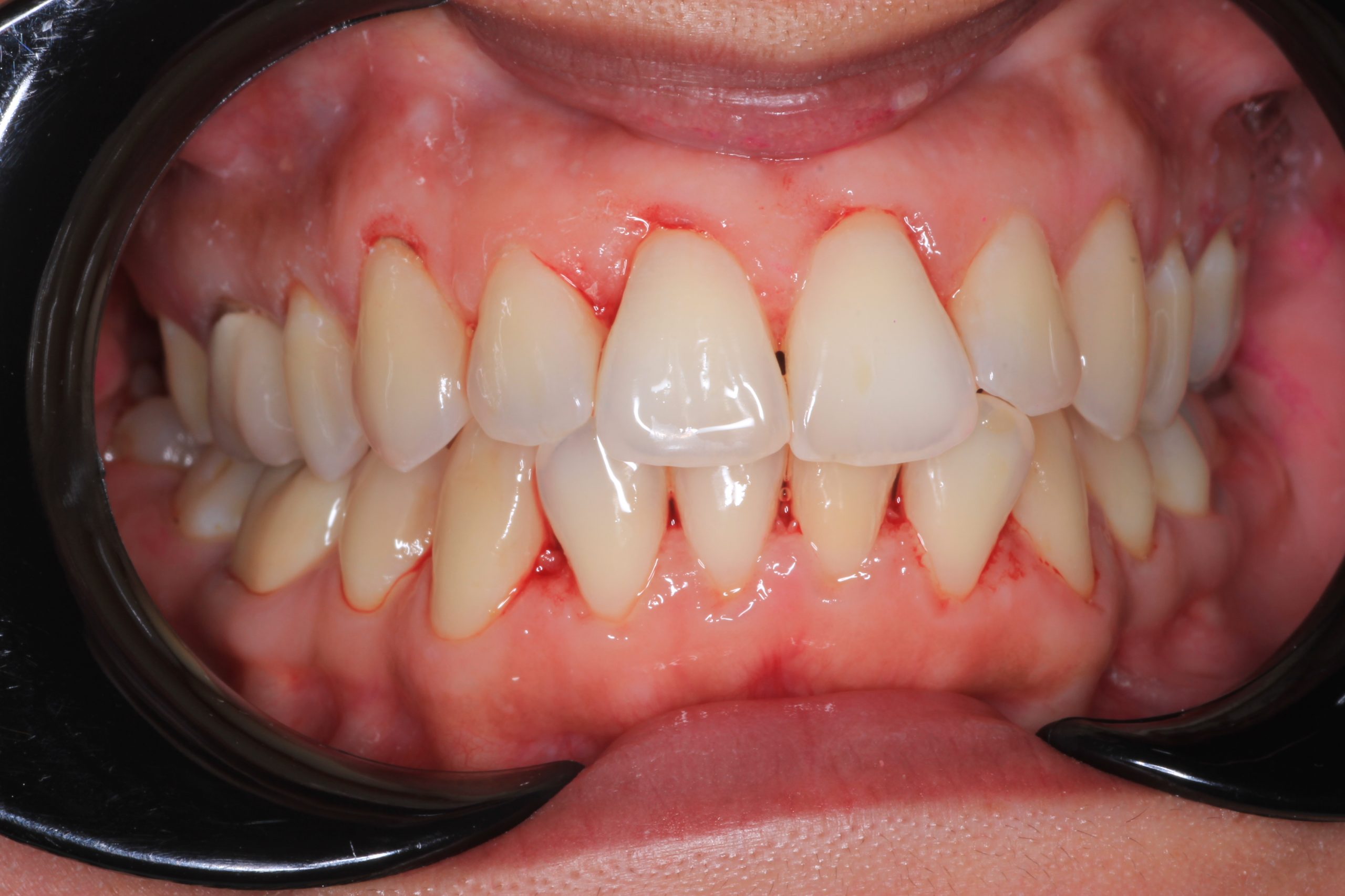
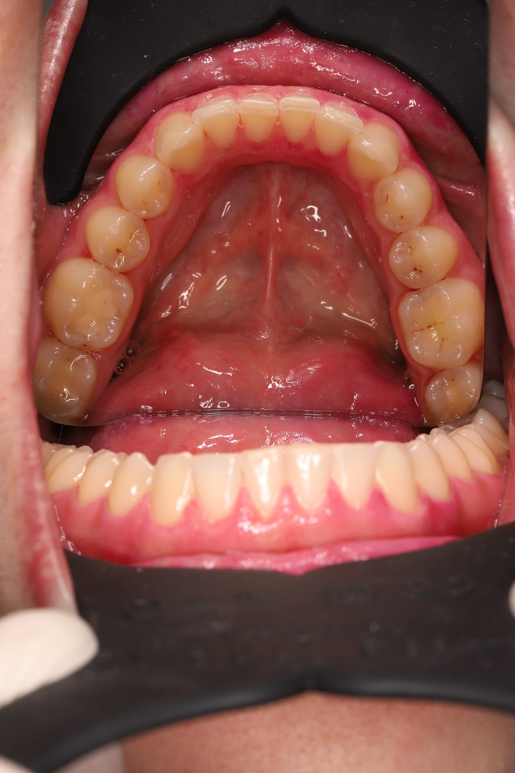
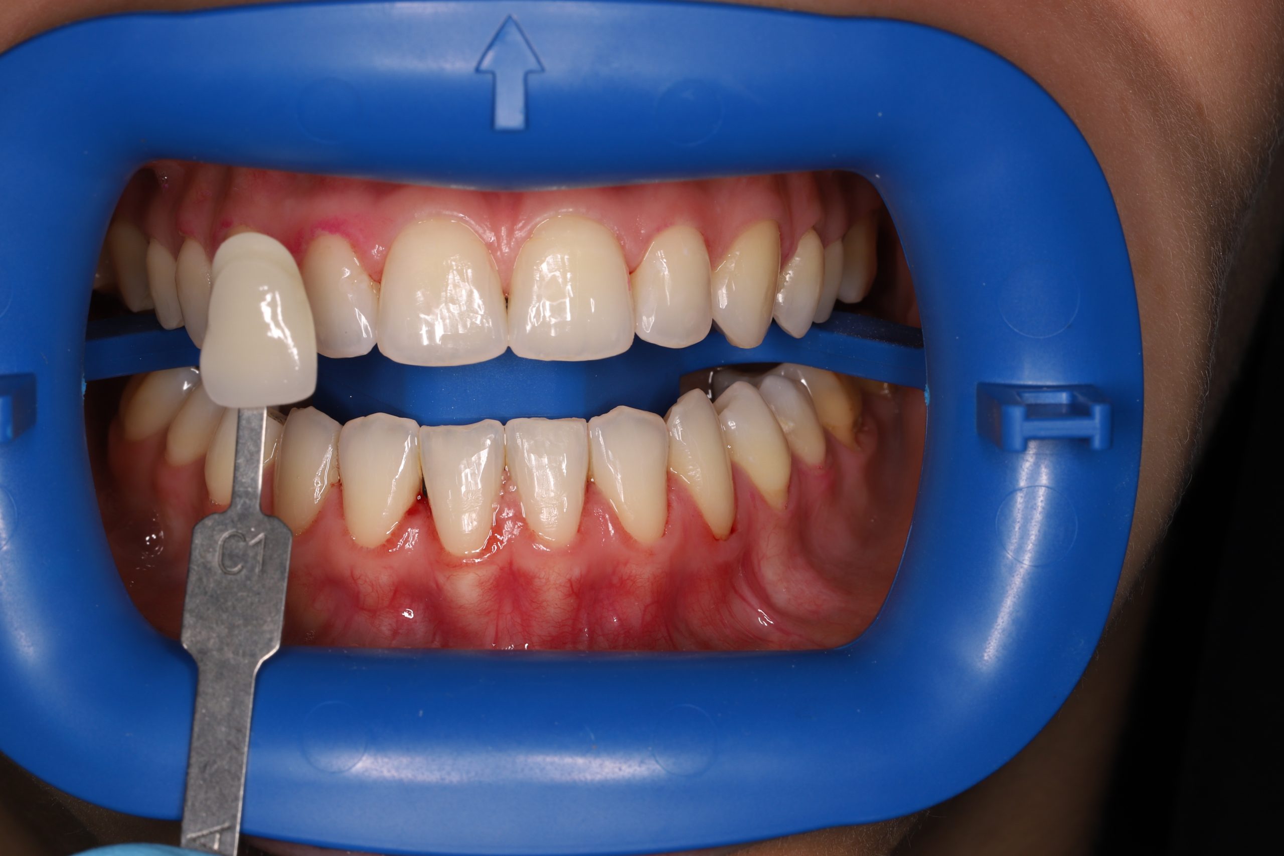
- Artistic restorations and smile aesthetics (composite fillings, veneers, whitening)
- Behavioral dentistry: working with anxious patients using nitrous oxide sedation
- Pediatric care with a focus on early dental adaptation and comfort
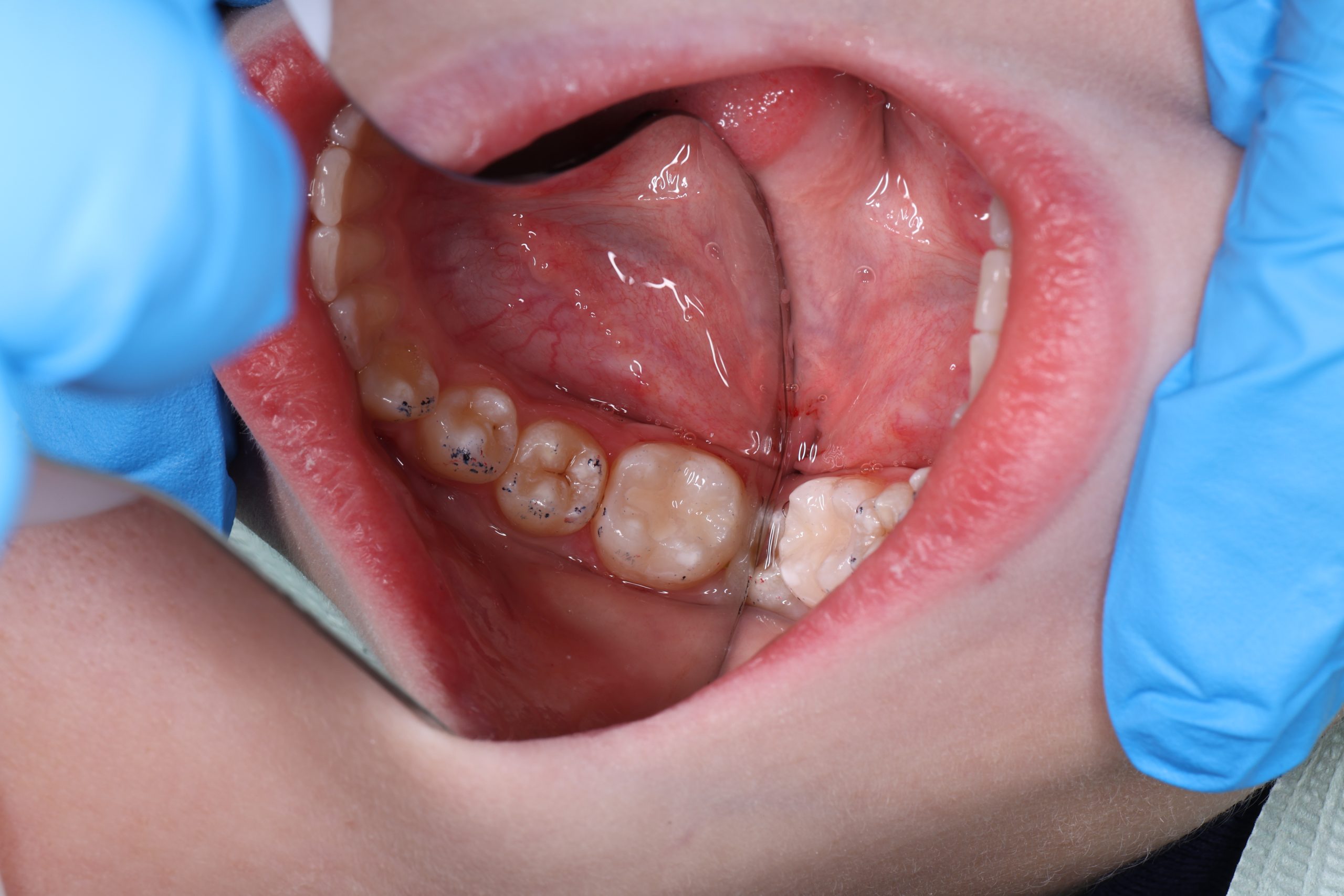
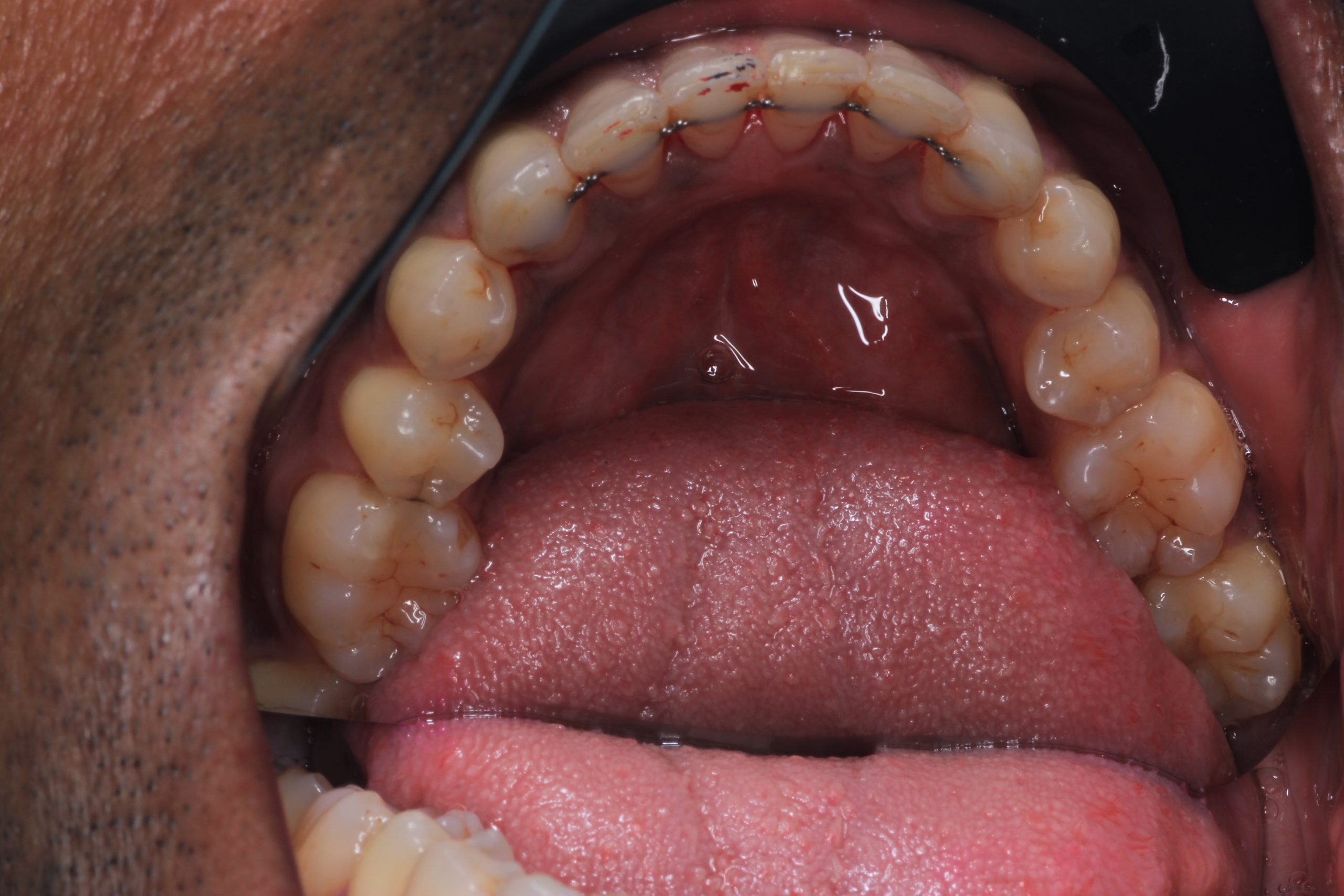
- Emergency and trauma treatment, preventive care, oral hygiene programs
Memberships & Credentials
- Licensed by Dubai Health Authority (DHA) and Department of Health (DOH), UAE
- Multiple-time winner of clinical competitions in restorative dentistry
Author of a professional textbook on maxillofacial actinomycosis - Contributor to peer-reviewed dental publications
How Dr. Tatiana Can Help You or Your Kid
- Natural-looking smile restorations with an artistic approach
- Comfortable dental care for children and adults with dental anxiety
- Nitrous oxide sedation for safe and stress-free treatment
- Preventive care and oral health education
- Gentle, technology-assisted procedures with faster recovery
Education & Advanced Training
- Dental Surgeon – A.I. Yevdokimov Moscow State University of Medicine and Dentistry
- General Dentist – Nizhny Novgorod State Medical Academy
- English for Medical Professionals – Nizhny Novgorod Linguistics University
Why Choose Dr. Tatiana Pestova?
- 8+ years of clinical experience across private practices
- Recognized expertise in aesthetic restorations
- Special focus on treating anxious and pediatric patients
- Fluent in Russian and English, basic Arabic



