Zirconia Crowns In Abu Dhabi

What are zirconia crowns recommended for?
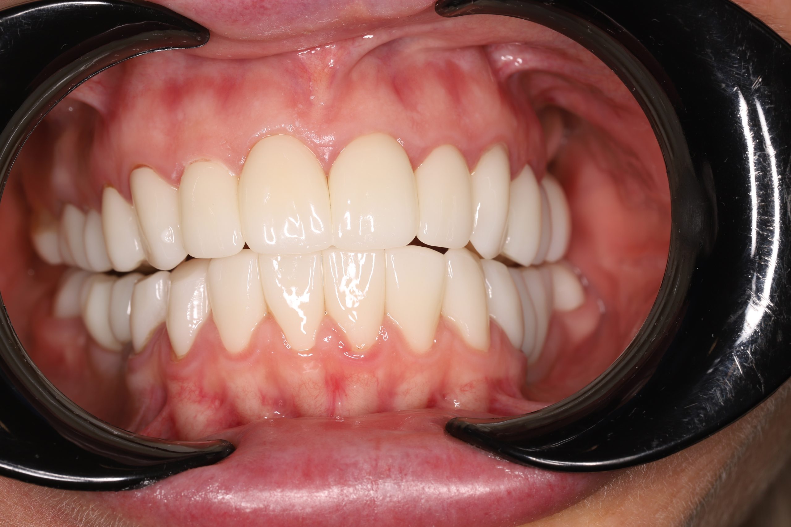
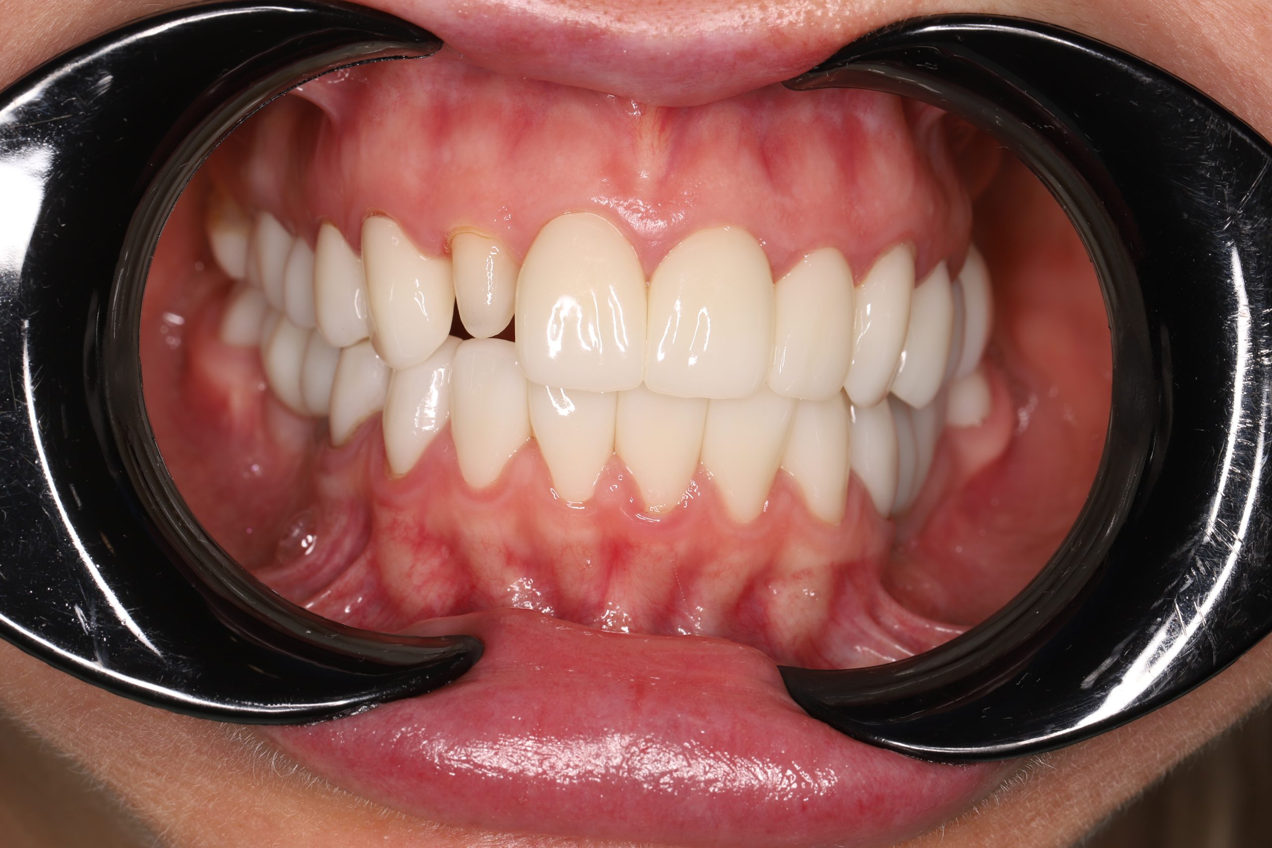
At our Abu Dhabi, UAE clinic, a zirconia crown is one of the most reliable ways to restore a damaged or weakened tooth. Made from zirconium dioxide — a durable and biocompatible ceramic — these crowns combine long-lasting strength with a natural, lifelike appearance. That makes them a trusted solution for both front and back teeth.
A dentist may suggest zirconia crowns in the following cases:
- Severely Damaged or Decayed Teeth – Provides strong and long-lasting protection.
- Cracked or Fractured Teeth – Reinforces weakened teeth to prevent further damage.
- Tooth Wear Due to Grinding (Bruxism) – A highly durable solution for patients with excessive wear.
- Post-Root Canal Treatment – Protects treated teeth from fractures.
- Replacement of Old Crowns – Offers a metal-free alternative to traditional crowns.
- Dental Implants – Used as a crown attachment for single-tooth implants.
What are the main advantages of zirconia crowns?
- Exceptional Strength – Highly resistant to fractures and wear, ideal for molars and high-pressure areas.
- Aesthetic and Natural Look – Can be colour-matched to surrounding teeth for a seamless appearance.
- Biocompatibility – Safe for patients with metal allergies and reduces gum irritation.
- Minimal Tooth Reduction – Requires less removal of natural tooth structure compared to traditional crowns.
- Stain-Resistant – Maintains a bright, natural look without discoloration.
- Long-Lasting – With proper care, a zirconia crown can last 15 years or more.
How does the zirconia crown procedure work?
- Initial Consultation and Examination – The dentist assesses the tooth and checks if a zirconia crown is the right choice.
- Tooth Preparation – Enamel is carefully shaped, impressions or scans are taken.
- Crown Fabrication – A custom zirconia dental crown is produced in a lab (1–2 weeks) or milled same-day with CAD/CAM.
- Crown Placement and Bonding – Fit, colour, and bite are checked before bonding with strong adhesive.
What should you expect after getting zirconia crowns?
- Immediate Functionality – Eat and speak normally straight away.
- Minimal Sensitivity – Mild tenderness fades quickly.
- Natural Appearance – Seamlessly blends with surrounding teeth.
How should zirconia crowns be cared for?
- Brush and floss daily.
- Avoid chewing on ice or very hard foods.
- Use a mouthguard if you grind teeth or play sports.
- Attend regular dental checkups.
How long do zirconia crowns last?
With proper oral hygiene and routine care, zirconia crowns in Abu Dhabi can last 15–20 years, sometimes even longer.
What is the zirconia crown price in Abu Dhabi?
The cost of a zirconia crown in Abu Dhabi depends on the tooth’s condition, its location, and whether CAD/CAM same-day milling is used. For transparent information, please see our treatment prices or contact our clinic directly.
When should you contact a dentist about your zirconia crown?
Seek advice if you notice:
- Persistent pain or sensitivity.
- A loose or shifting crown.
- Chips, cracks, or visible wear.
- Gum inflammation around the crown.
Patient Stories – Zirconia Crowns at TRUE SMILE Dental Center
Abdul, 38 years old – Smile zone restoration by Dr Ali
“I postponed treatment for a long time because I was afraid the crowns would be noticeable. But Dr. Ali at TRUE SMILE matched the shade so perfectly that nobody realized I had dental work done. My smile looks natural, and my teeth feel stronger than before. Honestly, these crowns look and perform better than my original teeth.”
A mother of a 6-year-old patient – Paediatric zirconia crowns by Dr Tatiana Pestova
“We came to the clinic when my son’s front baby teeth were badly damaged. I was worried it would be obvious and that he would become shy about smiling. The team at TRUE SMILE suggested zirconia crowns for children. His smile is even again, and the teeth are preserved until they fall out naturally. For us, it was a real solution.”
Michael, 45 years old – Replacing old crowns by Dr Ali
“I had old porcelain-fused-to-metal crowns, and there was a visible grey line near the gums. After getting zirconia crowns at TRUE SMILE, it feels like I have a completely new smile. Now my teeth look natural, with no dark shadows. I’m really glad I decided to replace them.”
Cost for Zirconia Crowns In Abu Dhabi
Check full price-listOur doctors
We've assembled an international team of dental experts who use cutting-edge technology — from 3D diagnostics to anti-stress dentistry with nitrous oxide.



Dr. Natalia Lola
Specialist Orthodontist, CEO

Dr. Victor Karabushin
Oral Surgeon & Implantologist

Dr. Mustafa Sarikahya
Endodontics Specialist
Dr. Shan Alvi
Specialist Prosthodontist and Implantologist

Dr. Ramona Kleinschmidt Do Valle
General Dentist

Dr. Nawar Khafaji
General Dentist

Dr. Faten Souki El Jurdi
General Dentist

Dr. Tina Kumar
Specialist Endodontist

Dr. Karan Kalra
Specialist Orthodontist

Dr. Ali Gibreel
General Dentist, Prosthodontist

Dr. Tatiana Pestova
General DentistWhy choose True Smile
International expertise under one roof
A truly global team with experience from leading clinics in different countries.
Anti-stress dentistry for adults and children
Gentle adaptation, calm communication, and nitrous oxide sedation when anxiety gets in the way.
Precise diagnostics, clear treatment plans
We explain every step, show options, and build a plan that matches your goals and budget.
Comfort-first, pain-controlled care
Modern anaesthesia and careful technique to keep treatment smooth and comfortable.
Family dentistry you can trust
From children's check-ups to complex adult cases, we care for smiles at every age.
Multilingual team
Our dentists and coordinators speak multiple languages, so you'll always feel understood.
CAPP MENA Dental Awards





Don't know what service you need?
Leave your details and we will call you back
We answer frequently asked questions
Most patients can expect 10–15 years with normal brushing, flossing, and check-ups. In many cases, they last well beyond that. Clinical studies show excellent survival rates at 5 years, with strong results continuing at 10 years and more.
It depends on where the crown is going. Zirconia is extremely strong and often the best choice for back teeth and implants. Lithium disilicate (often known as E-max) looks slightly more translucent, so it can be ideal in the front smile zone if your bite is gentle.
Not if it’s finished properly. We polish every crown after adjustments, which makes zirconia kind to the opposing enamel. Rough or unpolished surfaces can cause wear, but a properly polished zirconia crown behaves very favourably.
You may see advertisements from AED 399–999, but these often don’t include quality lab work or finishing. Typical clinics charge around AED 1,200–3,000. At TRUE SMILE Dental Center, our published fee is AED 4,000 for a premium zirconia crown, crafted with full finishing and precision.
No. A crown is a fixed restoration for a single tooth. It doesn’t move your teeth like orthodontics and it doesn’t replace several teeth like a denture. Instead, it reinforces and restores the tooth you already have.
We take shade matching seriously. Using advanced zirconia systems and individual shade mapping, we customise your crown so it blends with the surrounding teeth. Most people won’t be able to tell which tooth has the crown.
The procedure is carried out under local anaesthetic, so you shouldn’t feel pain. You may notice some mild sensitivity afterwards, but it usually settles within a few days.
Usually two. The first visit is for preparing the tooth, taking a scan, and placing a temporary crown. The second visit is for fitting your final zirconia crown. In some cases, with in-house milling, same-day options may be available.
Yes. Once the crown is cemented, it functions like your natural tooth. You can chew normally, though it’s always wise to avoid opening bottles, chewing ice, or using your teeth as tools.
It’s uncommon, but if it happens we can usually repair or replace the crown. Zirconia is highly durable, especially compared with older porcelain crowns.
What Our Patients Say – Testimonials
Hear from the people who trust us with their smiles. Real experiences from our patients in Abu Dhabi.
Blog
Discover fun facts, expert advice, and practical tips to help you understand your teeth better and take great care of your smile.

Abu Dhabi’s Hidden Dental Crisis: How Desert Heat & AC Are Silently Damaging Your Teeth
Read More +
Invisalign vs Braces in Abu Dhabi: Differences, Cost Factors & Who It’s Best For
Read More +
TRUE SMILE Dental Centre Wins 4 Awards at the Prestigious CAPP MENA Dental Awards
Read More +
Best Dentist in Abu Dhabi: 10 Signs of Truly Exceptional Dentistry
Read More +
Why Are Temporary Prostheses Placed on Implants First?
Read More +
How We Learned to Grow Teeth: From Early Experiments to the Breakthroughs of 2025
Read More +
Is Pain After Root Canal Normal?
Read More +
You’ve Started Orthodontic Treatment with Clear Aligners in Abu Dhabi
Read More +

