Regular Professional Dental Cleaning is Needed because:
- Removes plaque, tartar, and stains
- Brightens enamel naturally
- Strengthens teeth with fluoride and remineralizing agents
- Reduces the risk of cavities and gum disease by 30–50%
- Maintains gum health and prevents inflammation
- Keeps breath fresh and supports long-term dental health
Who Needs More Frequent Cleanings?
- Adults with good home care – every 6 months
- Smokers, coffee/tea drinkers, or those with poor hygiene – every 3 months
- Orthodontic patients (braces, aligners) – every 3 months
- Patients with gum disease – every 3 months, including special root-surface polishing
- Children and teens – every 3–4 months Learn more about hygiene for children and teens
8 Steps of Professional Dental Cleaning at TRUE SMILE DENTAL CENTER ABU DHABI
Step 1. Oral Examination
We begin with a thorough check of your teeth, gums, and soft tissues to assess your current oral health.
Step 2. Plaque Disclosure
We apply a special dye to highlight biofilm. This lets us identify problem areas and show you where brushing is less effective.
Step 3. Risk Assessment & Hygiene Coaching
We analyze your personal risk factors for cavities and gum disease, and provide:
- Hands-on brushing technique training
- Recommendations for toothbrushes, floss, interdental brushes, and silicone toothpicks
- Practical tips on electric vs. manual brushes and how to clean contact surfaces
Step 4. AIRFLOW® Cleaning
We gently remove biofilm and stains using AIRFLOW Prophylaxis Master with AIRFLOW Plus powder (14 μm erythritol particles). This ultra-fine powder reaches tight spaces without damaging enamel or soft tissue — and it works even around braces without removing wires.
Step 5. PERIOFLOW® (If Needed)
We use PERIOFLOW to clean deep periodontal pockets and surfaces around implants — gently and thoroughly — helping reduce inflammation and extend implant life.
Step 6. Ultrasonic Tartar Removal (If Needed)
We use PIEZON® PS, a targeted, pain-free ultrasonic scaler, to remove any hard calculus without damaging healthy tissue, restorations, or implants.
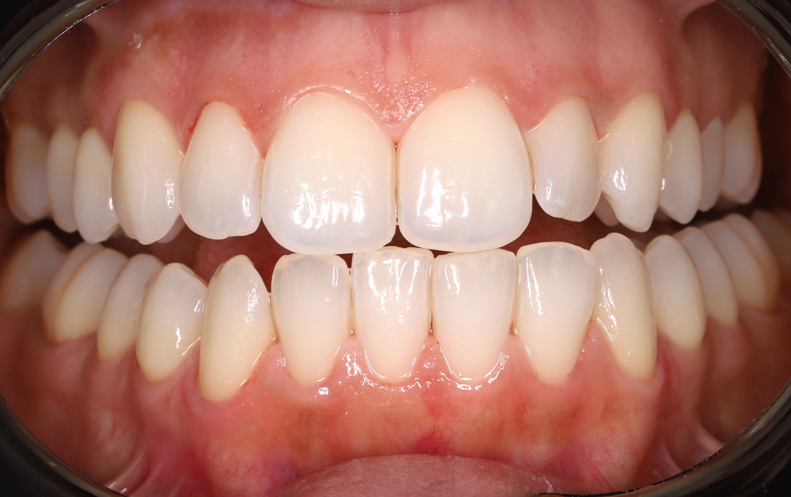
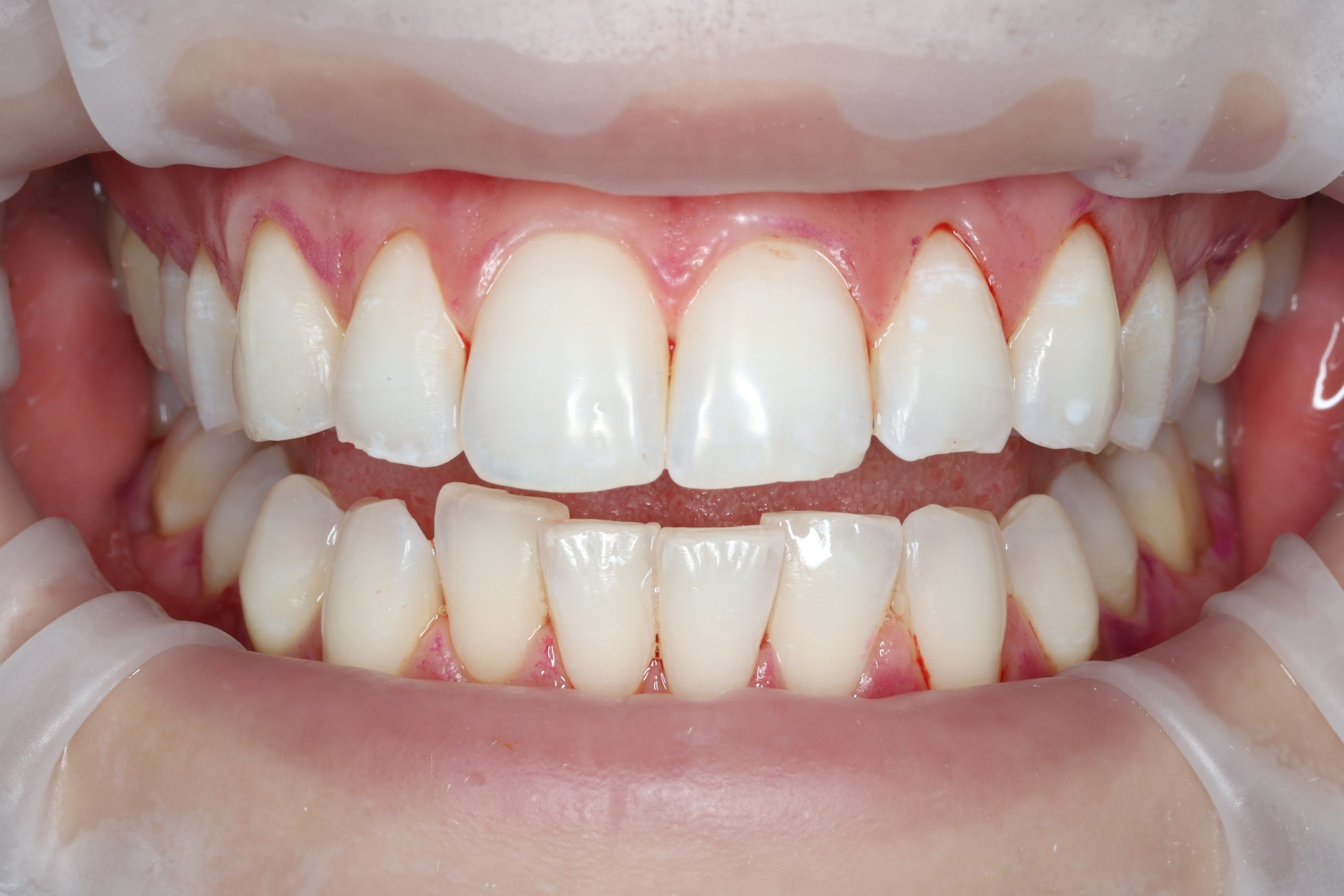
Step 7. Final Check + Remineralization
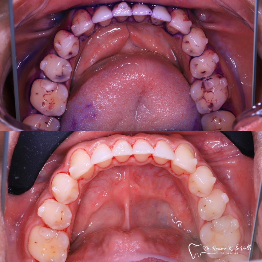
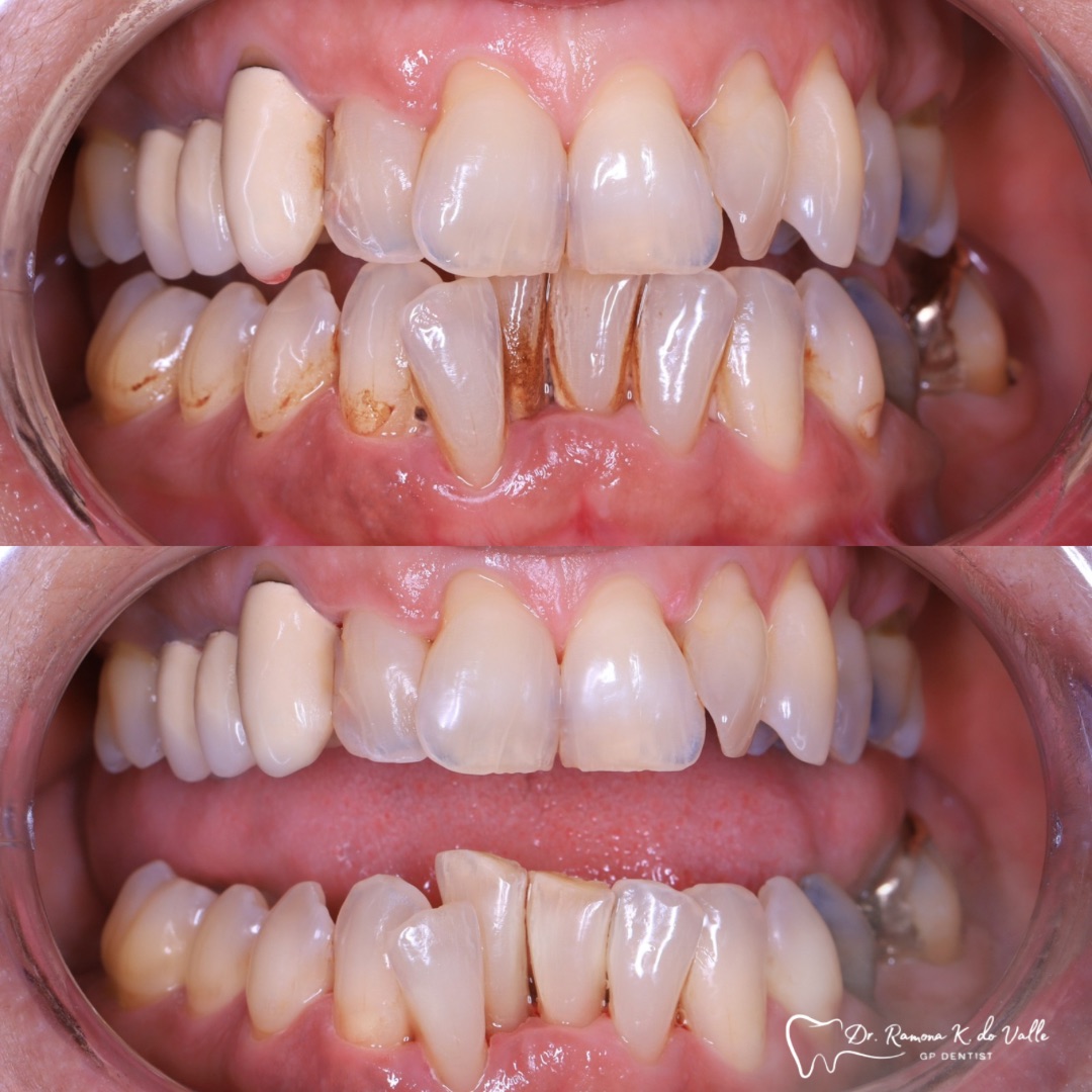
We recheck all surfaces to ensure complete biofilm removal. This clean surface allows early-stage caries to be diagnosed more accurately. We then apply fluoride or remineralizing gel to strengthen enamel.
Step 8. Follow-Up Planning
Based on your condition and risk level, we help plan your next visit — usually every 3 to 6 months.
Benefits of Professional Dental Hygiene at TRUE SMILE
01. Personalized Care
We tailor hygiene sessions to your age, sensitivity, gum health, and presence of crowns, braces, or implants.
02. Patient Education
We teach you how to maintain oral hygiene at home — from brushing and flossing to using interdental tools properly.
03. Home Care Product Recommendations
We select the best products just for you — toothbrushes, pastes, floss, interdental brushes, silicone picks — a full set.
04. Full Control
We use plaque-disclosing dye and before/after photos to track results and ensure total cleaning.
05. Maximum Comfort
Skilled, gentle hands + advanced European technology = stress-free, pain-free procedure.
What Makes True Smile Dental Center Abu Dhabi Stand Out?
- Dental Hygienists you can trust – Meet Dr. Faten and Dr. Ramona, our experienced, caring professionals
- High-end equipment – European technology for optimal results
- Complete, transparent care – Everything is included in your session, no surprises
- Tailored to you – Whether you have sensitive teeth, orthodontics, or implants
What Our Patients Say
Sofia M. (Russia)
“I want to thank Dr. Faten for the most comfortable and professional cleaning I’ve ever had. Quick, painless, and my teeth looked amazing. Already recommended TRUE SMILE to friends!”
Ahmed Al-Fahim (UAE)
“Huge thanks to Dr. Ramona. The plaque dye and aftercare tips were especially helpful. The clinic is clean, modern, and incredibly respectful.”
Emma J. (UK)
“Brilliant care. Dr. Faten used the latest technology and explained everything. I finally feel confident about my home care routine too!”
Liam R. (Australia)
“Dr. Ramona was great — smooth, fast, and no pain at all. My teeth feel fantastic. I’m coming back for sure.”
Anna K. (Germany)
“I have sensitive gums but Dr. Faten made me feel at ease. The before-and-after photos showed incredible improvement.”
Yousef Dabbagh (Jordan)
“Every visit confirms I made the right choice. Dr. Ramona always takes her time and adjusts to my needs. Highly recommended!”

























