What are zirconia crowns recommended for?
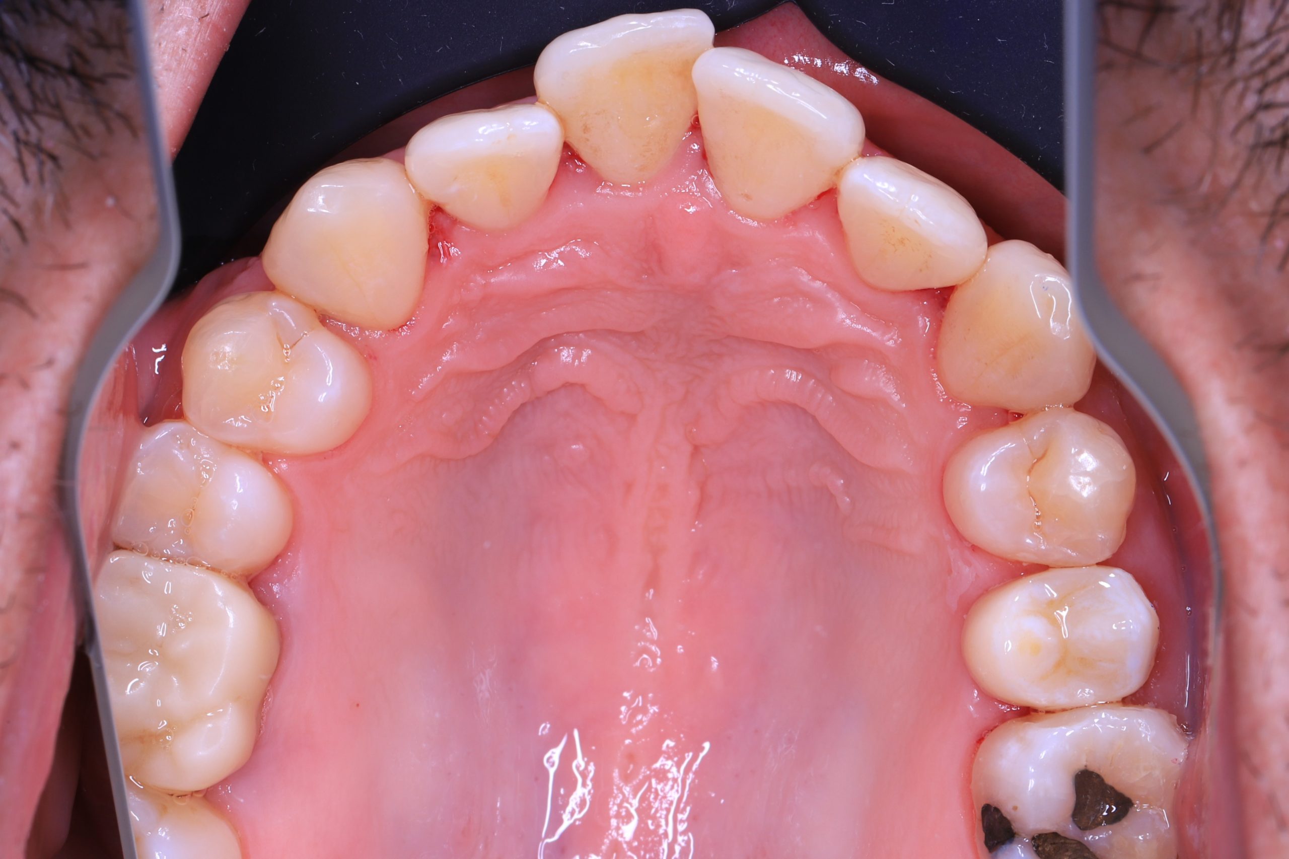
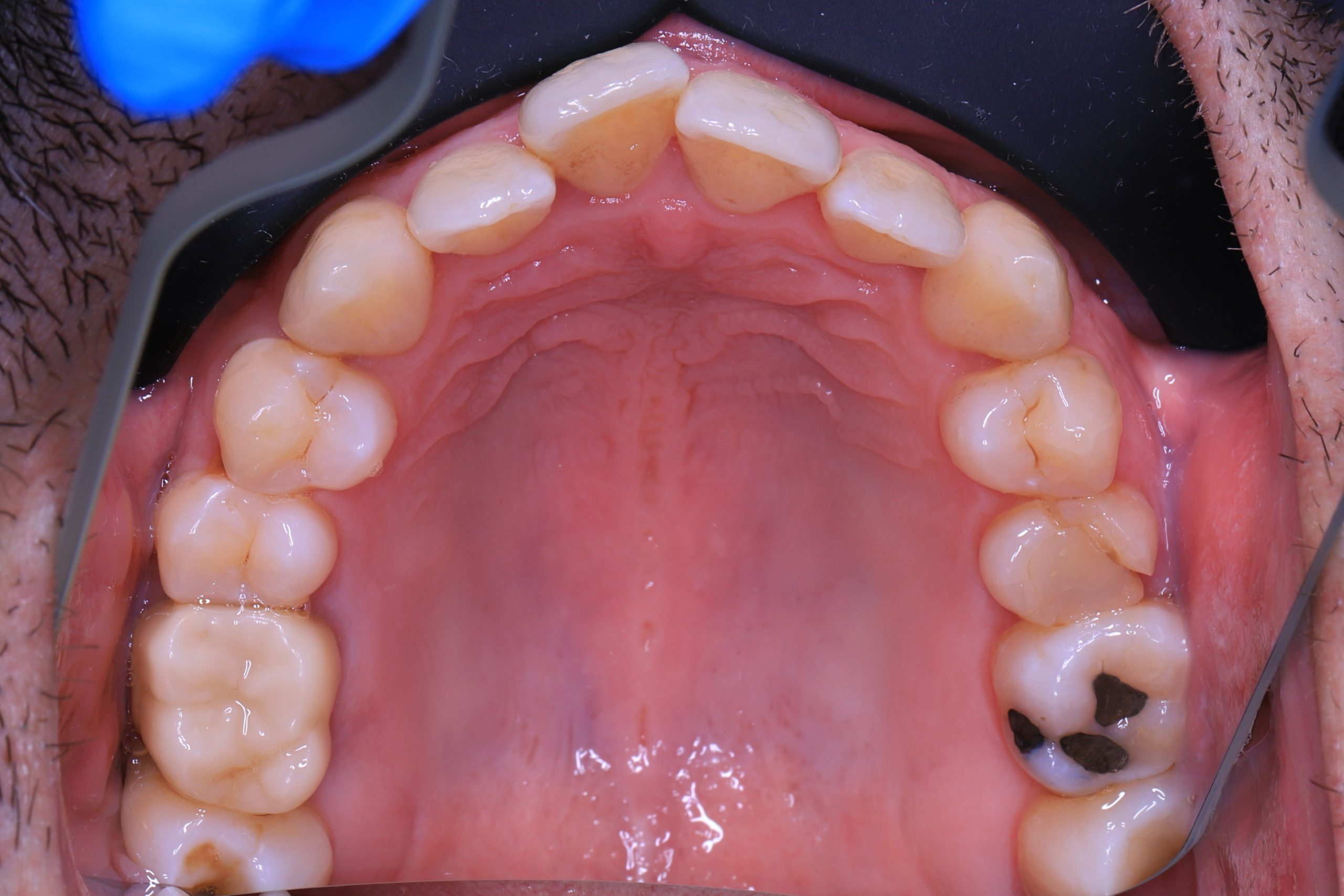
At our Abu Dhabi, UAE clinic, a zirconia crown is one of the most reliable ways to restore a damaged or weakened tooth. Made from zirconium dioxide — a durable and biocompatible ceramic — these crowns combine long-lasting strength with a natural, lifelike appearance. That makes them a trusted solution for both front and back teeth.
A dentist may suggest zirconia crowns in the following cases:
- Severely Damaged or Decayed Teeth – Provides strong and long-lasting protection.
- Cracked or Fractured Teeth – Reinforces weakened teeth to prevent further damage.
- Tooth Wear Due to Grinding (Bruxism) – A highly durable solution for patients with excessive wear.
- Post-Root Canal Treatment – Protects treated teeth from fractures.
- Replacement of Old Crowns – Offers a metal-free alternative to traditional crowns.
- Dental Implants – Used as a crown attachment for single-tooth implants.
What are the main advantages of zirconia crowns?
- Exceptional Strength – Highly resistant to fractures and wear, ideal for molars and high-pressure areas.
- Aesthetic and Natural Look – Can be colour-matched to surrounding teeth for a seamless appearance.
- Biocompatibility – Safe for patients with metal allergies and reduces gum irritation.
- Minimal Tooth Reduction – Requires less removal of natural tooth structure compared to traditional crowns.
- Stain-Resistant – Maintains a bright, natural look without discoloration.
- Long-Lasting – With proper care, a zirconia crown can last 15 years or more.
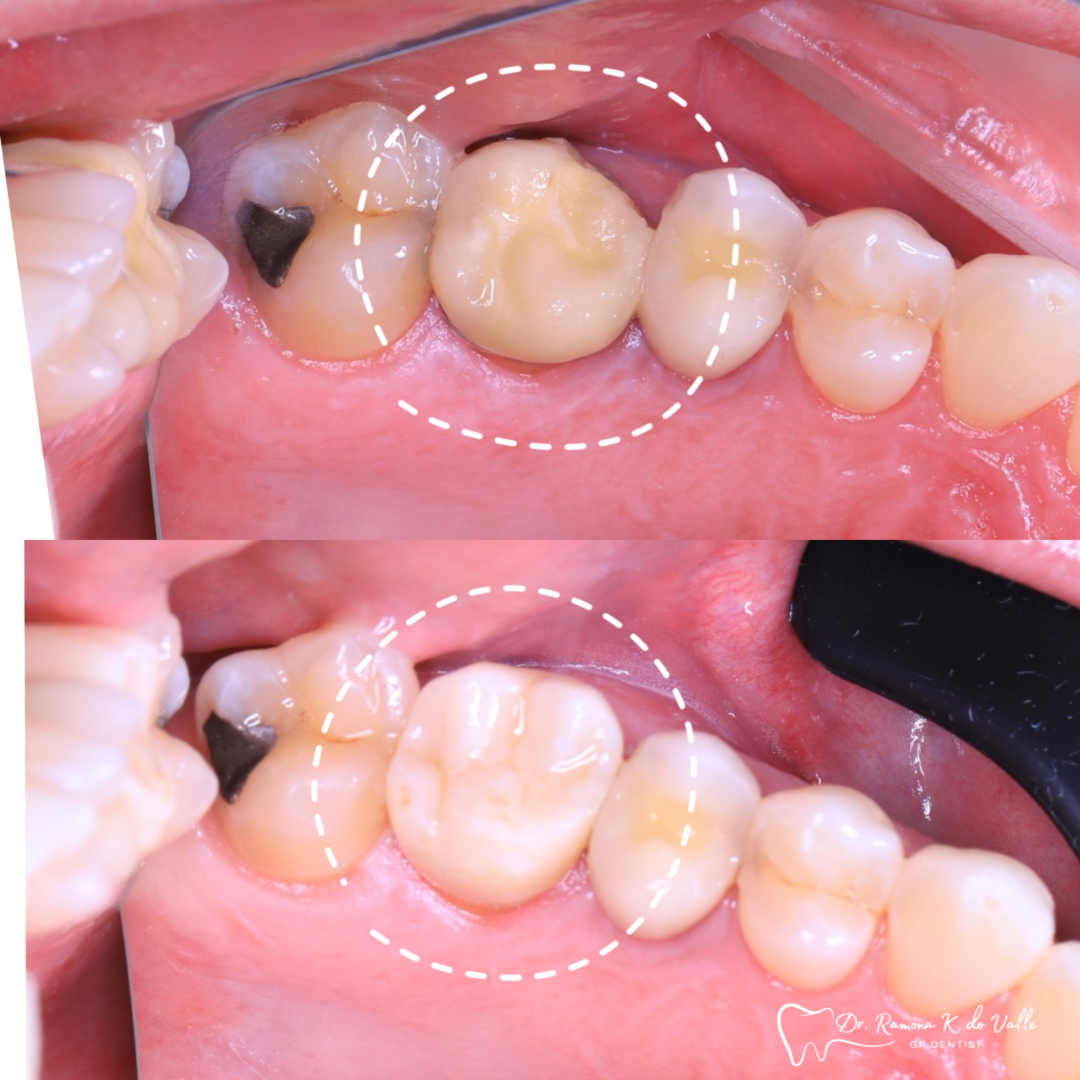
How does the zirconia crown procedure work?
- Initial Consultation and Examination – The dentist assesses the tooth and checks if a zirconia crown is the right choice.
- Tooth Preparation – Enamel is carefully shaped, impressions or scans are taken.
- Crown Fabrication – A custom zirconia dental crown is produced in a lab (1–2 weeks) or milled same-day with CAD/CAM.
- Crown Placement and Bonding – Fit, colour, and bite are checked before bonding with strong adhesive.
What should you expect after getting zirconia crowns?
- Immediate Functionality – Eat and speak normally straight away.
- Minimal Sensitivity – Mild tenderness fades quickly.
- Natural Appearance – Seamlessly blends with surrounding teeth.
How should zirconia crowns be cared for?
- Brush and floss daily.
- Avoid chewing on ice or very hard foods.
- Use a mouthguard if you grind teeth or play sports.
- Attend regular dental checkups.
How long do zirconia crowns last?
With proper oral hygiene and routine care, zirconia crowns in Abu Dhabi can last 15–20 years, sometimes even longer.
What is the zirconia crown price in Abu Dhabi?
The cost of a zirconia crown in Abu Dhabi depends on the tooth’s condition, its location, and whether CAD/CAM same-day milling is used. For transparent information, please see our treatment prices or contact our clinic directly.
When should you contact a dentist about your zirconia crown?
Seek advice if you notice:
- Persistent pain or sensitivity.
- A loose or shifting crown.
- Chips, cracks, or visible wear.
- Gum inflammation around the crown.
Patient Stories – Zirconia Crowns at TRUE SMILE Dental Center
Abdul, 38 years old – Smile zone restoration by Dr Ali
“I postponed treatment for a long time because I was afraid the crowns would be noticeable. But Dr. Ali at TRUE SMILE matched the shade so perfectly that nobody realized I had dental work done. My smile looks natural, and my teeth feel stronger than before. Honestly, these crowns look and perform better than my original teeth.”
A mother of a 6-year-old patient – Paediatric zirconia crowns by Dr Tatiana Pestova
“We came to the clinic when my son’s front baby teeth were badly damaged. I was worried it would be obvious and that he would become shy about smiling. The team at TRUE SMILE suggested zirconia crowns for children. His smile is even again, and the teeth are preserved until they fall out naturally. For us, it was a real solution.”
Michael, 45 years old – Replacing old crowns by Dr Ali
“I had old porcelain-fused-to-metal crowns, and there was a visible grey line near the gums. After getting zirconia crowns at TRUE SMILE, it feels like I have a completely new smile. Now my teeth look natural, with no dark shadows. I’m really glad I decided to replace them.”

























