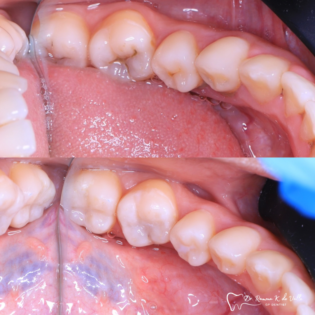
How Composite Bonding Works
1. Preparation of the Tooth
We remove weakened or decayed tissue and clean the area thoroughly. The goal is to preserve as much healthy structure as possible.
2. Etching and Bonding
A specialised adhesive is applied to create a secure link between your tooth and the composite. Strong bonding prevents leakage, improves longevity, and protects the tooth.
3. Layering the Composite Resin
The tooth-coloured resin is applied in thin layers and shaped carefully to match natural anatomy. For front-tooth work, we may combine several shades for a lifelike result.
4. Curing with Light
Each layer is hardened with a curing light for predictable strength and stability.
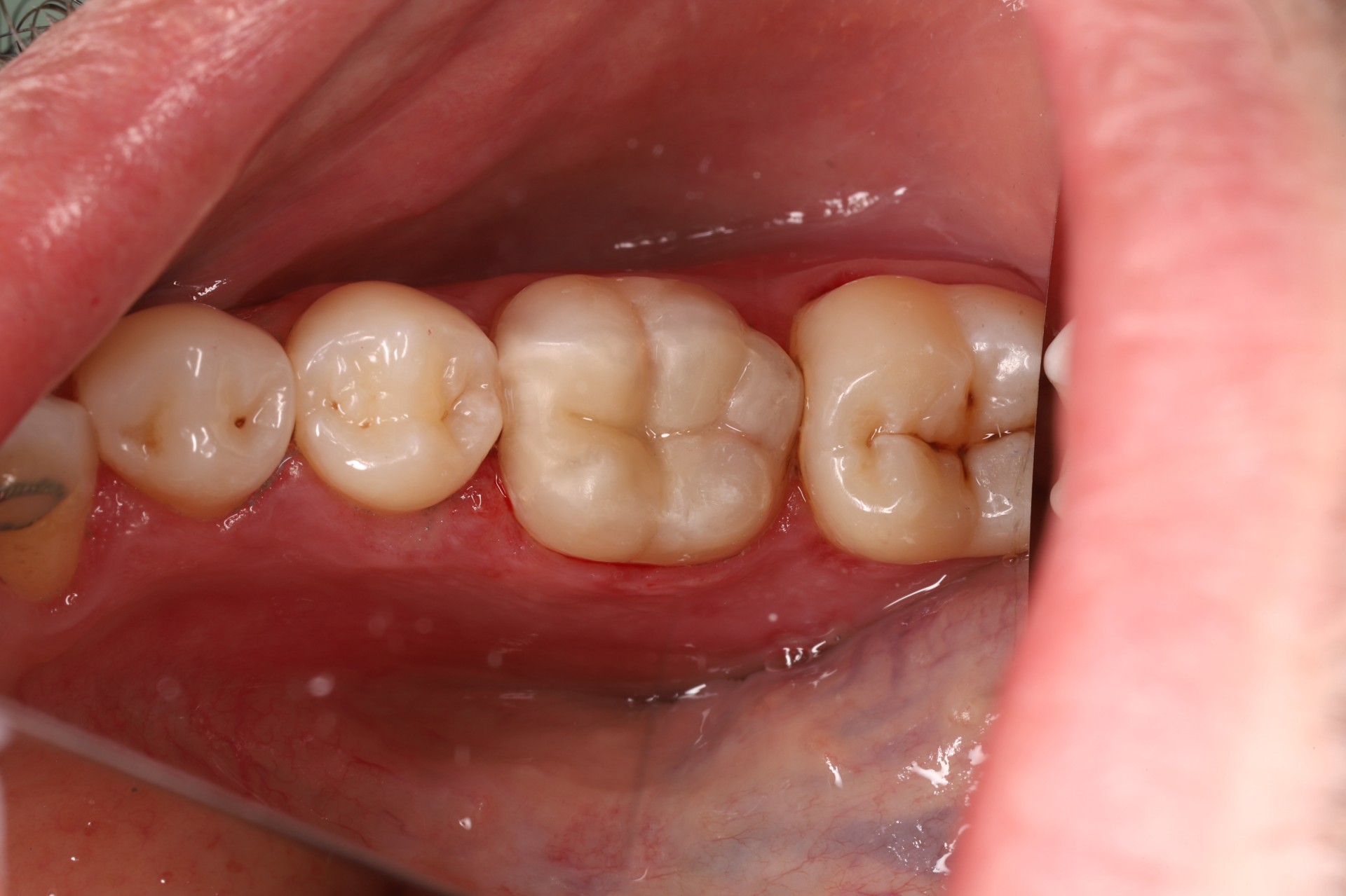
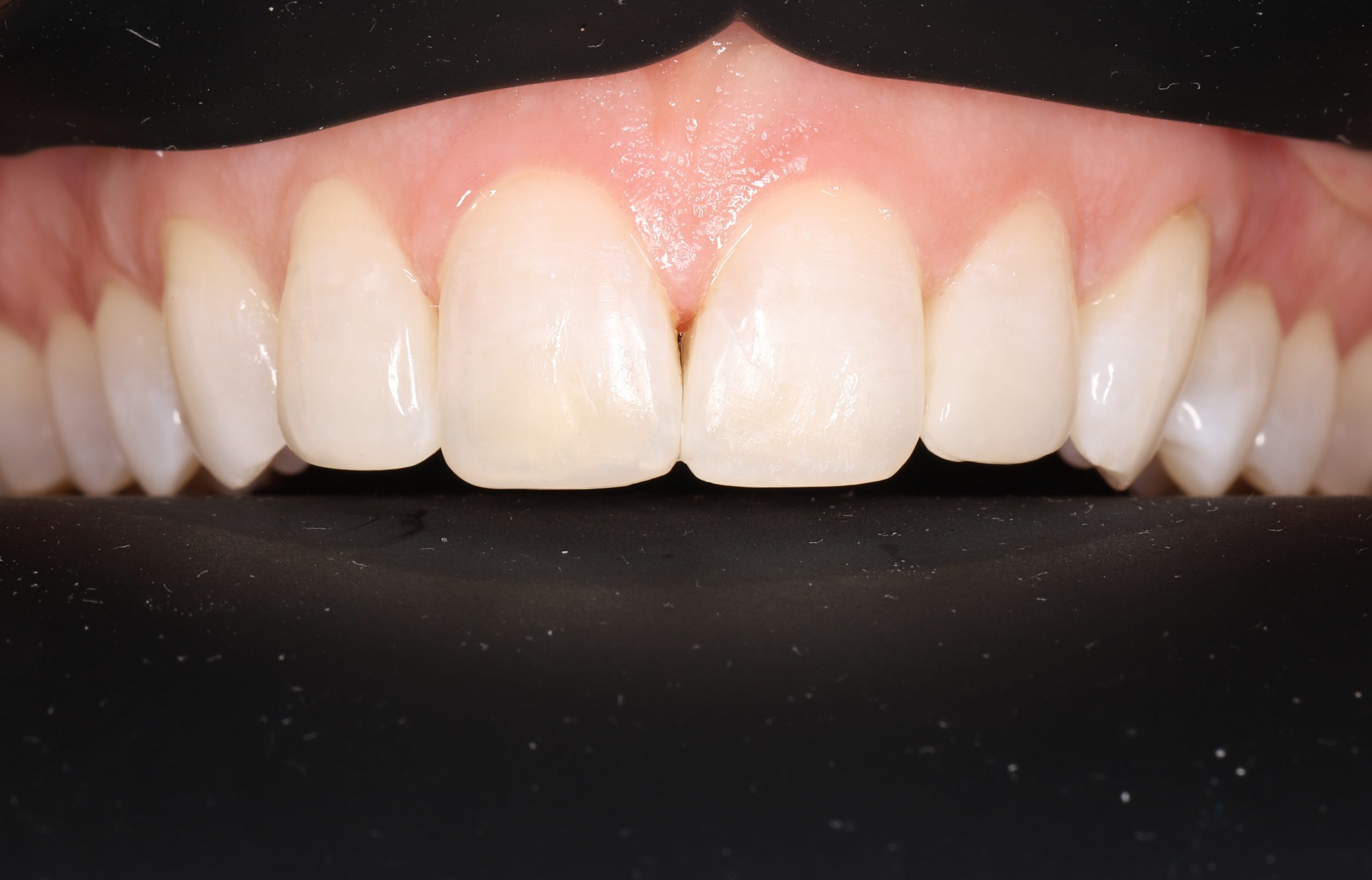
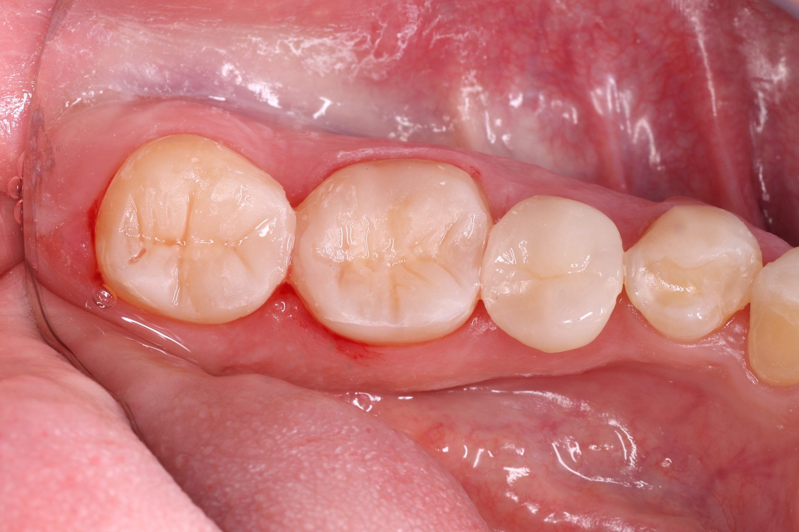
5. Final Polishing and Bite Adjustment
We contour and polish the surface to a high gloss and ensure your bite feels natural in all positions.
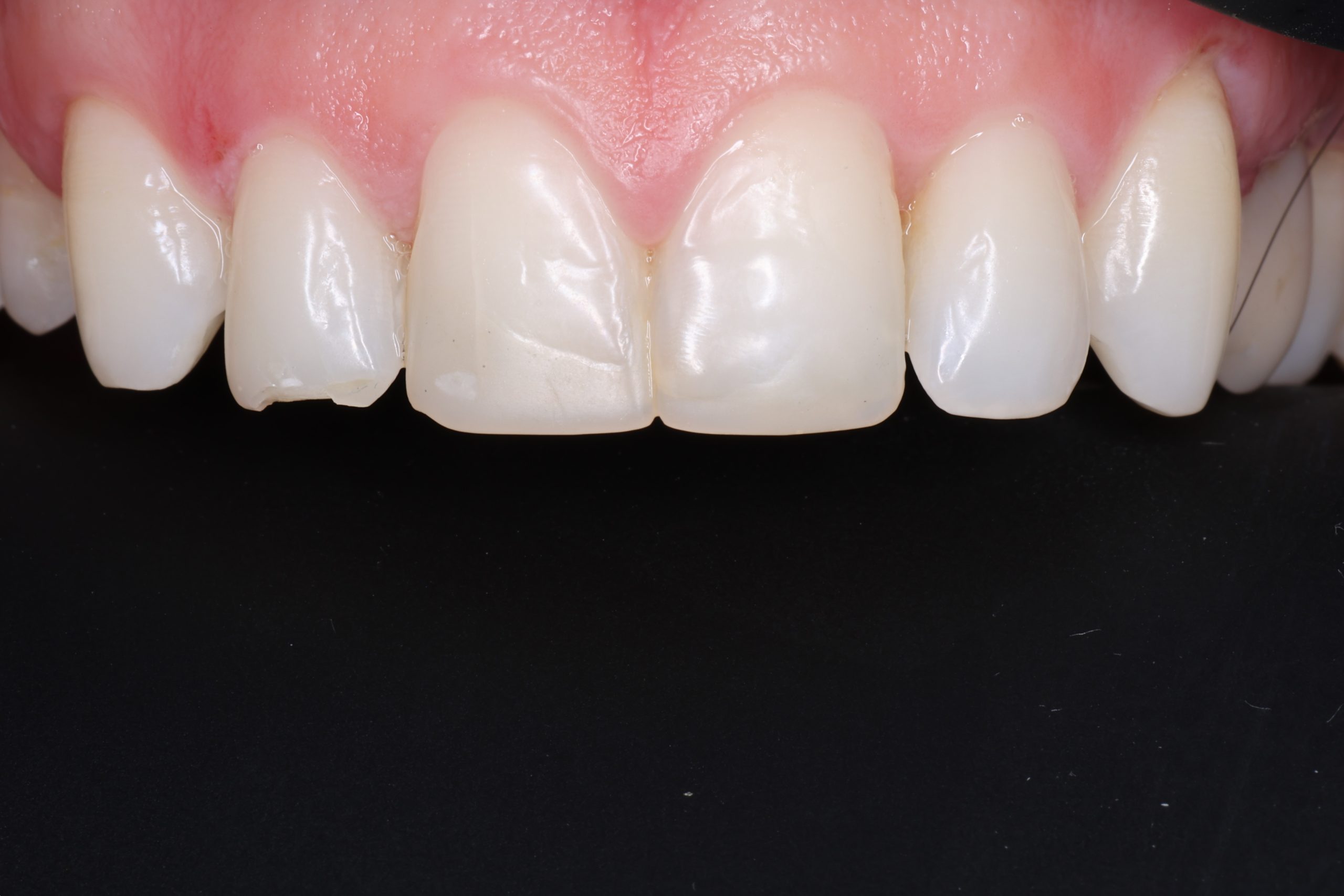
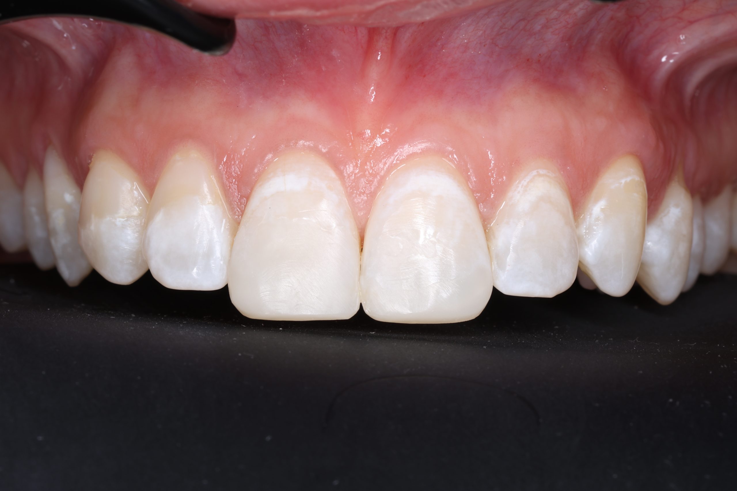
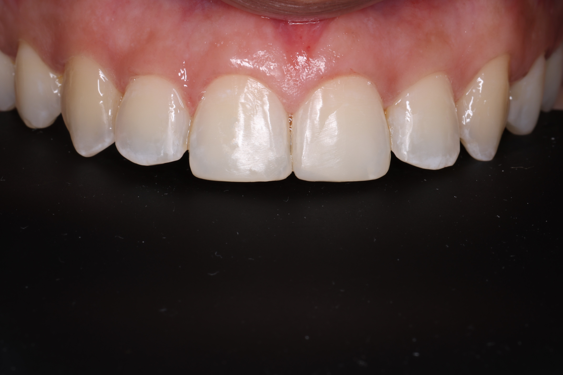
Benefits of Composite Bonding
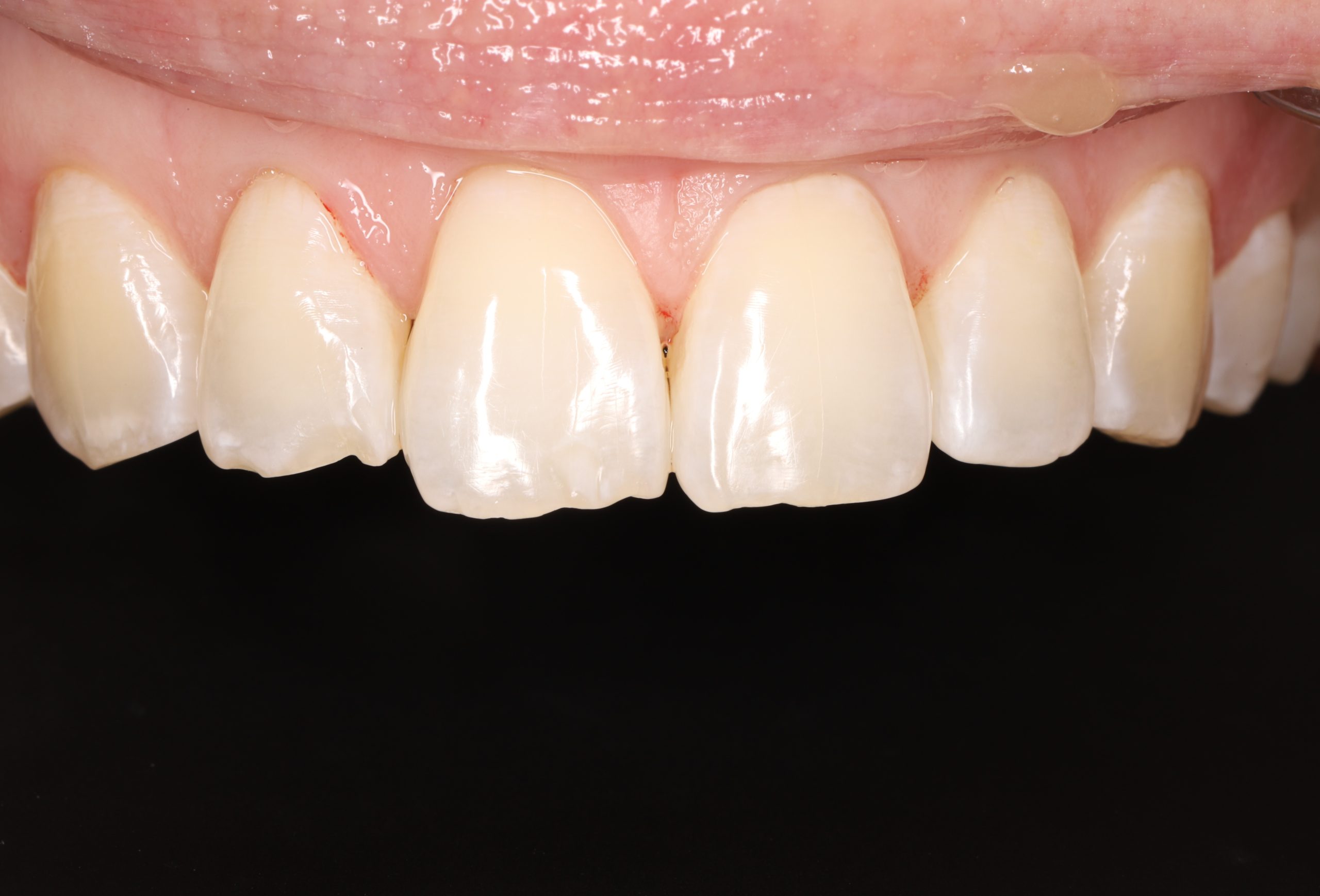
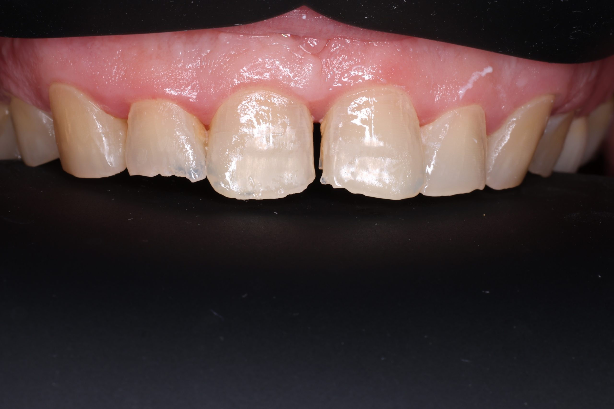
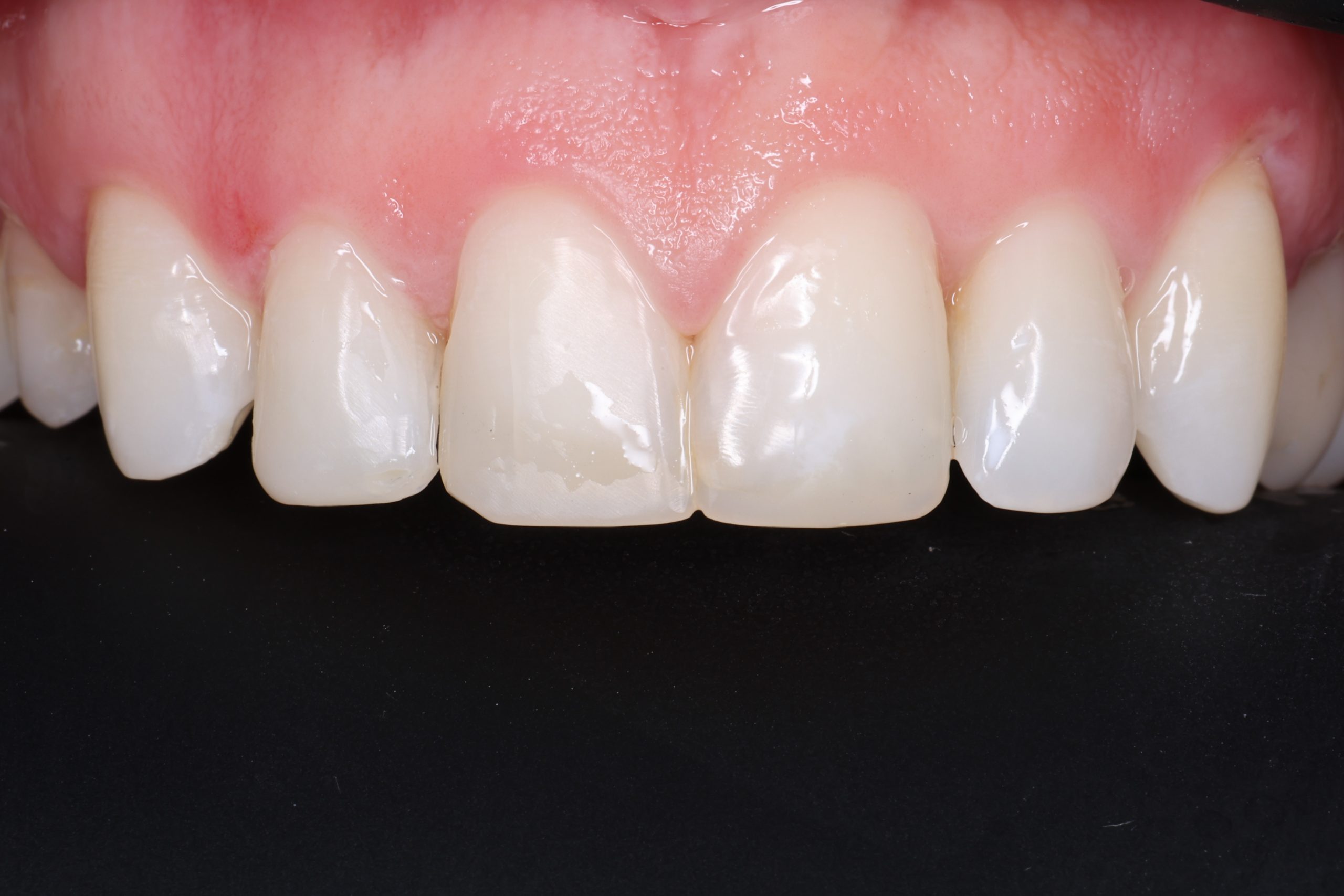
Aesthetic and Natural-Looking
The material matches your enamel, blending into the smile with virtually invisible transitions.
Minimally Invasive
Bonding preserves healthy enamel because it adheres to the tooth instead of requiring extensive reshaping.
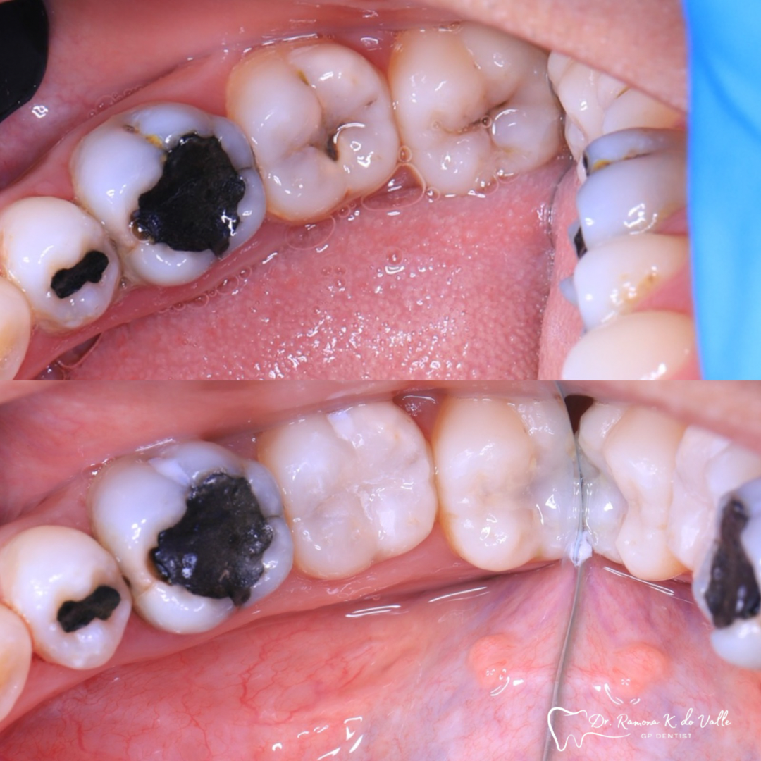
Durable for Everyday Chewing
Modern composites are engineered to withstand normal bite forces and maintain a smooth, glossy surface.
Strong Adhesion
A properly bonded restoration seals the tooth and helps prevent recurrent decay.
Completed in a Single Visit
Most treatments take one appointment, making bonding efficient for busy patients.
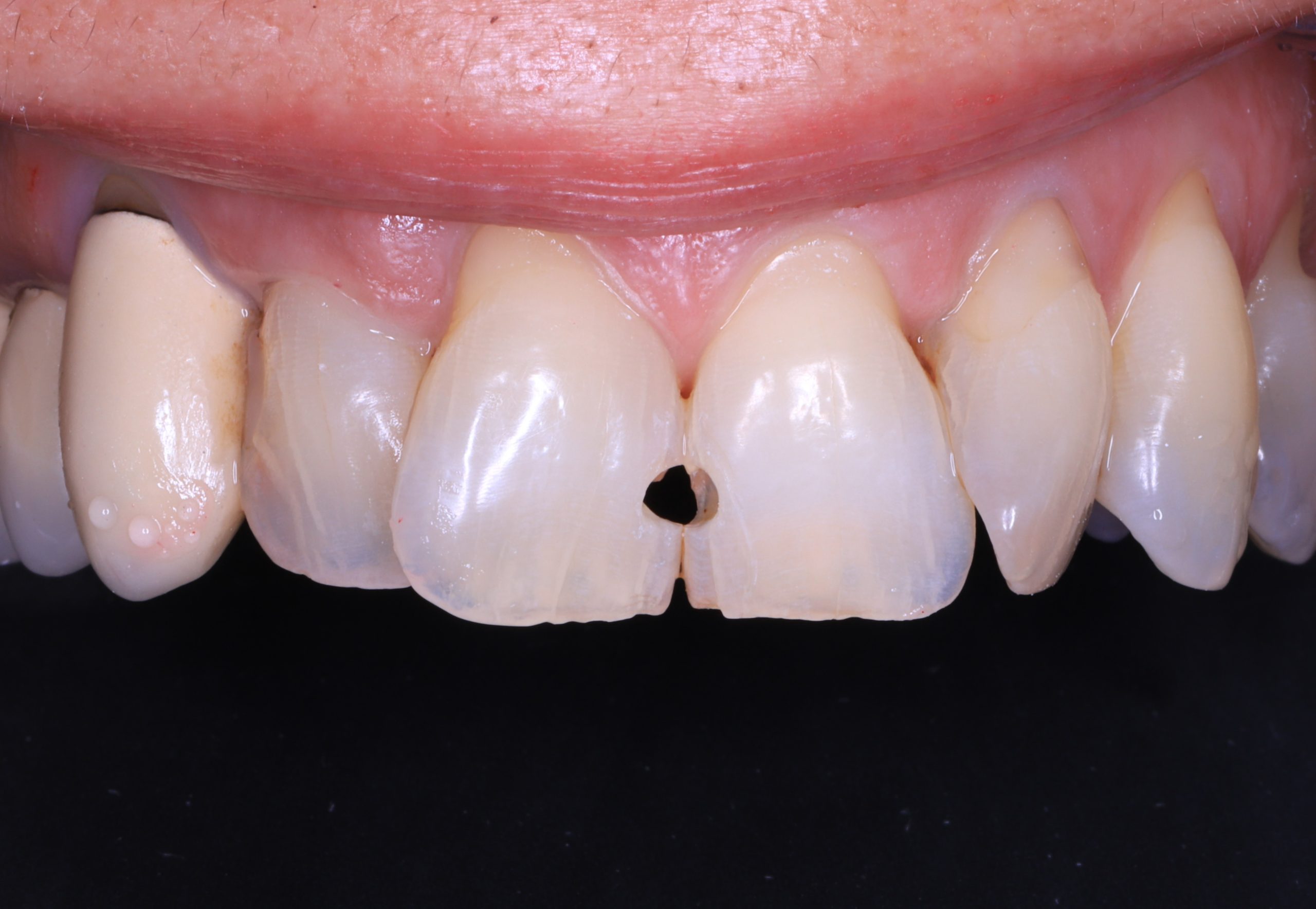
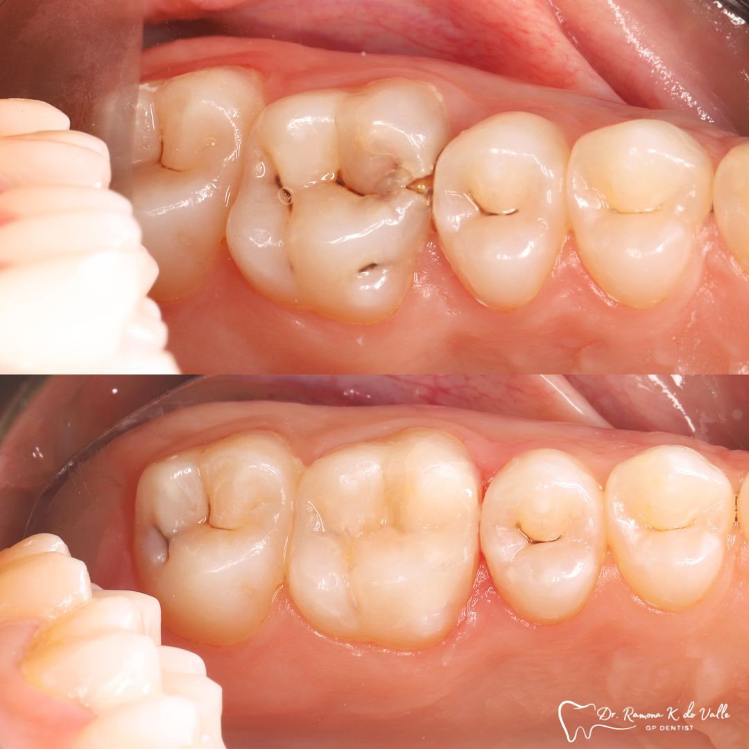
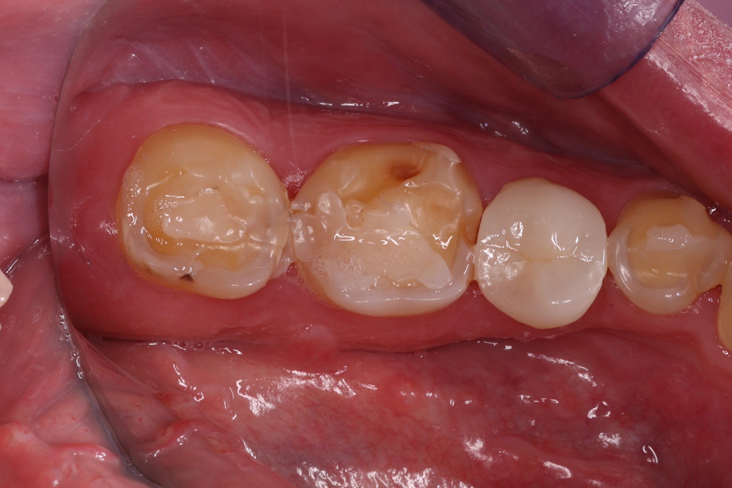
When Composite Bonding Is the Right Choice
Composite bonding is ideal for:
• repairing small to medium cavities
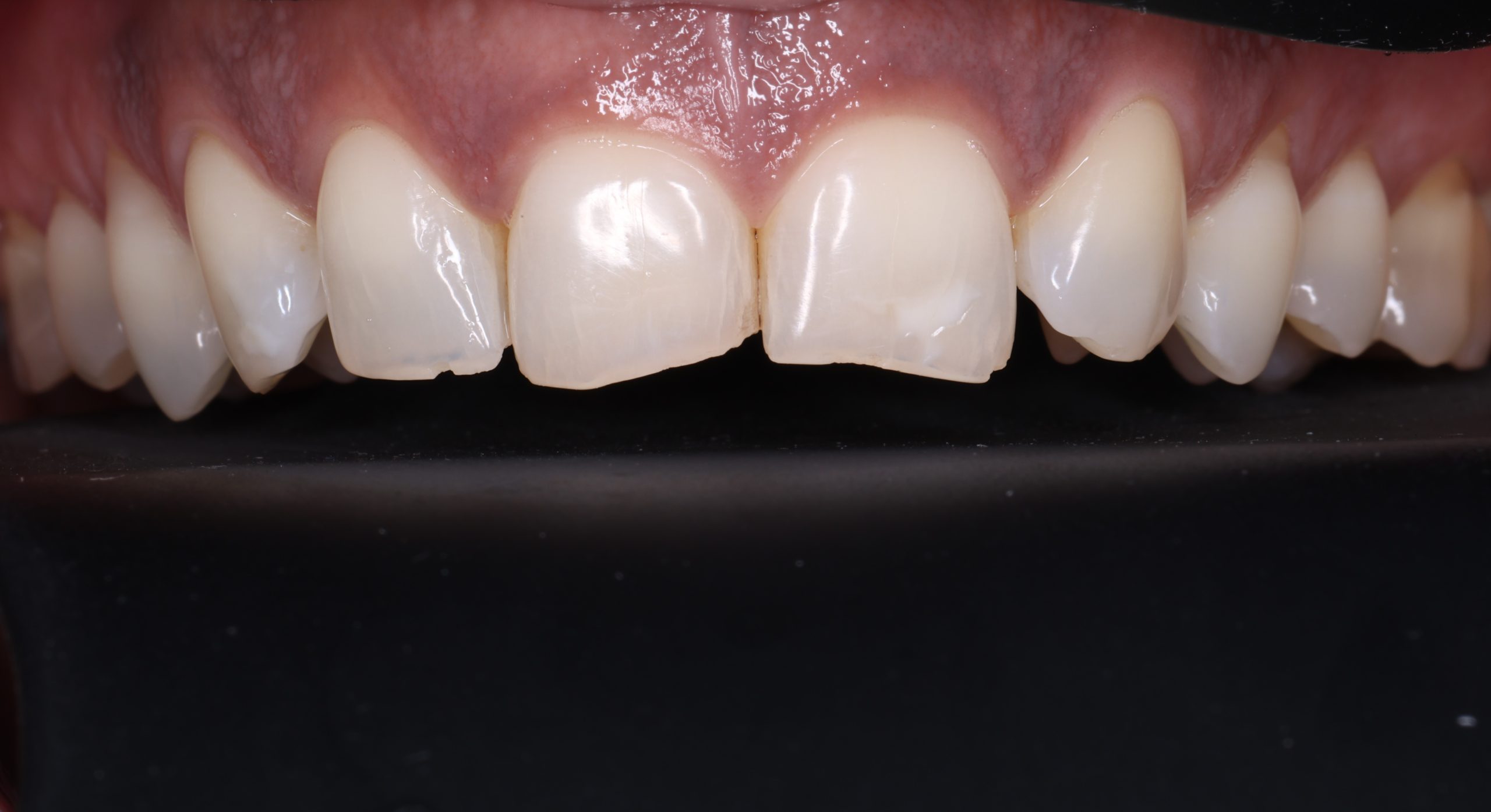
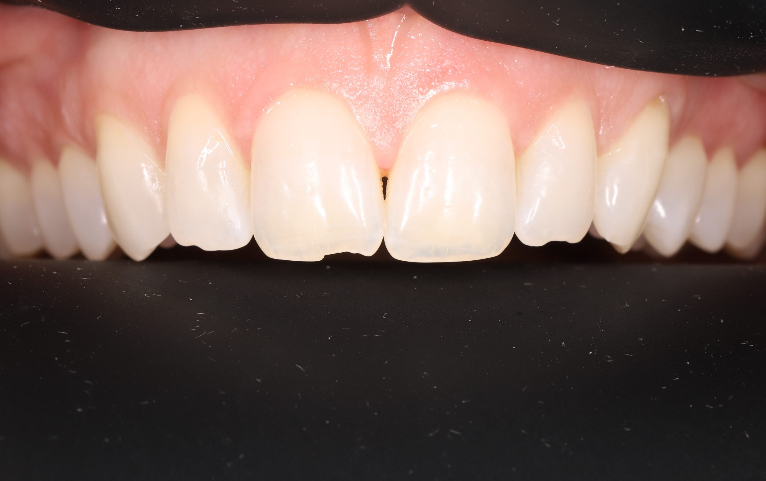
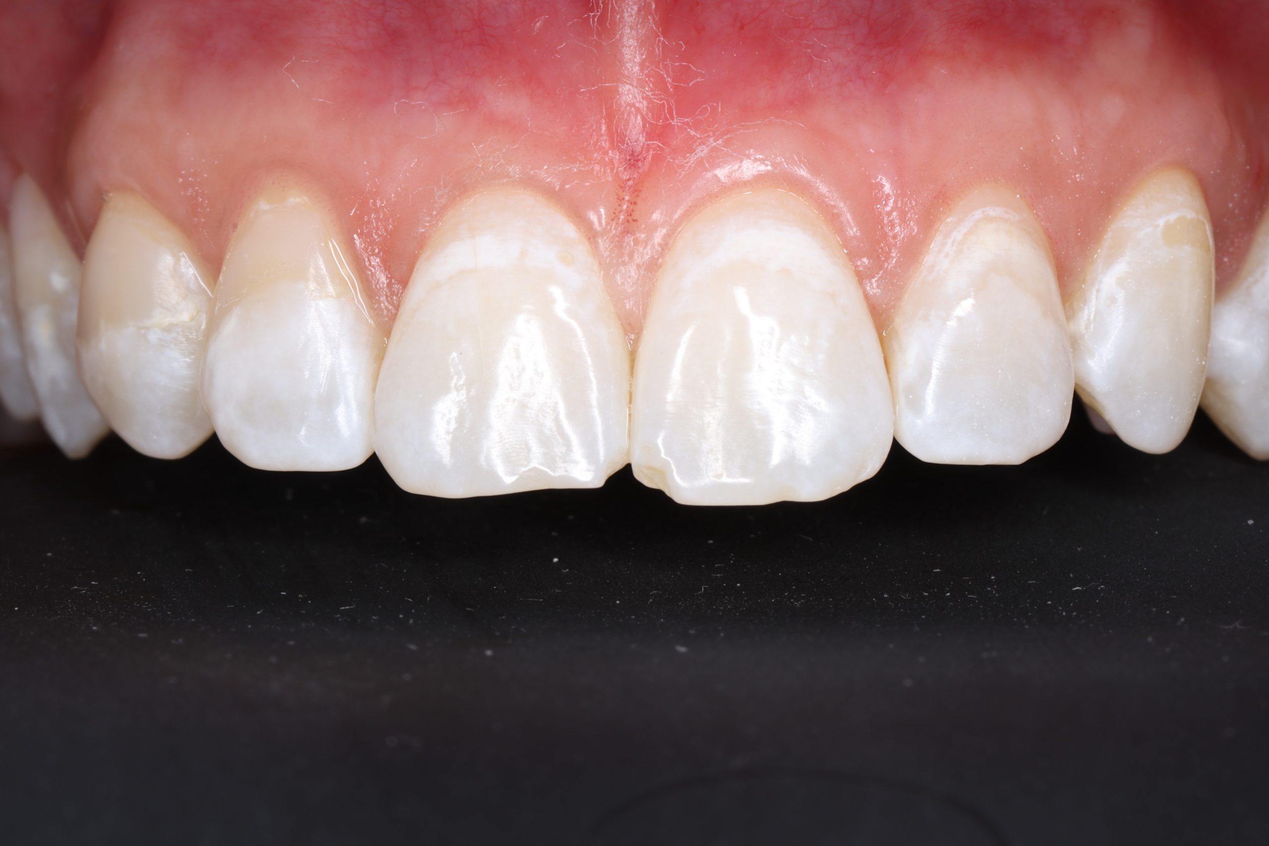
• fixing chipped or worn edges
• closing minor gaps
• correcting tooth shape asymmetry
• replacing old metal fillings with a tooth-coloured option
For extensive damage or deeper cracks, we may discuss ceramic inlays, onlays, or crowns. Your dentist will recommend the most stable option based on diagnosis, not trends.
Aftercare and Longevity
A high-quality composite restoration can last five to ten years or longer with proper care. To extend longevity:
• floss and brush carefully around the restoration
• come for hygiene visits every 3–6 months
• avoid biting hard items such as pens or ice
• use a night guard if you clench or grind
• minimise acidic drinks between meals
If sensitivity or bite discomfort persists beyond a few days, we will adjust the restoration promptly.
Your Next Step
If you are exploring composite bonding in Abu Dhabi or comparing restorative options, the best approach is a careful examination and a transparent discussion of your goals. We will explain every step, show photos, and recommend the least invasive option that protects both aesthetics and function.

























