What a Root Canal Actually Involves
A dull ache that wakes you at night, a sudden jolt when sipping hot coffee, pain on biting, or a small pimple on the gum — all of these may point to inflammation or infection inside a tooth. Modern root canal therapy aims for something simple and vital: remove the infection, preserve the tooth, and bring you relief.
Inside every tooth lies a narrow chamber that contains nerves and blood vessels — the dental pulp. When deep decay, a leaking filling, or trauma allows bacteria to reach this inner space, the pulp becomes inflamed and then infected. The result is pressure, sensitivity, and often an unmistakable throbbing pain.
The goal of treatment is to:
- Remove infected or damaged pulp tissue from all canals inside the roots
- Clean and disinfect the entire canal system
- Seal it with safe, biocompatible materials so bacteria cannot return
- Restore the tooth’s structure to prevent fracture or reinfection
Some people wonder whether a filling would be enough. Unfortunately, once infection reaches the nerve space, a filling alone cannot stop it. A root canal is the reliable, tooth-saving way to remove the cause and preserve your natural tooth.
Why Saving the Tooth Matters
Your natural tooth is part of a living system. It transfers chewing forces correctly, supports surrounding bone and gums, and keeps neighbouring teeth aligned. Losing it may lead to a chain of further treatments — implants, bridges, or shifting teeth that change your bite. Preserving what nature gave you is almost always the wiser, more conservative choice.
Signs You Might Need Root Canal Therapy
- Persistent sensitivity to hot or cold
- Pain when chewing or releasing the bite
- Throbbing pain at night
- A small bump on the gum near the tooth
- Darkening after trauma
- Recurrence of pain in a tooth that was previously treated
Choosing the Right Clinic — What to Look For
When comparing clinics for endodontic care in Abu Dhabi, focus on practical indicators of quality. Here’s what truly matters — and how we meet those standards at TRUE SMILE:
- Daily endodontic practice
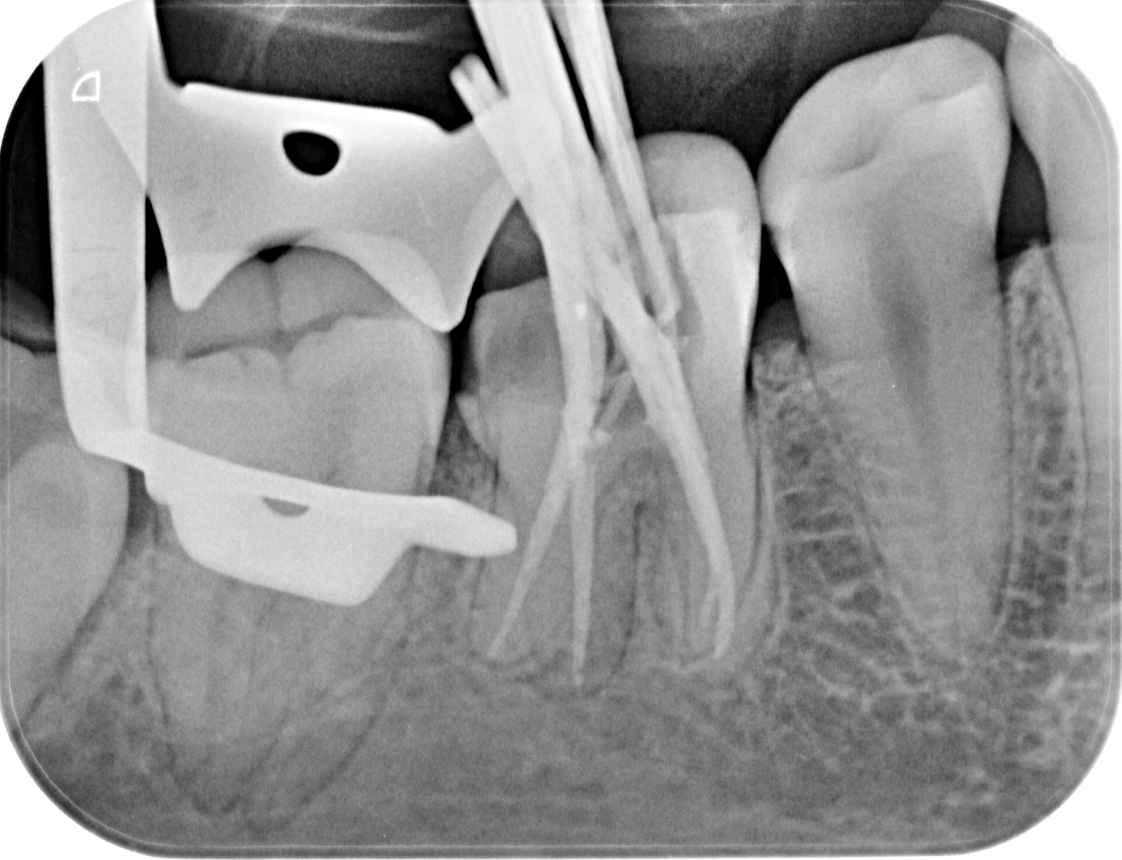
Our dentists perform root canal therapy every day. Complex anatomy and retreatments are routine. Each difficult case is planned by our senior clinician to ensure the right strategy from the start. - Microscope precision and isolation
Every procedure is performed under magnification with a rubber dam in place. Electronic length measurement (apex locator) ensures accuracy to the tip of the root. - Thorough cleaning and reliable sealing
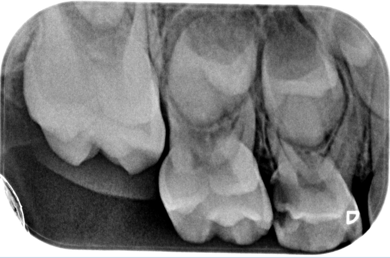
We use rotary nickel-titanium instruments, activated irrigation for deep disinfection, and modern bioceramic sealers for a dense, long-lasting seal. - Targeted diagnostics
Focused X-rays and 3D scans are taken only when they change the treatment plan. We avoid unnecessary imaging. - Integrated restoration and protection
After canal therapy, our restorative team completes the final restoration — whether composite, onlay, or crown — to prevent cracks and recurrence. - Transparent fees
We provide a written, itemised estimate before treatment. There are no hidden costs, and same-day pain visits are available when possible. - Comfort and follow-up
Gentle anaesthesia, calm communication, and evening or weekend appointments make treatment manageable. Our team checks in afterwards to ensure you’re healing well. - Advanced capability
If infection persists, we collaborate with oral surgeons for microsurgical treatment (apicoectomy) or with orthodontists if bite overload contributed to the problem. - Visible safety standards
Single-use instruments, strict sterilisation, and transparent hygiene protocols — we maintain the same standards we trust for our own families.
How the Treatment Unfolds
- Clinical assessment and plan
We examine the tooth, test its response, and take focused images. When roots are complex or a previous treatment failed, a small 3D scan may be needed for mapping before we discuss and agree on the plan. - Anaesthesia and comfort
Once numb, most patients feel only light vibration and pressure. Even severe toothache typically eases immediately after anaesthesia takes effect. - Microscope-guided access
Under bright magnified light, a tiny opening is created and every canal located — even the hidden ones that often cause failures elsewhere. - Cleaning and shaping
The canals are shaped with flexible rotary files to create an ideal form for irrigation while preserving tooth strength. - Disinfection
We use activated solutions to eliminate bacteria and flush out microscopic debris, ensuring the system is clean throughout. - Sealing
The canals are filled with a stable, biocompatible material and sealed against future infection. - Immediate protection
The opening is closed with a bonded filling. Depending on location and strength, the tooth may later receive an onlay or crown for long-term protection.
Single- or two-visit treatment:
Many teeth are completed in one session. More complex or re-infected cases may need two appointments for additional disinfection — the goal in both is the same: a calm, clean, well-sealed tooth.
When microsurgery helps:
If a small lesion remains at the root tip despite proper therapy, an apicoectomy (root-end surgery) can remove the affected area and seal the canal end directly.
Insurance and Financing
Dental insurance in Abu Dhabi often covers part of endodontic treatment, but details differ between policies. Our team assists with:
- Checking eligibility and expected co-payment before treatment
- Preparing documentation for pre-approval
- Clarifying coverage for root canal therapy versus the final restoration
For patients without insurance, we can discuss staged treatment or instalments so the cost remains manageable. In many cases, saving the tooth is more economical — and biologically sound — than extraction and replacement.
Patient Experiences
Maha, 32
“I endured sleepless nights from toothache. During treatment, I felt nothing beyond vibration. The gum healed, and I could finally sleep again.”
Kareem, 44
“I compared several clinics for root canal prices in Abu Dhabi. TRUE SMILE showed microscope photos and a clear written plan including the crown. The honesty made the choice easy.”
Svetlana, 57
“My old root canal failed years later. Here they found an extra canal no one else mentioned. The tooth has been perfect since.”
Tips to Keep Costs Down
- Treat decay early before it reaches the nerve
- Choose microscope-based care to avoid missed canals and retreatment
- Complete in one visit when clinically possible
- Bring previous X-rays to reduce repeat imaging
- Plan the final restoration in advance
- Use your insurance benefits efficiently
- Always ask for a written estimate for easy comparison
Life After a Root Canal
Once sensitivity subsides, you can eat normally. Because these teeth are often weakened by old fillings or decay, a strong final restoration — onlay or crown — is essential. Good hygiene, regular check-ups, and if needed, a night guard for grinding will help protect your result for years to come.

























