Invisalign Clear Aligners: The Clear Path to a Perfect Smile
Invisalign clear aligners have revolutionized orthodontic treatment, offering patients an effective and discreet alternative to traditional braces. If you’re considering straightening your teeth without the hassle and appearance of metal braces, Invisalign is a perfect solution.
What Are Invisalign Clear Aligners?
Invisalign aligners are custom-made transparent trays designed to gradually shift teeth into their ideal positions. Using advanced 3D imaging technology, these aligners are tailored specifically to fit each individual’s dental structure. Patients wear each set for about two weeks, progressively moving teeth until the desired alignment is achieved.
Advantages of Invisalign
One of the greatest benefits of Invisalign is its nearly invisible appearance, making it ideal for adults and teenagers who prefer discreet orthodontic treatment. Unlike traditional braces, Invisalign aligners are removable, allowing patients to maintain excellent oral hygiene by easily brushing and flossing.
Additionally, Invisalign aligners are generally more comfortable than traditional braces since there are no metal brackets or wires that can irritate the mouth. The aligners are made of smooth, medical-grade thermoplastic, ensuring comfort throughout the treatment process.
Who Is Invisalign Suitable For?
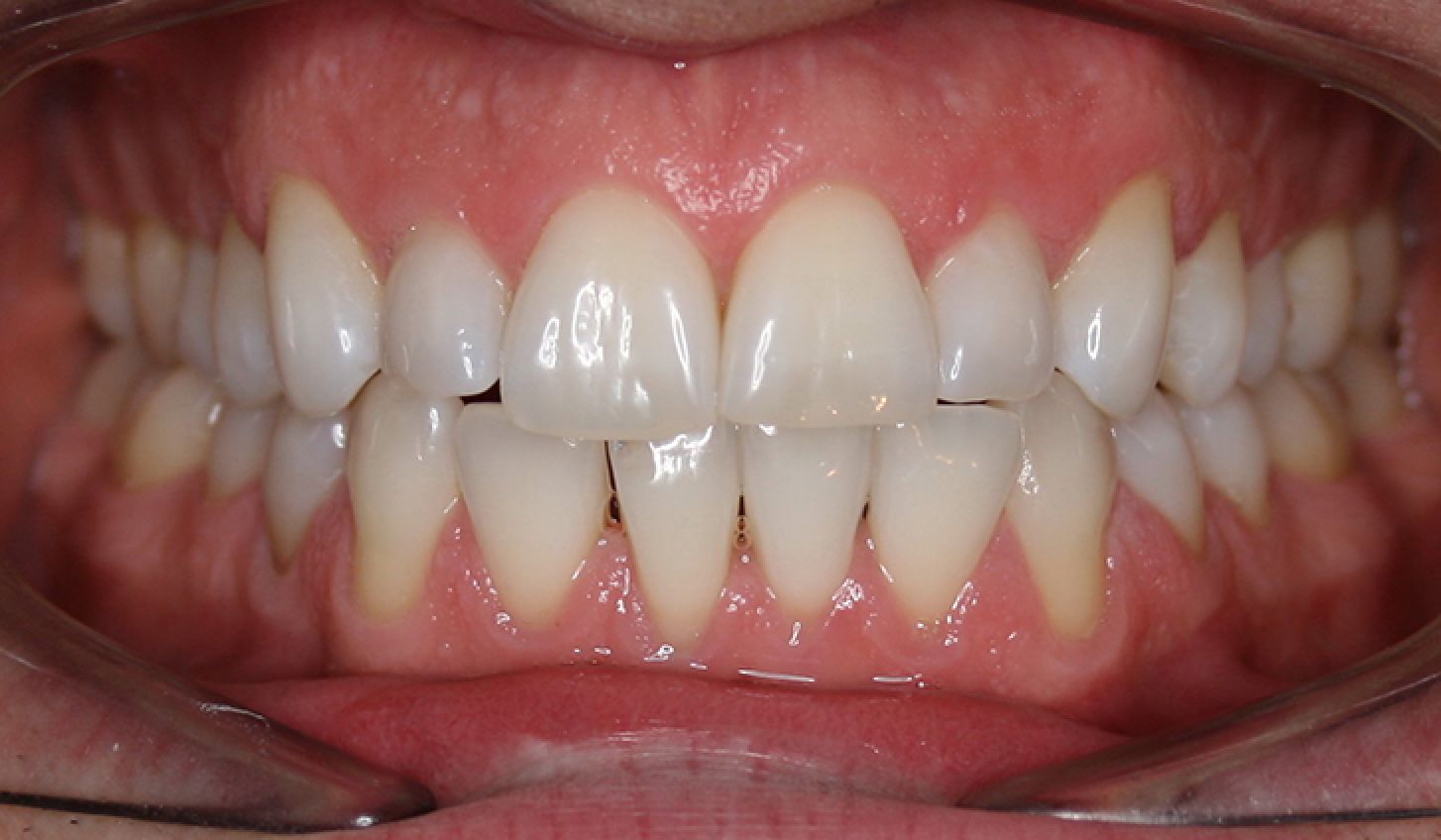
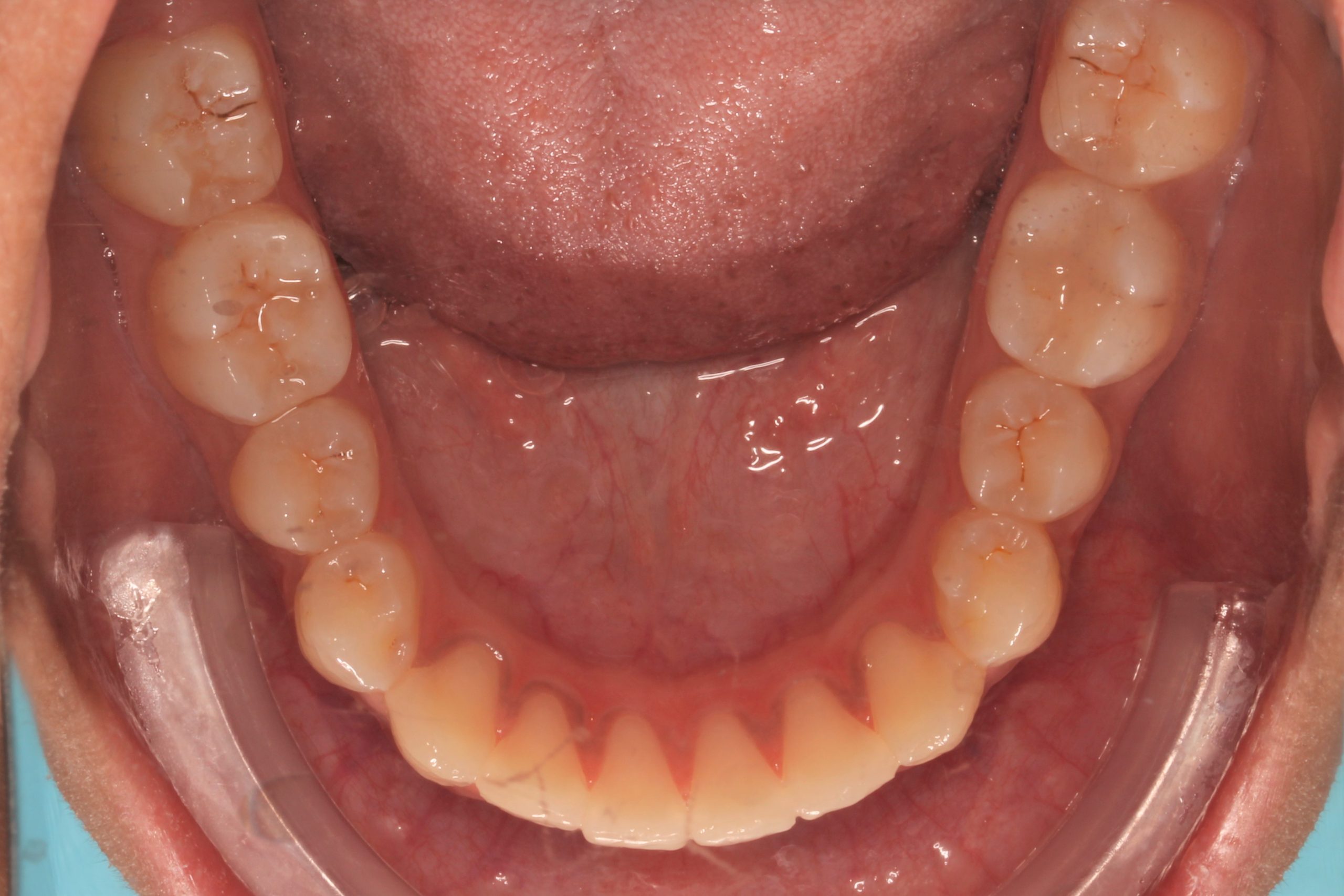
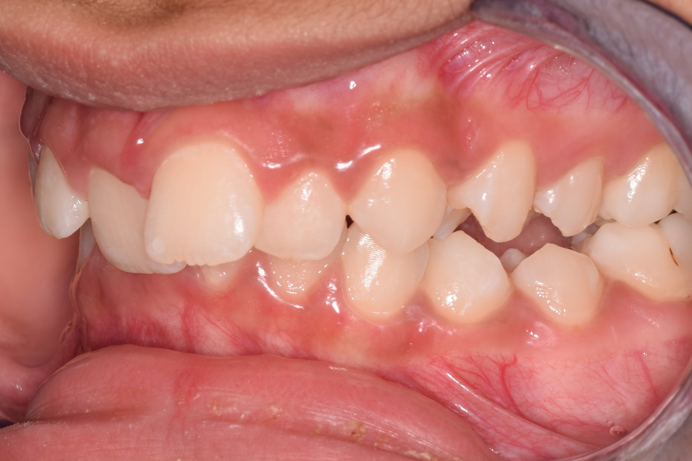
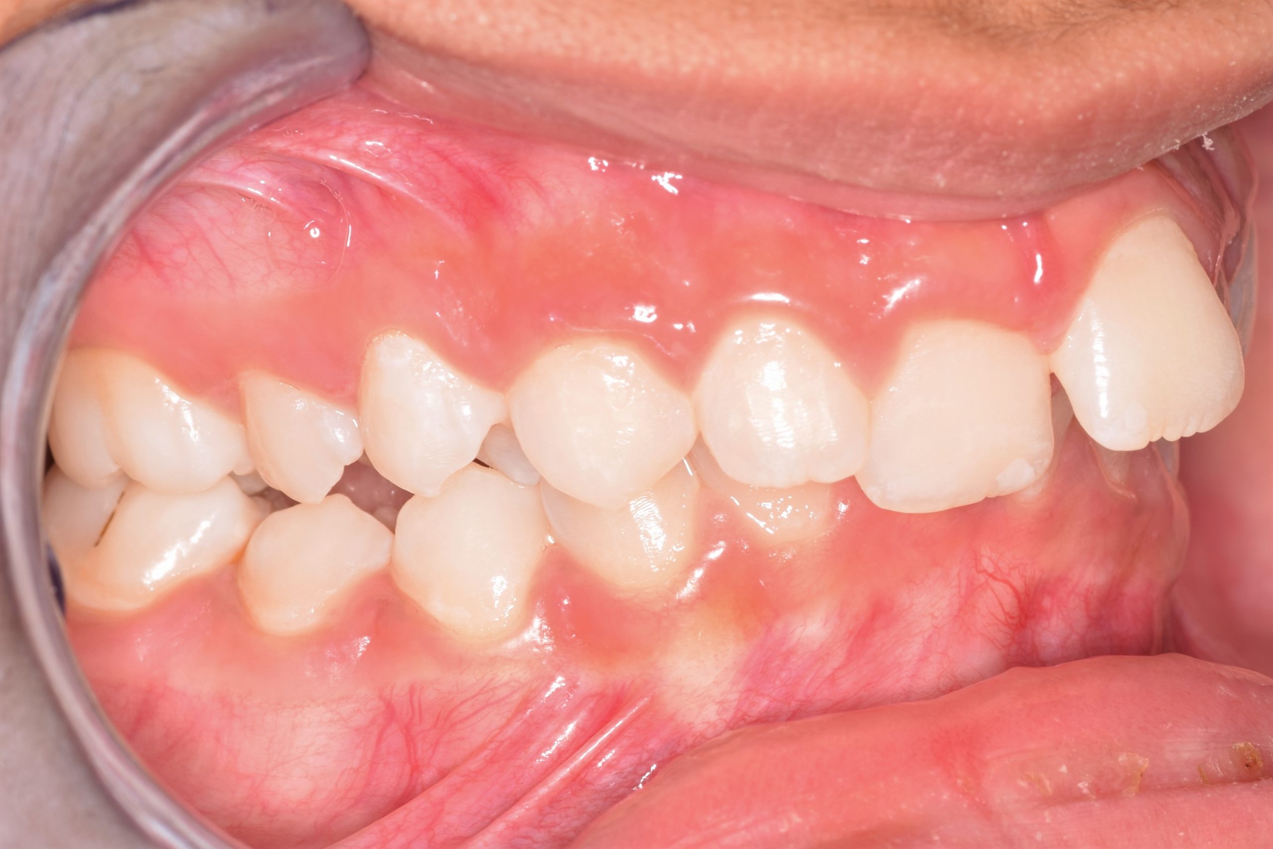
Invisalign effectively treats a variety of orthodontic issues, including crowding, gaps, overbite, underbite, and crossbite. Both teens and adults can benefit from Invisalign treatment, making it a versatile choice for many patients.
The Invisalign Treatment Process
The process begins with a comprehensive consultation where a digital scan of your teeth is created. A customized treatment plan is then developed, outlining the predicted movement of your teeth and estimated treatment duration. Typically, Invisalign treatment lasts between 6 to 18 months, depending on individual needs.
Patients are required to wear aligners 20-22 hours daily, removing them only for eating, drinking, brushing, and flossing. Regular dental check-ups are scheduled to monitor progress and ensure the treatment stays on track.
Cost of Invisalign Treatment
The cost of Invisalign varies based on the complexity of the treatment and geographic location. Generally, it aligns closely with traditional braces. Many dental practices offer flexible payment plans and financing options, making Invisalign accessible and affordable for most budgets.
Conclusion
Invisalign clear aligners are a comfortable, discreet, and effective orthodontic treatment option that delivers impressive results. If you’re looking to improve your smile without the visibility of traditional braces, Invisalign may be your ideal solution.





























