Our hygienists follow the Swiss GBT protocol (Guided Biofilm Therapy) – a gentle, highly effective method specifically adapted for children in Abu Dhabi. We carefully clean your child’s teeth, remove plaque, strengthen enamel, and teach proper brushing techniques.
We also help parents choose the right toothbrushes, toothpaste, and additional dental care products suited to their child.
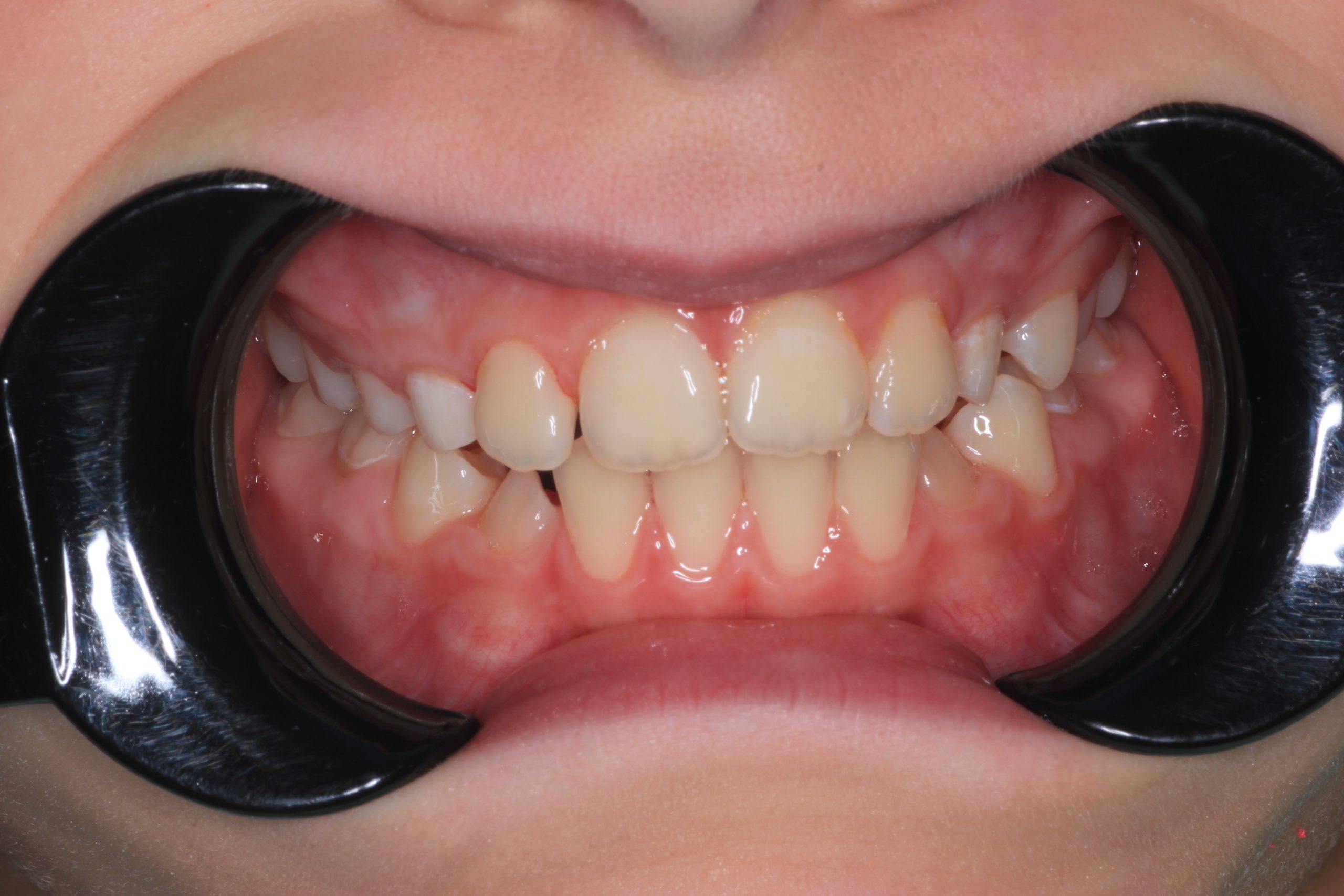
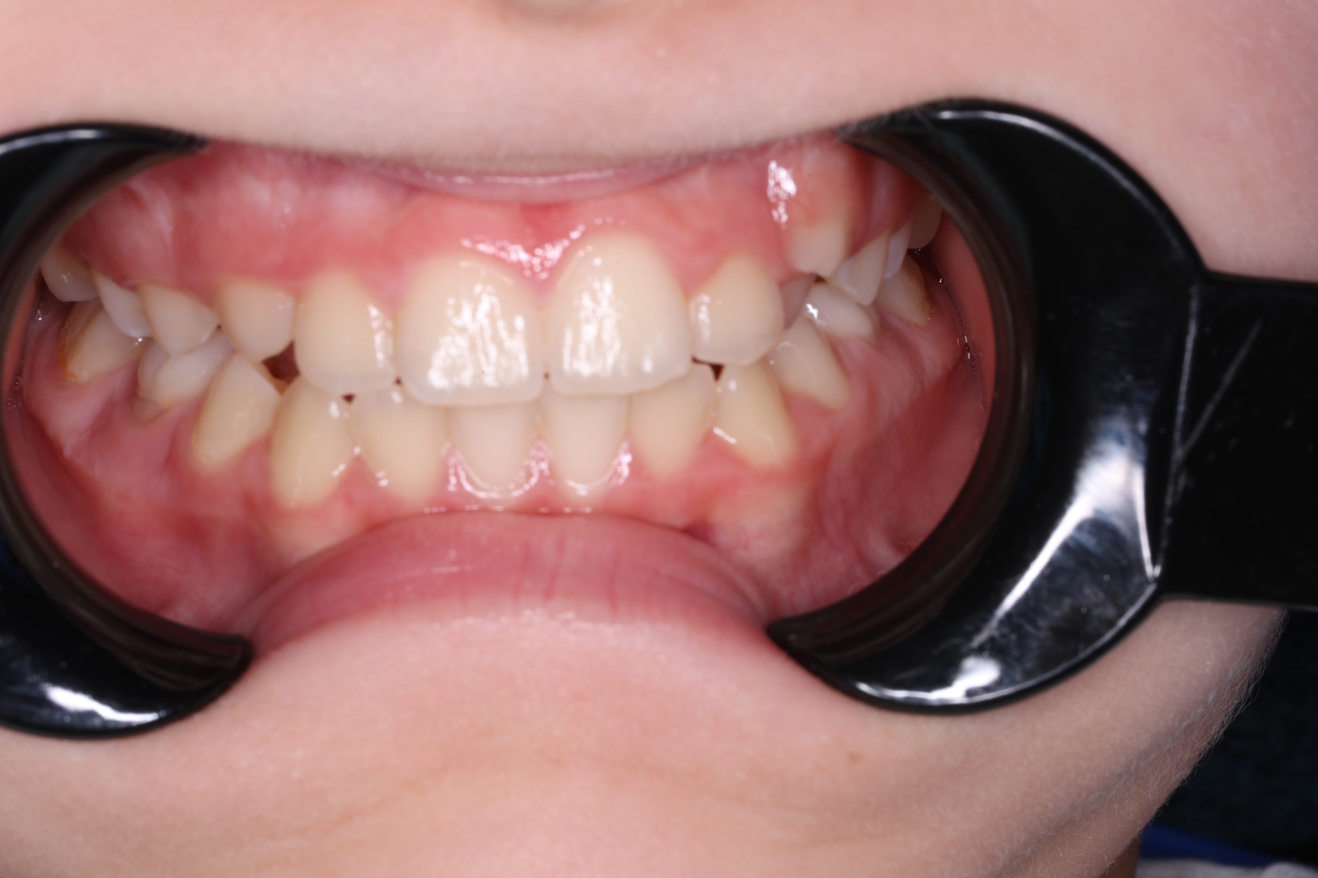
Why Is Professional Hygiene So Important for Children in Abu Dhabi?
Parents can’t always control how well their kids brush, nor do they easily notice early signs of plaque, improper technique, or the first stages of cavities. Besides, the hot and dry climate reduces saliva production, especially in children, creating favorable conditions for bacterial growth.
That’s why professional hygiene for kids in Abu Dhabi becomes crucial:
- It removes soft and hard plaque
- Prevents the development of cavities and gum disease
- Helps maintain the health of both baby and permanent teeth
- Teaches children essential habits for life
- Keeps breath fresh
- Supports early diagnosis of dental issues
From What Age Is Professional Hygiene Recommended for Kids?
As early as the child allows it. Home care should begin even before the first tooth erupts, and professional hygiene can start as soon as the first baby teeth appear.
- For toddlers under 4, we provide gentle hygiene using soft rubber polishing brushes and a special tasty professional paste designed for children.
- From around age 4–5, when the child is ready, we can perform a full AirFlow cleaning using the GBT protocol.
If the child is cooperative, we perform full professional hygiene. If not, we begin with adaptive cleaning – a gentle way to introduce them to dental care and build trust.
What Is Adaptive Teeth Cleaning and Why Is It Important for Little Kids?
Adaptive cleaning is a method that helps your child get used to dental procedures gradually, following the “from simple to complex” principle.
At True Smile Dental Center Abu Dhabi, adaptive cleanings are fun and educational. Your child:
- Meets the doctor in a friendly setting
- Gets familiar with the sounds and sensations of dental tools
- Plays and cleans the teeth of our toy animals – dogs, monkeys, even whales!
- Gets to feel how the brush “buzzes” and try the taste of toothpaste
- And you, as a parent, learn how to care for your child’s teeth at home
GBT Protocol for Kids’ Teeth Cleaning in Abu Dhabi – Step by Step
GBT (Guided Biofilm Therapy) is a modern, safe protocol for professional dental cleaning developed in Switzerland. For children, we use it to gently remove plaque, prevent cavities, and teach proper brushing — with plaque-disclosing dye and AirFlow technology starting from age 4–5.
- Detailed Examination
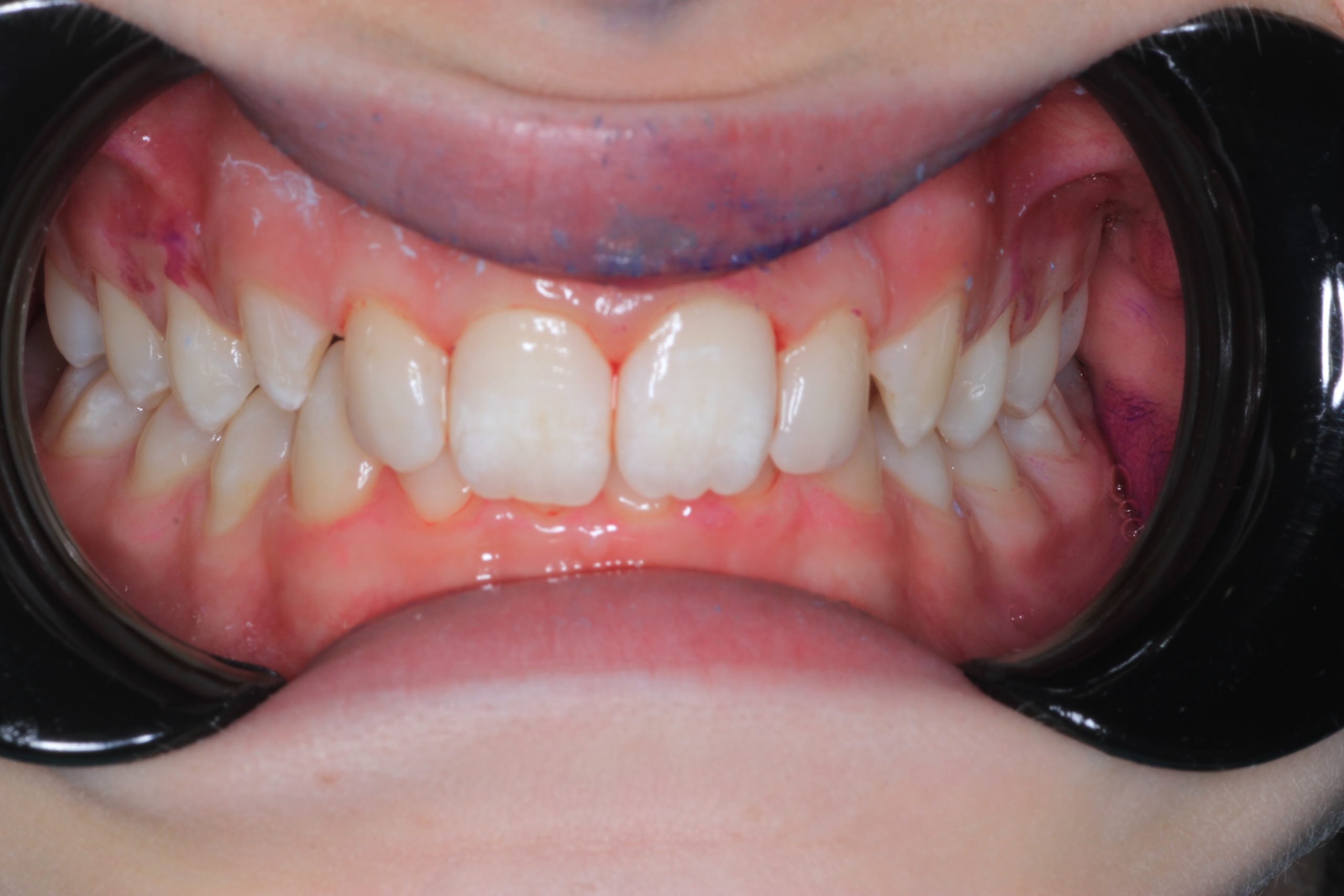
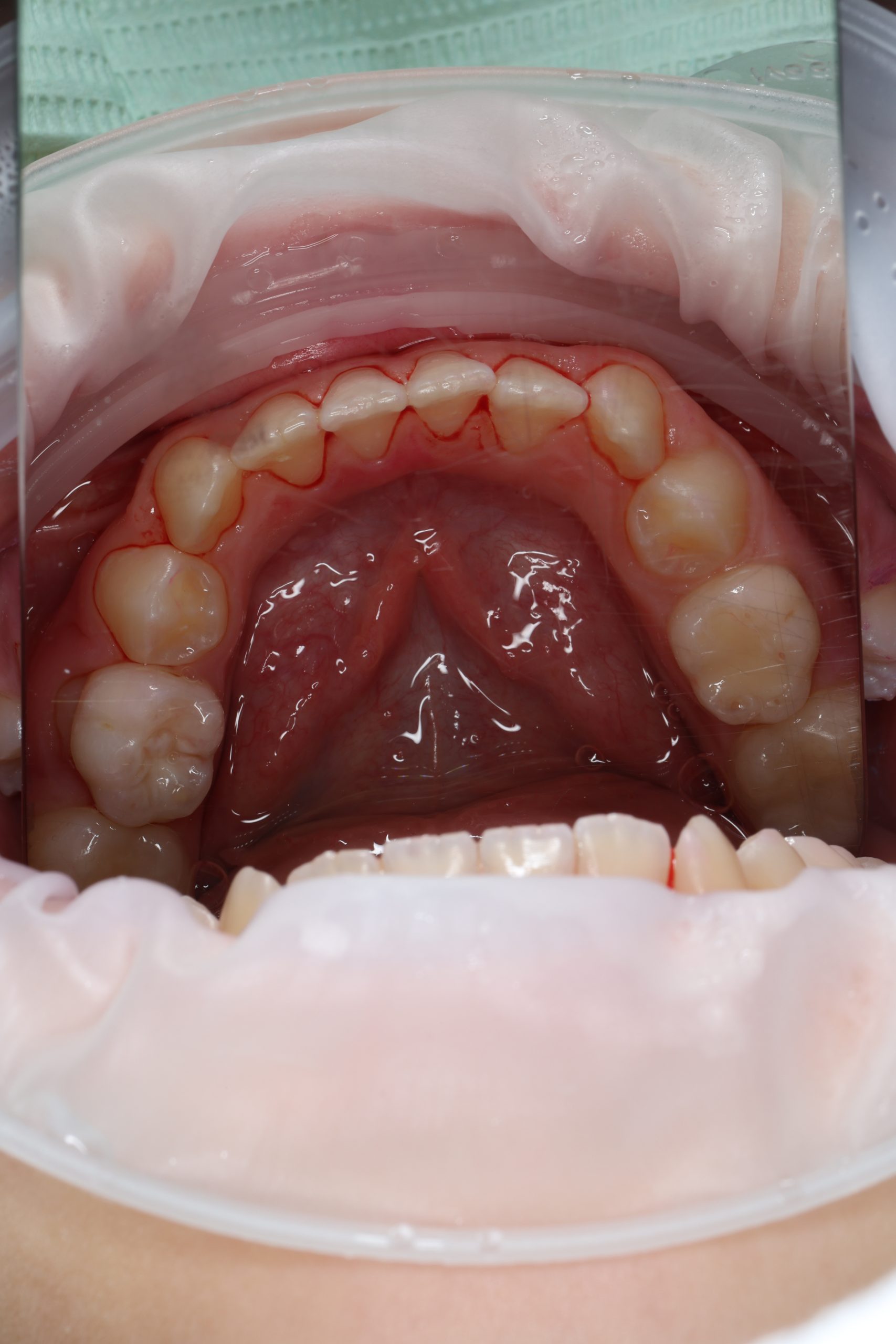
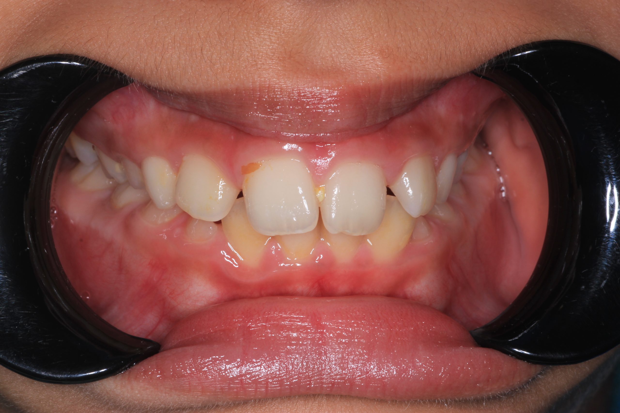
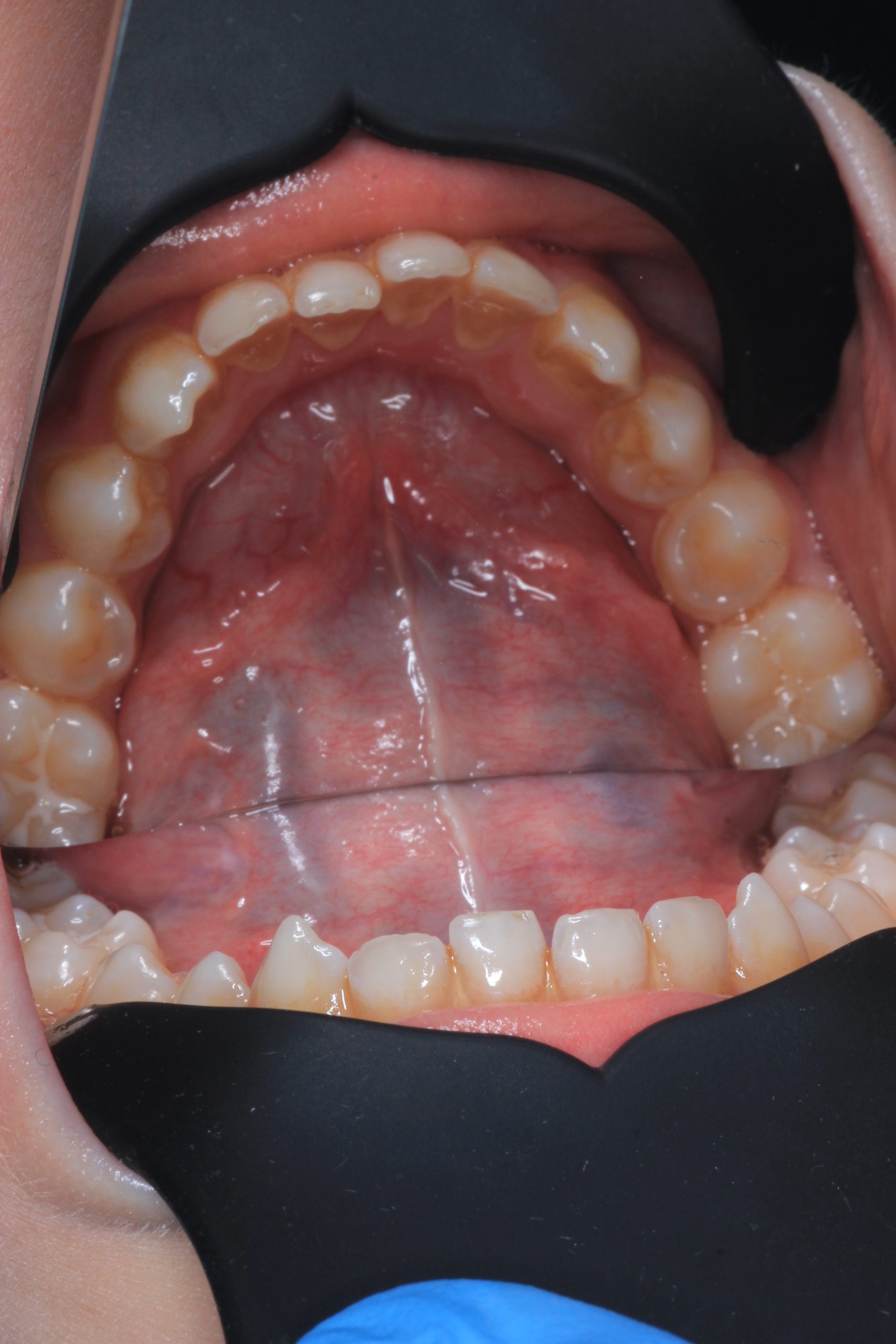
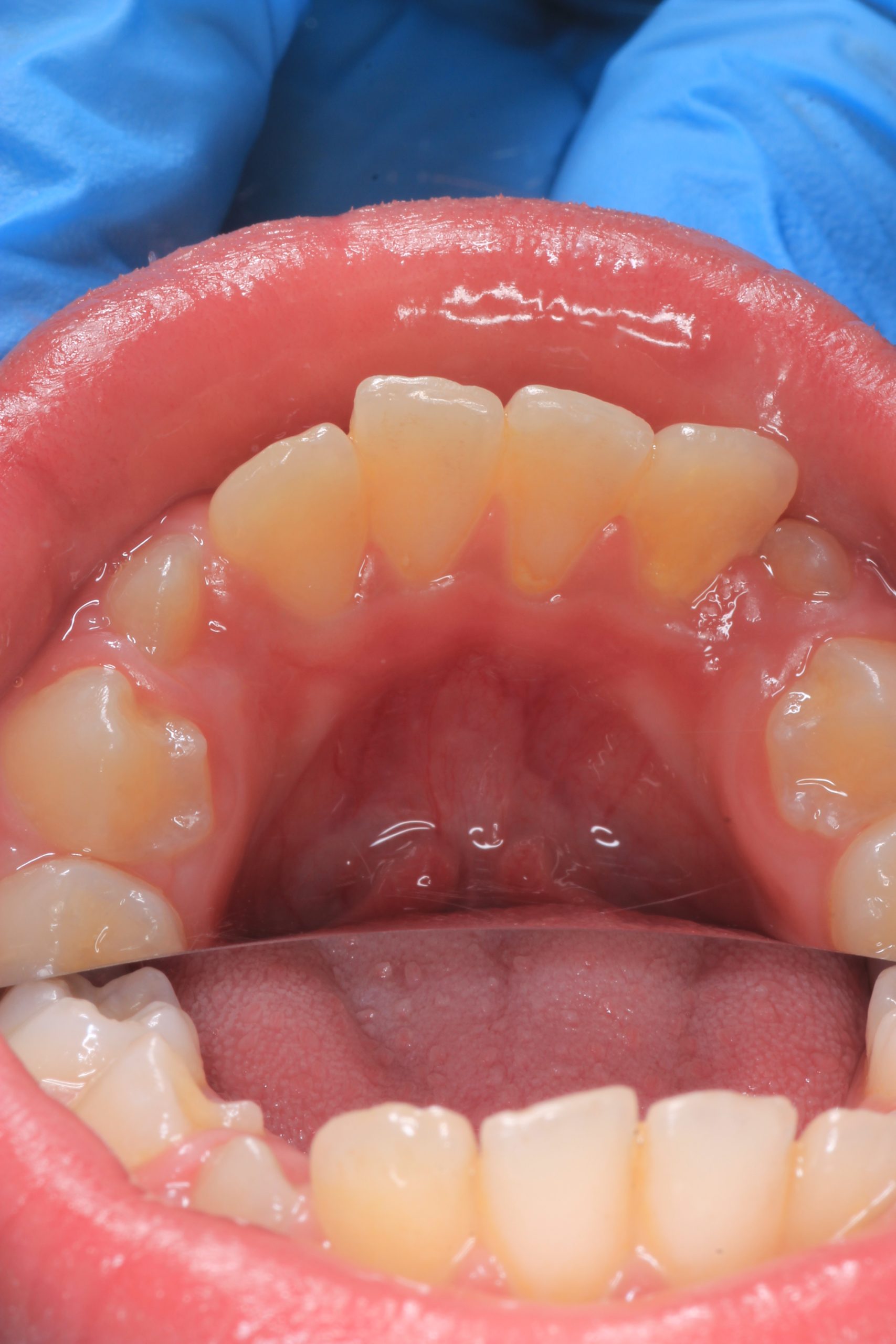
We examine the condition of teeth, gums, and bite. - Plaque Disclosure with Special Indicators
Areas that weren’t cleaned well appear purple. The darker the shade, the older the plaque. This helps both kids and parents understand where brushing needs to improve. - Brushing Training & Home Care Tools Selection
Together with your child, we practice brushing techniques, correct mistakes, and provide personalized recommendations. We advise whether to use manual or electric brushes, floss, interdental brushes, or remineralizing gels. - Plaque Removal with AIRFLOW Prophylaxis Master (EMS, Switzerland)
From age 4–5 and up, we perform full GBT cleaning using an ultra-fine erythritol powder to clean even hard-to-reach areas gently and safely. It does not damage enamel and is ideal even around braces — no need to remove brackets or wires. - Tartar Removal (If Needed)
Any tartar is removed gently and painlessly. - Final Check-Up + Fluoride Protection
We ensure the teeth are clean and free from early caries (even in the spot stage), then apply fluoride varnish to protect and strengthen enamel. - Personalized Recall Plan
We create a schedule for repeat visits based on your child’s cavity risk level.
Special Features of Our Professional Hygiene for Kids im True Smile Dental Center
- We take hygiene seriously — as seriously as treatment. Only certified child-safe materials are used by experienced professionals.
- GBT Protocol by EMS ensures maximum efficiency and zero discomfort.
- We use plaque-disclosing agents, so both parents and children see which teeth were not cleaned properly.
- Our fine polishing powder does not alter or harm enamel in any way.
- Fluoride treatment is always included — for cavity prevention.
- We teach your child brushing techniques, help choose the right brush, floss, and gels, and schedule check-ins to ensure hygiene is done properly at home.

























