At TRUE SMILE Dental Center in Abu Dhabi, we believe that every confident smile begins in childhood. Our kids braces and aligners are planned by a pediatric specialist for gentle, predictable results. Childhood orthodontics is not only about appearance; it also supports jaw development, healthy bite formation, and long-term comfort. Our goal is to guide growth early, prevent future problems, and help children feel calm and supported at every step.
Pediatric orthodontics at TRUE SMILE focuses on balanced development, early detection of bite issues, and positive dental habits. By addressing concerns early, we can often reduce or even avoid future extractions, complex treatments, or the emotional impact of misaligned teeth. Children as young as six can benefit from an initial evaluation, even if no visible concerns are present.
Why Early Pediatric Orthodontics Matters
Straight teeth are only part of the story. Early orthodontics influences facial symmetry, speech, chewing, breathing patterns, and how permanent teeth will erupt. It also helps manage habits like thumb sucking and tongue thrusting. Early evaluation gives parents clarity and helps us guide natural development rather than correct problems later.
Early Orthodontic Intervention: Gentle, Preventive, Effective
Early intervention rarely involves immediate braces. Instead, it focuses on supporting natural growth with simple, child-friendly tools such as removable orthodontic plates. These colorful appliances help create space, guide jaw widening, correct bite patterns, and reduce the need for future extractions. They’re easy to wear and clean, and many children enjoy choosing their preferred color.
This stage is about building a healthier bite, encouraging good habits, and preparing the foundation for braces or aligners if your child needs them later.
Orthodontic Options for Children and Teens
As permanent teeth erupt (typically ages 10–13), children may be ready for active orthodontic treatment. We guide families through the choice between braces and aligners based on bite, lifestyle, and treatment goals.
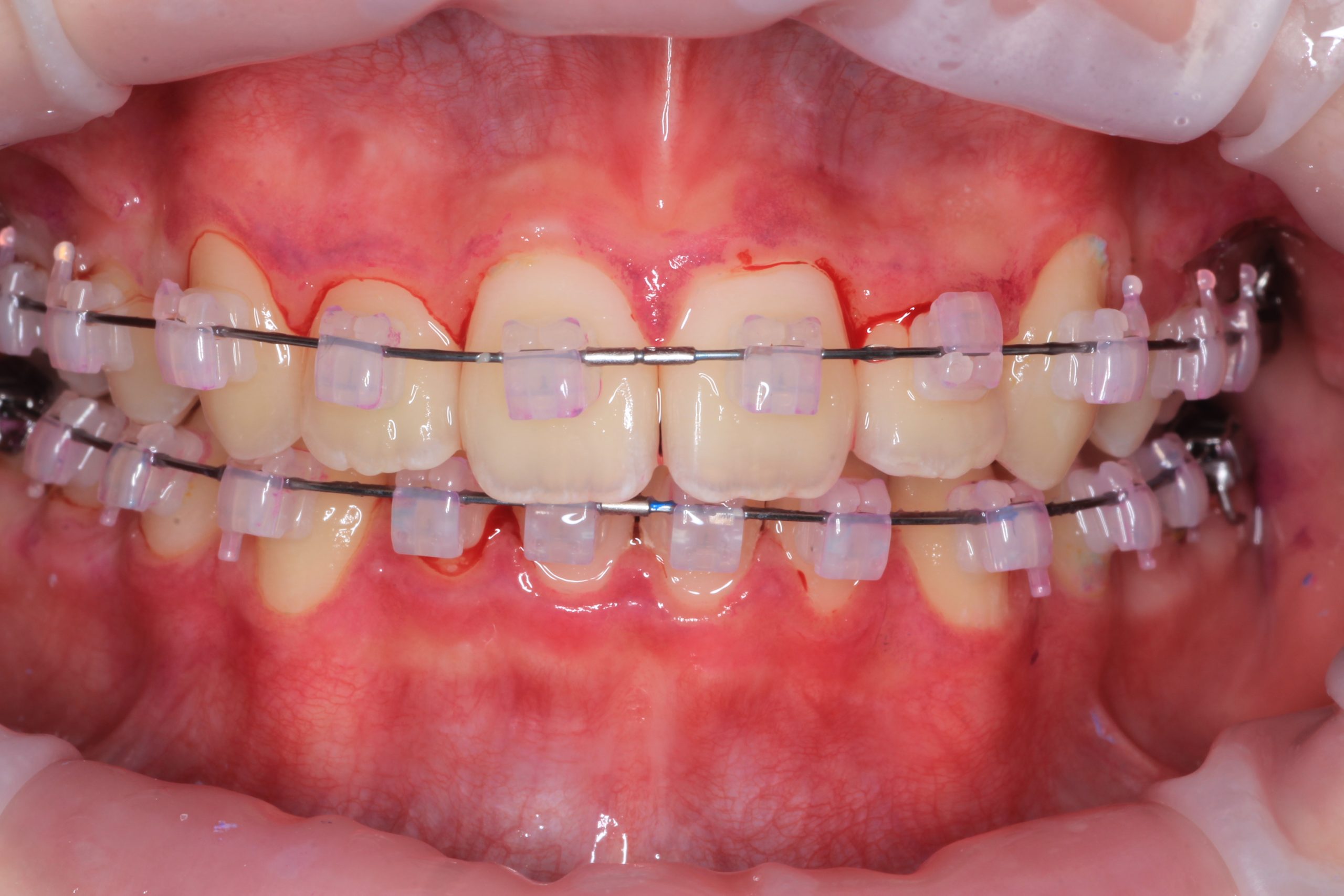
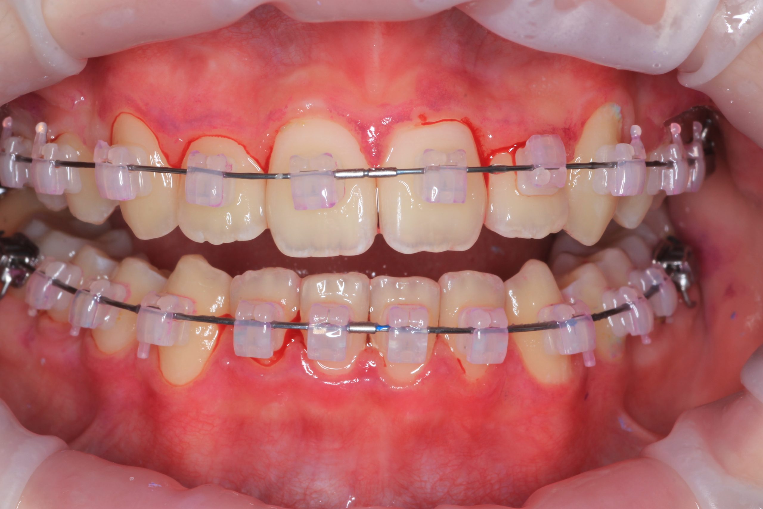
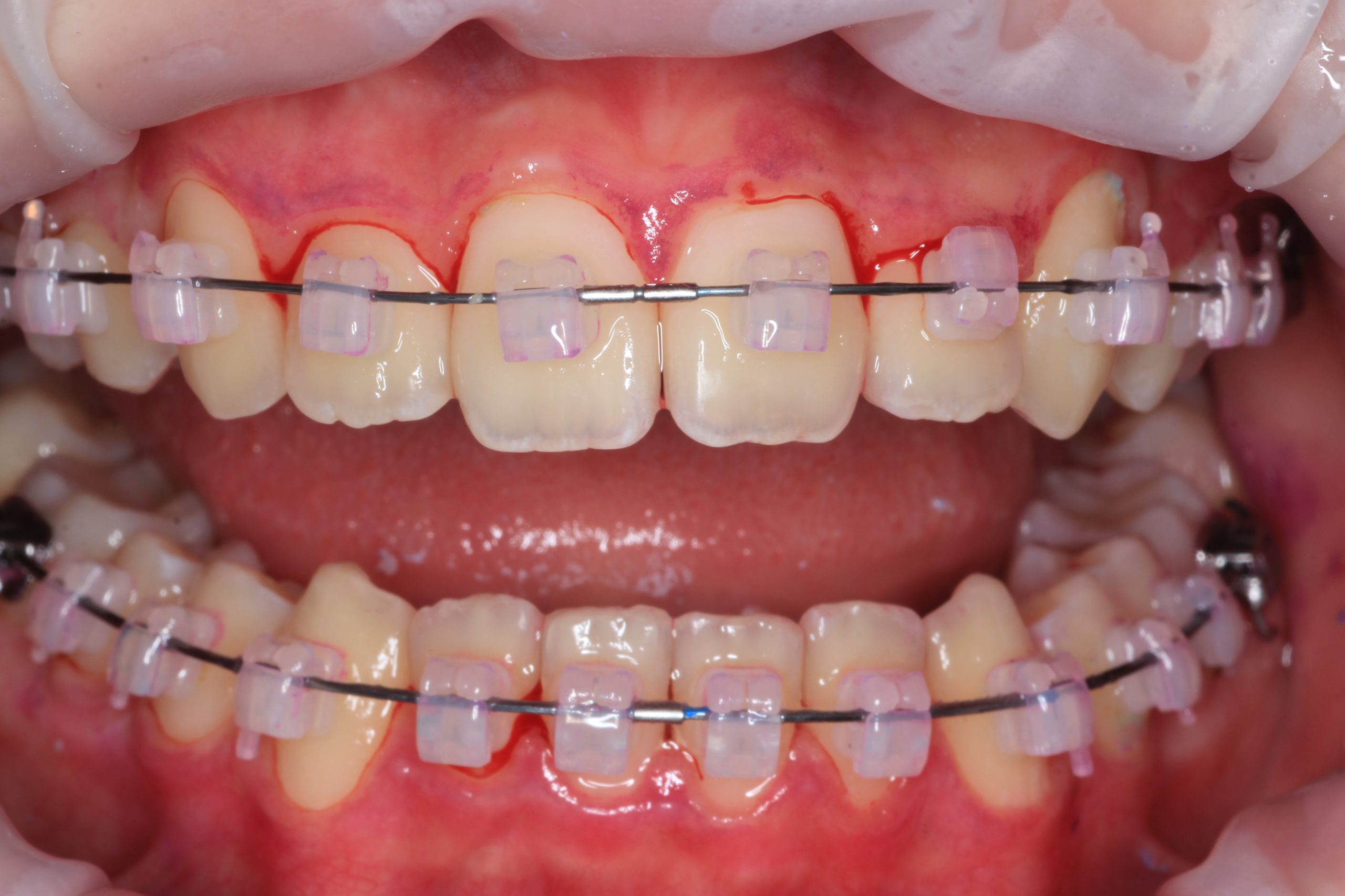
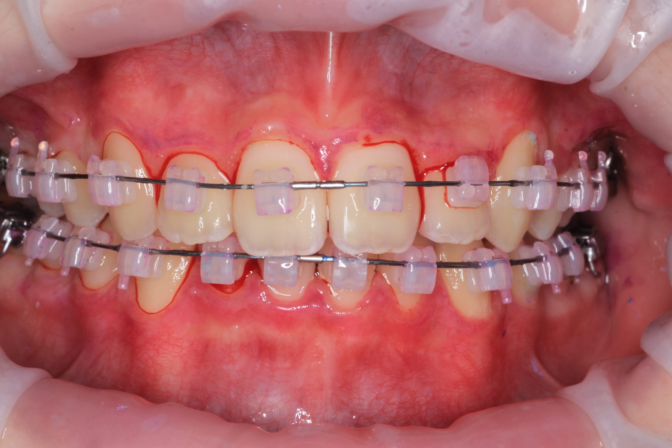
Braces
Modern braces are more comfortable and less visible than before. Options include:
- Metal braces for durability and predictable results
- Ceramic braces for a more discreet look
- Hybrid systems combining ceramic and metal
Most children visit every 4–6 weeks for adjustments, and full treatment usually lasts 12–24 months.
Clear Aligners
Clear aligners such as Invisalign First are ideal for children and teens who prefer a nearly invisible option. Aligners are:
- Custom-made using precise 3D scans
- Removable for meals, sports, or photos
- Comfortable and easy to clean
They work well for mild to moderate misalignment and are especially popular among image-conscious teens.
If you need help choosing, our kids’ orthodontist will guide you with honesty and no pressure.
Retention: Protecting Your Child’s Smile
When braces or aligners come off, retainers maintain the new position of the teeth. We offer two types:
- Fixed retainers (slim, invisible wires behind the teeth)
- Removable retainers (clear trays worn mainly at night)
We teach children how to use and care for their retainer, and we follow up regularly to keep results stable. Retention ensures that your child’s new smile stays aligned as they grow.
What to Expect During Your Child’s Orthodontic Journey
A typical pediatric orthodontic pathway at TRUE SMILE includes:
- Initial Consultation with full bite and jaw assessment supported by advanced diagnostics
- Personalised Plan with clear explanations for parents
- Active Treatment with braces or aligners and scheduled progress checks
- Retention Phase to keep the final result stable
Our team supports families through every stage with warmth, clarity, and respect for each child’s comfort.
Why Families Choose TRUE SMILE
- Experienced pediatric orthodontist
- Multilingual team
- Child-friendly clinic environment
- Nitrous oxide available for anxious patients
- 3D imaging and digital scanning
- Convenient Al Reem Island location
We care for every child as if they were our own.
Book Your Child’s Consultation
If you notice crowded teeth, early tooth loss, bite concerns, speech difficulties, or simply want reassurance about your child’s development, we are here to help.

























