Why adults choose TRUE SMILE for dental cavity treatment
We diagnose tooth decay under high magnification and treat it under a dental microscope. That lets us remove only diseased tissue, protect healthy enamel, and place a seamless composite restoration. When decay is deep, we offer endodontic (root canal) care in-house. And because prevention matters as much as treatment, our hygienists use the European Guided Biofilm Therapy protocol to lower your risk of future caries and gum problems.
Precision you can see. Working under a dental microscope lets us spot micro-cracks and tiny cavities between teeth (interproximal lesions) that basic loupes may miss. That accuracy is crucial for small cavity treatment, smooth-surface cavity treatment, and cavity between two teeth treatment, where access is limited.
Minimal drilling, stronger teeth. By opening only what’s necessary, we preserve healthy enamel and dentine. The result is shorter appointments, less post-op sensitivity, and restorations that last longer.
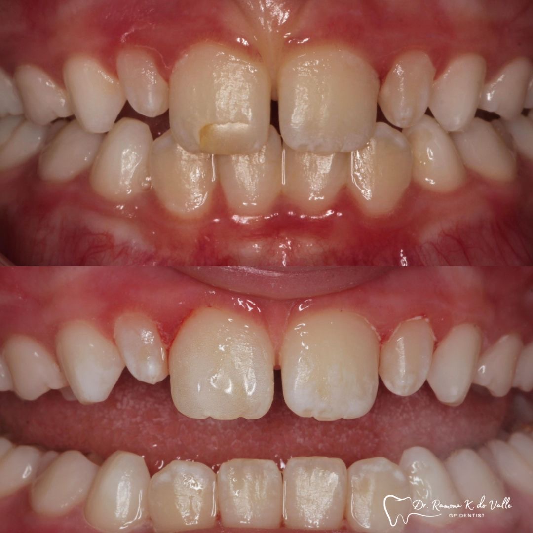
Natural results, especially at the front. For front teeth cavity treatment—and when discussing front tooth cavity treatment cost—we layer nano-hybrid composites, polish to a mirror finish, and match your enamel’s translucency so the repair looks natural in real life and on camera.
The right specialist at the right moment. If a deep cavity treatment is close to the nerve, our endodontist manages the pulp conservatively. If an old crown or veneer is involved, our prosthodontist plans the restoration and bite so everything functions comfortably.
Prevention built in. Guided Biofilm Therapy (AIRFLOW®, PERIOFLOW®, PIEZON®) removes plaque and stains gently and helps us detect early lesions sooner—your most effective cavity prevention treatment.
What “cavity” means
Tooth decay (caries) is a disease process driven by dental biofilm, frequent sugar or acid exposure, saliva quality and individual risk factors; a “cavity” is simply the visible end-result. Crucially, not every chalky white spot needs a drill. Early enamel changes can often be stabilised with professional oral cavity treatment – targeted remineralisation (fluoride/CPP-ACP), smart dietary adjustments and meticulous hygiene coaching—especially when we identify them during professional teeth cleaning. That is the closest thing to a safe, evidence-based “cavity natural treatment.” In other words, when patients ask about treatment for a small cavity or what is the treatment for tooth cavity at the very first stage, careful monitoring plus prevention may be the right prescription.
Once decay has broken through the enamel and into dentine, a bonded composite filling becomes the best treatment for cavity: we remove the infected tissue precisely, seal the tooth against further bacterial ingress and restore both strength and appearance. If the area is already tender or the defect is obvious—a true cavity hole treatment—we make you completely comfortable with local anaesthesia, then isolate the tooth under a rubber dam to keep the field dry and safe while we work.
If bacteria have reached the pulp (the nerve), endodontic (root canal) treatment is the best way to save the tooth and stop pain, followed by a durable, well-sealed restoration. The earlier we intervene, the simpler the treatment and the better the long-term outlook.
Cavity treatment for every case (doctor’s approach)
1) Small, smooth-surface lesions
Perfect for microscope-guided, ultra-conservative shaping. We maintain contact points and polish margins so floss glides easily—key for cavity in between teeth treatment. Expect minimal discomfort and a very natural look.
2) Interproximal (between-teeth) decay
We use sectional matrices, wedges, and adhesive systems to rebuild the contact precisely. If you came in searching cavity between two teeth treatment or treatment of cavity between teeth, this is it done properly—tight contacts, correct contour, and easy flossing afterwards.
3) Gum-line and root caries
These Class V lesions—often in patients with gum recession—demand meticulous moisture control. For gum line cavity treatment and tooth root cavity treatment, we use isolation (dam or retraction cord), selective etching, and bioactive liners if dentine is sclerotic.
4) Recurrent decay under old fillings or crowns
“Cavity under filling treatment” starts with removing the leaky material, disinfecting, and rebuilding with a bonded composite or planning a crown/onlay when loss of tooth structure is significant.
5) Anterior aesthetics
For front teeth cavity treatment, we layer and tinge composite to mimic incisal halos and internal opacities. Good photos help us match your shade; the finish is invisible in conversation.
6) Molar strength
Molar cavity treatment must withstand bite forces. We reinforce with fibre where indicated and use occlusal adjustments to distribute load. For very large lesions, we’ll discuss onlays or crowns.
7) Painful, deep lesions
When you arrive with cavity tooth pain treatment induced by hot/cold or chewing, we check vitality. If inflammation is reversible, a protective liner may save the pulp. If not, we move to endodontic care (root canal), then restore the tooth fully.
What happens during dental cavity filling treatment
1) Check & plan — We look carefully at the tooth, ask about your symptoms, and take small X-rays only if they genuinely help. Magnification lets us spot tiny areas of decay so your dental cavity filling treatment is as accurate and conservative as possible.
2) Keep it dry & comfortable — We place a small, soft shield (a rubber dam) around the tooth. It keeps the area dry, protects your cheeks and tongue, and helps the filling stick properly.
3) Remove the decay, keep the healthy tooth — We gently clean away the softened, infected part and leave the strong enamel and dentine in place. If we’re close to the nerve, we add a protective, soothing layer first.
4) Build the tooth back up — Tooth-coloured material is placed in thin layers and shaped to match your natural tooth. A special light sets it firm, and we adjust your bite so it feels normal when you close and chew.
5) Smooth, shine, and final checks — We polish the surface so it’s glossy and easy to keep clean, check with floss so nothing catches, and give you simple after-care. You can eat normally once the numbness wears off.
This same simple sequence applies whether the problem is a cavity between two teeth (treatment for cavity between teeth), a visible front tooth (front teeth cavity treatment), a chewing tooth that takes more pressure (molar tooth cavity treatment), or decay near the roots after gum recession (root cavity treatment after recession). We’ll tailor each step to your specific tooth so the result looks natural and feels comfortable.
Painless cavity treatment: what you’ll actually feel
Most people describe painless cavity treatment, it’s more like feeling gentle pressure than pain. We begin with a topical anaesthetic to numb the surface, then use modern local anaesthesia so you stay comfortable throughout. If you’re anxious, we can add nitrous oxide (laughing gas) when appropriate and plan shorter, focused appointments to keep everything easy. The idea is simple: you relax and we carry out meticulous, microscope-guided care. If you’ve been searching for a cavity treatment dentist or comparing options for dental treatment for a cavity because you’re worried about discomfort, tell us what you’re feeling, we’ll tailor the approach to you.
Professional teeth cleaning lowers caries risk
Effective cavity care works best as a partnership: precise, microscope-guided dentistry in the chair and thoughtful prevention every day. During hygiene visits we use Guided Biofilm Therapy (AIRFLOW®/PERIOFLOW® and PIEZON® PS tips) to clear biofilm and calculus gently, lift surface stains, and finish with professional remineralisation. This targeted cavity prevention treatment consistently lowers the risk of new decay and gum inflammation and lets us catch early changes long before drilling is needed.
Pricing is straightforward and itemised. Our fee schedule sets out teeth cleaning charges near me, the tooth cleaning price for each method with a clear explanation of what each visit includes and how often it’s recommended. If you like to compare figures, you’ll also find the same transparency applied to teeth cleaning prices, so it’s easy to see value as well as cost.
Between visits we’ll refine the small habits that have the biggest impact: a comfortable toothbrush (manual or electric), a fluoride toothpaste, the right interdental brushes or floss, sipping water between coffees, and spacing snacks so enamel has time to recover. Done consistently, these simple steps reduce the need for future treatment for teeth cavities and help you avoid the disruption and cavity treatment cost that comes with late intervention.























